- Tel: 858.663.9055
- 
									 Email: info@nsjbio.com Email: info@nsjbio.com
- Tel: 858.663.9055
- Email: info@nsjbio.com
 Email: info@nsjbio.com
Email: info@nsjbio.com
								Related Products
| 
 | 
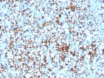
Reacts with human integrin beta3 (GPIIIa, vitronectin receptor beta chain). It associates with the IIb-chain (CD41) to form the GpIIb/GpIIIa complex (CD41/CD61).The CD41/CD61 complex appears early in megakaryocyte maturation. The activated CD41/CD61 complex is a receptor for von Willebrand factor, soluble fibrinogen, fibronectin, vitronectin and thrombospondin. It plays a central role in platelet activation and aggregation. The CD51/CD61 is implicated in tumor metastasis and adenoviral infection. The antibody detects platelets in smears of blood and bone marrow, as well as megakaryocytes in frozen sections and cell smears. The antibody is useful for classification of megakaryoblastic leukemia.
Optimal dilution of the recombinant CD61 antibody should be determined by the researcher.
A recombinant human partial protein (amino acids 385-490) was used as the immunogen for this recombinant CD61 antibody.
Store the recombinant CD61 antibody at 2-8oC (with azide) or aliquot and store at -20oC or colder (without azide).
 
Your bulk quote request has been submitted successfully!
Please contact us if you have any questions.