• Tel: 858.663.9055
  • SeparatorEmail: info@nsjbio.com
  • Tel: 858.663.9055
  • Email: info@nsjbio.com
Home >> Antibodies >> Recombinant CD79a Antibody / Rabbit Monoclonal

Recombinant CD79a Antibody / Rabbit Monoclonal [clone CDLA79a-3R] (V3696)

  Catalog No Formulation Size Price (USD)  
Image V3696-100UG 0.2 mg/ml in 1X PBS with 0.1 mg/ml BSA (US sourced) and 0.05% sodium azide 100 ug 559
Image
V3696-20UG 0.2 mg/ml in 1X PBS with 0.1 mg/ml BSA (US sourced) and 0.05% sodium azide 20 ug 259
Image
V3696SAF-100UG 1 mg/ml in 1X PBS; BSA free, sodium azide free 100 ug 559
Image
V3696IHC-7ML Prediluted in 1X PBS with 0.1 mg/ml BSA (US sourced) and 0.05% sodium azide; *For IHC use only* 7 ml 559
Microvalidated Recrabbitmono
Bulk quote request
Flow cytometry testing of human Raji cells with recombinant CD79a antibody (clone CDLA79a-3R); Red=isotype control, Blue= CD79a antibody.
Western blot testing of human Raji cell lysate with recombinant CD79a antibody (clone CDLA79a-3R). Expected molecular weight: 25-47 kDa depending on glycosylation level.
Immunofluorescent staining of PFA-fixed human Raji cells with recombinant CD79a antibody (green, clone CDLA79a-3R) and Reddot nuclear stain (red).
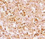
IHC testing of FFPE human tonsil with recombinant CD79a antibody (clone CDLA79a-3R). Required HIER: boil tissue sections in pH 9 10mM Tris with 1mM EDTA followed by cooling at RT for 20 min.
Availability 1-3 business days
Species Reactivity Human
Format Purified
Host Rabbit
Clonality Recombinant Rabbit Monoclonal
Isotype Rabbit IgG, kappa
Clone Name CDLA79a-3R
Purity Protein A affinity chromatography
UniProt P11912
Localization Cell surface, cytoplasmic
Applications Western Blot : 1-2ug/ml
Immunofluorescence : 1-2ug/ml
Flow Cytometry : 1-2ug/10^6 cells
Immunohistochemistry (FFPE) : 0.5-1ug/ml for 30 min at RT (1)
Limitations This recombinant CD79a antibody is available for research use only.
Review this product on BioCompare and get a $20 Amazon gift card

Related Products

Description

The CD79a protein together with the related CD79b protein, forms a dimer associated with membrane-bound immunoglobulin in B-cells, thus forming the B-cell antigen receptor (BCR). CD79a plays multiple and diverse roles in B cell development and function. The CD79a/b heterodimer associates non-covalently with the immunoglobulin heavy chain through its transmembrane region, thus forming the BCR along with the immunoglobulin light chain and the pre-BCR when associated with the surrogate light chain in developing B cells. Association of the CD79a/b heterodimer with the immunoglobulin heavy chain is required for surface expression of the BCR and BCR induced calcium flux and protein tyrosine phosphorylation. [Wiki]

Application Notes

The stated application concentrations are suggested starting points. Titration of the CD79a antibody may be required due to differences in protocols and secondary/substrate sensitivity.

1. The prediluted format is supplied in a dropper bottle and is optimized for use in IHC. After epitope retrieval step (if required), drip mAb solution onto the tissue section and incubate at RT for 30 min.

Immunogen

Amino acids 202-216 (GTYQDVGSLNIADVQ) were used as the immunogen for the recombinant CD79a antibody.

Storage

Store the recombinant CD79a antibody at 2-8oC (with azide) or aliquot and store at -20oC or colder (without azide).

Cross
Bulk Quote Request Form
Name*:
Organization*:
Email*:
Phone Number*:
Catalog No.*:
Comments and Specifics(amount, formulation, etc.)*:
Validation code: Captchapackage Image


Can't read the image? click here to refresh.
    *required field

Your bulk quote request has been submitted successfully!

Please contact us if you have any questions.