• Tel: 858.663.9055
  • SeparatorEmail: info@nsjbio.com
  • Tel: 858.663.9055
  • Email: info@nsjbio.com
Home >> Antibodies >> Recombinant CD99 Antibody

Recombinant CD99 Antibody [clone MIC2/3478R] (V8748)

  Catalog No Formulation Size Price (USD)  
Image V8748-100UG 0.2 mg/ml in 1X PBS with 0.1 mg/ml BSA (US sourced) and 0.05% sodium azide 100 ug 559
Image
V8748-20UG 0.2 mg/ml in 1X PBS with 0.1 mg/ml BSA (US sourced) and 0.05% sodium azide 20 ug 259
Image
V8748SAF-100UG 1 mg/ml in 1X PBS; BSA free, sodium azide free 100 ug 559
Microvalidated Recrabbitmono
Bulk quote request
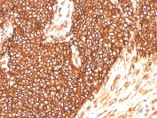
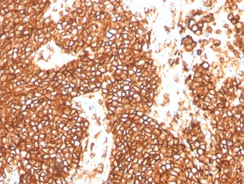
IHC staining of FFPE human Ewings sarcoma with recombinant CD99 antibody (clone MIC2/3478R). HIER: boil tissue sections in pH 9 10mM Tris with 1mM EDTA for 20 min and allow to cool before testing.
IHC staining of FFPE human Ewings sarcoma with recombinant CD99 antibody (clone MIC2/3478R). HIER: boil tissue sections in pH 9 10mM Tris with 1mM EDTA for 20 min and allow to cool before testing.
Availability 1-3 business days
Species Reactivity Human
Format Purified
Host Rabbit
Clonality Recombinant Rabbit Monoclonal
Isotype Rabbit IgG
Clone Name MIC2/3478R
Purity Protein A affinity chromatography
UniProt P14209
Localization Cell surface
Applications Immunohistochemistry (FFPE) : 1-2ug/ml for 30 minutes at RT
Limitations This recombinant CD99 antibody is available for research use only.
Review this product on BioCompare and get a $20 Amazon gift card

Related Products

Description

CD99 is a type I transmembrane glycoprotein encoded by the CD99 gene and the functions of CD99 in cells in which CD99 was highly expressed have been studied and they were as follows: cell death of thymocytes and T lymphocytes, migration through monocyte endothelial junctions by adhesion and diapedesis, cell-cell adhesion in lymphocytes, maintenance of cellular morphology in Hodgkin and Reed/Sternberg cells, and recruitment of T cells.CD99 expression has been reported in many cell types, such as hematopoietic cells, endothelial cells, central nervous system ependymal cells, thymocytes, granular cells of the ovary, Sertoli cells, and pancreatic islet cells. And in tumors it expressed by virtually almost all Ewing s sarcoma and primitive peripheral neuroectodermal tumors (ES/PNET) and demonstrates strong and diffuse membranous staining. Other tumors that may show CD99 expression include neuroendocrine carcinomas, mesenchymal chondrosarcomas, solitary fibrous tumors, synovial sarcomas, vascular tumors, small round blue cell tumors, lymphoblastic lymphoma, acute myeloid leukemia, and myeloid sarcoma. Studies have shown that CD99 may be a sensitive marker for Ewing s sarcoma and peripheral neuroectodermal tumors.

Application Notes

Optimal dilution of the recombinant CD99 antibody should be determined by the researcher.

Immunogen

A synthetic peptide from the C-terminal region of the human protein was used as the immunogen for the recombinant CD99 antibody.

Storage

Store the recombinant CD99 antibody at 2-8oC (with azide) or aliquot and store at -20oC or colder (without azide).

Cross
Bulk Quote Request Form
Name*:
Organization*:
Email*:
Phone Number*:
Catalog No.*:
Comments and Specifics(amount, formulation, etc.)*:
Validation code: Captchapackage Image


Can't read the image? click here to refresh.
    *required field

Your bulk quote request has been submitted successfully!

Please contact us if you have any questions.