• Tel: 858.663.9055
  • SeparatorEmail: info@nsjbio.com
  • Tel: 858.663.9055
  • Email: info@nsjbio.com
Home >> Antibodies >> CD8A Antibody / HuProt Microarray Validated Antibody

CD8A Antibody / HuProt Microarray Validated Antibody [clone rC8/468] (V3548)

  Catalog No Formulation Size Price (USD)  
Image V3548-100UG 0.2 mg/ml in 1X PBS with 0.1 mg/ml BSA (US sourced) and 0.05% sodium azide 100 ug 559
Image
V3548-20UG 0.2 mg/ml in 1X PBS with 0.1 mg/ml BSA (US sourced) and 0.05% sodium azide 20 ug 259
Image
V3548SAF-100UG 1 mg/ml in 1X PBS; BSA free, sodium azide free 100 ug 559
Image
V3548IHC-7ML Prediluted in 1X PBS with 0.1 mg/ml BSA (US sourced) and 0.05% sodium azide; *For IHC use only* 7 ml 559
Microvalidated Recmousemono
Bulk quote request
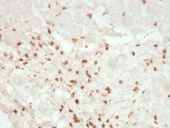
CD8A Antibody Colon IHC. Immunohistochemistry analysis of CD8 alpha (CD8A) in FFPE human colon tissue shows membranous staining of infiltrating cytotoxic T lymphocytes within the tissue microenvironment, consistent with CD8A expression on T cell surfaces and supporting identification of immune infiltration in epithelial tissues. HuProt microarray validated antibody performance supports specificity-focused detection in complex tissue samples (clone rC8/468). Heat-induced epitope retrieval was performed in pH 9 EDTA buffer for 10-20 minutes followed by cooling at room temperature.
SDS-PAGE analysis of purified, BSA-free recombinant CD8A antibody (clone rC8/468) as confirmation of integrity and purity.
CD8A Antibody HuProt Validated. HuProt microarray analysis of CD8 alpha (CD8A) using a panel of more than 19,000 full-length human proteins demonstrates strong and selective target binding, supporting high specificity of the rC8/468 monoclonal antibody. The signal profile shows a dominant top-ranked interaction consistent with CD8A recognition, with clear separation from lower-ranking proteins, indicating minimal off-target binding (clone rC8/468). Z-score represents signal strength relative to the array mean in standard deviations, while S-score reflects the difference between ranked signals and provides a measure of target specificity relative to non-target proteins.
CD8A Antibody Tonsil IHC. Immunohistochemistry analysis of CD8 alpha (CD8A) in FFPE human tonsil tissue shows strong membranous staining of cytotoxic T lymphocytes within lymphoid regions, consistent with expected localization of CD8-positive T cells and supporting identification of immune cell populations in secondary lymphoid tissue. HuProt microarray validated antibody performance supports specificity-focused detection in complex immune-rich samples (clone rC8/468). Heat-induced epitope retrieval was performed in 10 mM citrate buffer, pH 6.0, for 10-20 minutes followed by cooling at room temperature.
Species Reactivity Human
Format Purified
Host Mouse
Clonality Recombinant Mouse Monoclonal
Isotype Mouse IgG1, kappa
Clone Name rC8/468
Purity Protein G affinity chromatography
Buffer 1X PBS, pH 7.4
UniProt P01732
Localization Cell surface
Applications ELISA : 2-4ug/ml (order BSA/azide-free format)
Immunohistochemistry (FFPE) : 1-2ug/ml for 30 min at RT
Limitations This CD8A Antibody / HuProt Microarray Validated Antibody is available for research use only.
Review this product on BioCompare and get a $20 Amazon gift card

Related Products

Description

CD8 alpha (CD8A) is a transmembrane glycoprotein expressed on cytotoxic T lymphocytes where it functions as a co-receptor for T cell receptor signaling through interaction with MHC class I molecules. CD8A Antibody is widely used to detect this cell surface immune marker in studies of T cell biology, immune infiltration, and lymphocyte characterization. CD8A antibody, also referred to as CD8 alpha antibody or CD8 antigen antibody, is a foundational reagent for identifying cytotoxic T cells across tissue-based and cell-based experimental systems.

CD8A is localized to the plasma membrane and forms heterodimers with CD8B or homodimers in certain immune contexts, enabling stable interaction with MHC class I molecules during antigen recognition. Because CD8A is frequently used across multiple applications including immunohistochemistry, flow cytometry, immunofluorescence, and western blot, antibody specificity is a critical factor influencing data interpretation. This is particularly important in immune-rich tissues and multiplex assay systems where closely related cell surface proteins may be co-expressed.

This recombinant mouse monoclonal antibody, clone rC8/468, is supported by HuProt microarray validation, providing an additional layer of confidence in target recognition. HuProt arrays assess antibody binding across thousands of human proteins in a standardized format, enabling broad evaluation of specificity and helping to identify potential off-target interactions. Positioning this reagent as a HuProt Microarray Validated Antibody highlights its relevance for researchers who prioritize platform-based specificity assessment when selecting antibodies for complex biological samples.

HuProt validation is particularly valuable for immune markers such as CD8A, where accurate identification of cytotoxic T lymphocytes is essential for downstream analysis. In immunohistochemistry, CD8A staining is used to evaluate immune infiltration patterns in normal tissues and tumors. In flow cytometry, it supports precise immunophenotyping and gating of CD8-positive T cell populations. In these workflows, improved confidence in antibody specificity contributes to cleaner signal interpretation and more reliable population identification.

From a workflow perspective, CD8A Antibody validated by HuProt microarray testing is well suited for multiplex panel development and cross-platform studies, where antibody performance must remain consistent across different assay types. Researchers integrating immunohistochemistry with flow cytometry or fluorescence-based imaging benefit from selecting reagents supported by broader validation strategies. This helps ensure that observed staining patterns reflect true biological expression rather than non-specific binding artifacts.

By positioning clone rC8/468 as a HuProt Microarray Validated Antibody, this page emphasizes platform-driven specificity assessment while remaining grounded in the biological role of CD8 alpha as a core cytotoxic T cell marker. This creates a clear differentiation from application-focused CD8A pages and from higher-tier specificity validation pages, while still supporting researchers seeking a recombinant monoclonal antibody with added validation confidence for immune profiling and tissue analysis studies.

This antibody is part of a broader selection of immune cell marker antibodies designed to support studies of T cell biology, immune infiltration, and tumor immunology, including application-specific CD8A antibody reagents for IHC, FACS, WB, and IF.

Application Notes

The concentration stated for each application is a general starting point. Variations in protocols, secondaries and substrates may require the CD8A Antibody / HuProt Microarray Validated Antibody to be titered up or down for optimal performance.

1. The prediluted format is supplied in a dropper bottle and is optimized for use in IHC. After epitope retrieval step (if required), drip mAb solution onto the tissue section and incubate at RT for 30 min.

Immunogen

Human recombinant protein was used as the immunogen for this recombinant CD8A antibody.

Storage

Store the recombinant CD8A antibody at 2-8oC (with azide) or aliquot and store at -20oC or colder (without azide).

Alternate Names

CD8A HuProt validated antibody, CD8 alpha HuProt antibody, CD8A microarray validated antibody, CD8A specificity tested antibody, CD8A recombinant mouse antibody

Cross
Bulk Quote Request Form
Name*:
Organization*:
Email*:
Phone Number*:
Catalog No.*:
Comments and Specifics(amount, formulation, etc.)*:
Validation code: Captchapackage Image


Can't read the image? click here to refresh.
    *required field

Your bulk quote request has been submitted successfully!

Please contact us if you have any questions.