• Tel: 858.663.9055
  • SeparatorEmail: info@nsjbio.com
  • Tel: 858.663.9055
  • Email: info@nsjbio.com
Home >> Antibodies >> CDH1 Antibody for WB / Placental Epithelial Marker Western Blot Antibody

CDH1 Antibody for WB / Placental Epithelial Marker Western Blot Antibody [clone rCDH1/7352] (V4435)

  Catalog No Formulation Size Price (USD)  
Image V4435-100UG 0.2 mg/ml in 1X PBS with 0.1 mg/ml BSA (US sourced), 0.05% sodium azide 100 ug 559
Image
V4435-20UG 0.2 mg/ml in 1X PBS with 0.1 mg/ml BSA (US sourced), 0.05% sodium azide 20 ug 259
Image
V4435SAF-100UG 1 mg/ml in 1X PBS; BSA free, sodium azide free 100 ug 559
Microvalidated Recmousemono
Bulk quote request
CDH1 Antibody for WB. Western blot analysis of Cadherin 1 / CDH1 expression in human placental tissue lysate using clone rCDH1/7352 antibody, showing a band consistent with the predicted molecular weight of E-cadherin. E-cadherin is synthesized as a precursor and undergoes glycosylation, resulting in an apparent molecular weight typically observed between approximately 80-120 kDa, with the precursor form near 135 kDa. The detected band aligns with mature glycosylated E-cadherin expressed in placental epithelial tissue.
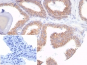
IHC staining of FFPE human prostate carcinoma tissue with recombinant CDH1 antibody (clone rCDH1/7352). Inset: PBS used in place of primary Ab (secondary Ab negative control). HIER: boil tissue sections in pH 9 10mM Tris with 1mM EDTA for 20 min and allow to cool before testing.
Availability 1-3 business days
Species Reactivity Human
Format Purified
Host Mouse
Clonality Recombinant Mouse Monoclonal
Isotype Mouse IgG1, kappa
Clone Name rCDH1/7352
Purity Protein A/G affinity
UniProt P12830
Localization Cell surface
Applications Immunohistochemistry (FFPE) : 1-2ug/ml for 30 minutes at RT
Western Blot : 2-4ug/ml
Limitations This CDH1 Antibody for WB / Placental Epithelial Marker Western Blot Antibody is available for research use only.
Review this product on BioCompare and get a $20 Amazon gift card

Related Products

Description

Cadherin 1 (CDH1) is a calcium-dependent transmembrane adhesion protein that maintains epithelial tissue integrity through formation of adherens junctions. CDH1 Antibody for WB / Placental Epithelial Marker Western Blot Antibody (clone rCDH1/7352) enables detection of this epithelial adhesion protein in tissue-derived lysates and is particularly suited for analysis of human placenta, where organized epithelial structures are a key component of tissue function. CDH1 is also widely known as E-cadherin antibody and serves as a canonical marker of epithelial differentiation.

Western blot detection of CDH1 in human placenta provides a tissue-relevant context distinct from conventional cell line models. Placental tissue contains epithelial-derived cell populations that contribute to barrier formation and structural organization, making it a biologically meaningful source for evaluating E-cadherin expression. CDH1 antibody enables reliable detection of epithelial adhesion protein signal within this complex tissue environment and supports studies focused on tissue-level protein expression.

Compared to cell-based systems, tissue lysates preserve broader biological complexity and allow assessment of protein expression within a physiologic context. CDH1 Antibody for WB is therefore particularly useful for researchers investigating epithelial marker expression across human tissues, where expression levels may vary depending on tissue type, differentiation state, and structural organization. Detection of CDH1 in placenta reinforces its role in maintaining epithelial cohesion within structured tissue environments.

E-cadherin interacts with catenin proteins and cytoskeletal components to regulate cell adhesion, polarity, and tissue organization. These interactions are essential for maintaining stable epithelial structures in tissues, and disruption of CDH1 expression can lead to altered tissue integrity and disease-associated changes. Western blot analysis using CDH1 antibody supports investigation of these pathways and enables comparison of epithelial protein expression across tissue samples.

The recombinant mouse monoclonal clone rCDH1/7352 antibody provides consistent detection of CDH1 in western blot workflows and is well suited for tissue-based studies requiring reliable epithelial marker identification. This CDH1 antibody is particularly effective for research focused on human tissue expression, epithelial organization, and tissue-specific protein analysis.

This antibody is part of the CDH1 antibody collection, where multiple E-cadherin antibody formats and applications are available for studying epithelial adhesion and cancer progression.

Application Notes

Optimal dilution of the CDH1 Antibody for WB / Placental Epithelial Marker Western Blot Antibody should be determined by the researcher.

Immunogen

Recombinant full-length human protein was used as the immunogen for the recombinant CDH1 antibody.

Storage

Aliquot the CDH1 antibody and store frozen at -20oC or colder. Avoid repeated freeze-thaw cycles.

Alternate Names

E-cadherin antibody, CDH1 western blot antibody, Cadherin 1 WB antibody, placental epithelial marker antibody, epithelial tissue marker antibody

Cross
Bulk Quote Request Form
Name*:
Organization*:
Email*:
Phone Number*:
Catalog No.*:
Comments and Specifics(amount, formulation, etc.)*:
Validation code: Captchapackage Image


Can't read the image? click here to refresh.
    *required field

Your bulk quote request has been submitted successfully!

Please contact us if you have any questions.