• Tel: 858.663.9055
  • SeparatorEmail: info@nsjbio.com
  • Tel: 858.663.9055
  • Email: info@nsjbio.com
Home >> Antibodies >> CD56 Extracellular Domain Antibody / NCAM1 Antibody

CD56 Extracellular Domain Antibody / NCAM1 Antibody [clone NCAM1/9121R] (V5477)

  Catalog No Formulation Size Price (USD)  
Image V5477-100UG 0.2 mg/ml in 1X PBS with 0.1 mg/ml BSA (US sourced), 0.05% sodium azide 100 ug 559
Image
V5477-20UG 0.2 mg/ml in 1X PBS with 0.1 mg/ml BSA (US sourced), 0.05% sodium azide 20 ug 259
Image
V5477SAF-100UG 1 mg/ml in 1X PBS; BSA free, sodium azide free 100 ug 559
Microvalidated Recrabbitmono
Bulk quote request
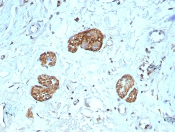
CD56 Extracellular Domain Antibody (clone NCAM1/9121R). Immunohistochemistry of FFPE human colon tissue demonstrates membranous and cytoplasmic staining in scattered neural and neuroendocrine-associated cell clusters consistent with expression of Neural cell adhesion molecule 1 (NCAM1), also known as CD56. Brown chromogenic signal highlights CD56-positive cells within localized structures embedded in the surrounding stromal tissue, while most epithelial and stromal cells show minimal staining. Heat-induced epitope retrieval was performed by boiling tissue sections in pH 9 10mM Tris with 1mM EDTA for 20 minutes followed by cooling prior to antibody incubation.
SDS-PAGE analysis of purified, BSA-free CD56 Extracellular Domain Antibody (clone NCAM1/9121R) as confirmation of integrity and purity.
Availability 1-3 business days
Species Reactivity Human
Format Purified
Host Rabbit
Clonality Recombinant Rabbit Monoclonal
Isotype Rabbit IgG, kappa
Clone Name NCAM1/9121R
Purity Protein A/G affinity
UniProt P13591 , P13592
Localization Cytoplasm, Cell membrane
Applications Immunohistochemistry (FFPE) : 1-2ug/ml
Limitations This CD56 antibody is available for research use only.
Review this product on BioCompare and get a $20 Amazon gift card

Related Products

Description

Neural cell adhesion molecule 1 (NCAM1), also known as CD56, is a cell surface glycoprotein encoded by the NCAM1 gene and belongs to the immunoglobulin superfamily of adhesion molecules. CD56 Extracellular Domain Antibody / NCAM1 Antibody (clone NCAM1/9121R) specifically recognizes the extracellular domain of this membrane protein, enabling detection of NCAM1 at the cell surface. Targeting the extracellular region of CD56 allows antibodies to bind accessible epitopes on intact cells, making extracellular domain antibodies particularly useful for studying cell surface expression and intercellular adhesion mechanisms.

NCAM1 antibody, also referred to as CD56 antibody or Neural cell adhesion molecule antibody in the literature, detects a protein that mediates cell-cell adhesion through interactions between extracellular immunoglobulin-like domains. The extracellular domain of NCAM1 contains multiple immunoglobulin-like and fibronectin type III domains that project outward from the plasma membrane and participate in homophilic and heterophilic binding events. These extracellular interactions allow NCAM molecules on adjacent cells to engage in adhesion complexes that regulate tissue organization and cellular communication.

Because the extracellular region of CD56 is exposed on the cell surface, antibodies recognizing this domain are well suited for detecting NCAM1 on intact cells or within tissue sections where membrane-associated epitopes remain accessible. The extracellular domain is responsible for many of the protein's biological functions, including neuronal adhesion, axonal guidance, and regulation of synaptic connectivity. Detection of extracellular NCAM1 therefore provides insight into the distribution and functional state of this adhesion molecule in cellular systems.

CD56 is widely expressed in neural tissues where NCAM1 plays an important role in neuronal development, synaptic plasticity, and neural network formation. In the immune system, NCAM1 is best known as a defining marker of natural killer cells and certain subsets of activated T lymphocytes. The extracellular domain of CD56 mediates interactions that contribute to immune cell communication and cellular migration, making NCAM1 a frequently studied marker in both neuroscience and immunology research.

CD56 Extracellular Domain Antibody / NCAM1 Antibody (clone NCAM1/9121R) provides a recombinant rabbit monoclonal reagent designed to recognize the extracellular region of Neural cell adhesion molecule / NCAM1. Detection of the extracellular domain of CD56 supports studies investigating cell surface adhesion molecules, neural development pathways, immune cell markers, and mechanisms of NCAM-mediated cell-cell interaction.

Application Notes

Optimal dilution of the CD56 Extracellular Domain Antibody should be determined by the researcher.

1. This MAb reacts with an extracellular domain (close to transmembrane) of CD56/NCAM.

Immunogen

A recombinant fragment (within amino acids 200-400) of human NCAM1/CD56 protein was used as the immunogen for the CD56 antibody.

Storage

Aliquot the CD56 antibody and store frozen at -20oC or colder. Avoid repeated freeze-thaw cycles.

Alternate Names

NCAM1 antibody, Neural cell adhesion molecule antibody, CD56 extracellular domain antibody, NCAM extracellular domain antibody, CD56 neural cell adhesion molecule antibody

Cross
Bulk Quote Request Form
Name*:
Organization*:
Email*:
Phone Number*:
Catalog No.*:
Comments and Specifics(amount, formulation, etc.)*:
Validation code: Captchapackage Image


Can't read the image? click here to refresh.
    *required field

Your bulk quote request has been submitted successfully!

Please contact us if you have any questions.