• Tel: 858.663.9055
  • SeparatorEmail: info@nsjbio.com
  • Tel: 858.663.9055
  • Email: info@nsjbio.com
Home >> Antibodies >> CD52 Antibody

CD52 Antibody [clone CD52/2276R] (V3579)

  Catalog No Formulation Size Price (USD)  
Image V3579-100UG 0.2 mg/ml in 1X PBS with 0.1 mg/ml BSA (US sourced) and 0.05% sodium azide 100 ug 559
Image
V3579-20UG 0.2 mg/ml in 1X PBS with 0.1 mg/ml BSA (US sourced) and 0.05% sodium azide 20 ug 259
Image
V3579SAF-100UG 1 mg/ml in 1X PBS; BSA free, sodium azide free 100 ug 559
Image
V3579IHC-7ML Prediluted in 1X PBS with 0.1 mg/ml BSA (US sourced) and 0.05% sodium azide; *For IHC use only* 7 ml 559
Microvalidated Recrabbitmono
Bulk quote request
CD52 Antibody Spleen WB. Western blot analysis of CD52 / Campath-1 antigen expression in human spleen tissue lysate using CD52 antibody, clone CD52/2276R. Lane 1: human spleen tissue lysate. A band is detected at approximately 25 kDa, consistent with the predicted molecular weight of CD52, a glycosylphosphatidylinositol-anchored lymphocyte surface protein that can show migration shifts due to glycosylation.
SDS-PAGE analysis of purified, BSA-free CD52 antibody (clone CD52/2276R) as confirmation of integrity and purity.
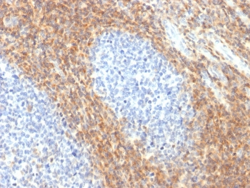
CD52 Antibody Tonsil IHC. Immunohistochemistry analysis of CD52 / Campath-1 antigen expression in FFPE human tonsil tissue using a recombinant rabbit monoclonal antibody, clone CD52/2276R. Strong membranous and cytoplasmic HRP-DAB brown staining is observed in lymphocytes within interfollicular regions and surrounding germinal centers, while germinal center cells show comparatively reduced signal; nuclei are counterstained blue. This staining pattern is consistent with the known distribution of CD52 on mature lymphoid cells. Antigen retrieval was performed by boiling sections in 10 mM citrate buffer, pH 6, for 10-20 min followed by cooling at room temperature before immunohistochemistry processing.
Availability 1-3 business days
Species Reactivity Human
Format Purified
Host Rabbit
Clonality Recombinant Rabbit Monoclonal
Isotype Rabbit IgG, kappa
Clone Name CD52/2276R
Purity Protein A affinity chromatography
UniProt P31358
Localization Cell surface, cytoplasm
Applications Immunohistochemistry (FFPE) : 1-2ug/ml for 30 min at RT
Western Blot : 2-4ug/ml
Limitations This CD52 antibody is available for research use only.
Review this product on BioCompare and get a $20 Amazon gift card

Description

CD52 antibody is a specialized reagent for detecting CD52, a glycosylphosphatidylinositol anchored glycoprotein expressed on the surface of mature lymphocytes. CD52 is present on most B cells, T cells, and some monocytes, while being absent from stem cells and plasma cells. Because of its restricted expression pattern, CD52 is a useful marker in immunology and hematology research.

CD52 is a small protein with a short amino acid sequence but carries a complex glycosylation pattern. Its precise biological functions remain incompletely defined, yet it has been implicated in modulating immune activation and cellular adhesion. CD52 expression on lymphocytes makes it a therapeutic target, as seen in monoclonal antibody therapies used for chronic lymphocytic leukemia and multiple sclerosis.

CD52 antibody clone CD52/2276R provides highly specific detection. Recombinant technology guarantees batch to batch consistency and dependable results across studies. Clone CD52/2276R has been used in research exploring lymphocyte biology, immune regulation, and therapeutic antibody development. Its consistent performance ensures accurate recognition of CD52 in varied experimental systems.

Research using clone CD52/2276R has advanced knowledge of how CD52 expression influences immune regulation and how it can be targeted for therapy. Because it is widely expressed on mature lymphocytes, CD52 is valuable in identifying cell populations in immunological studies and in monitoring treatment responses in hematologic malignancies. The antibody also aids in clarifying the mechanisms underlying antibody mediated depletion of lymphocytes.

NSJ Bioreagents offers this recombinant CD52 antibody to support high quality research in immunology, hematology, and therapeutic development. Alternate terms include cluster of differentiation 52 antibody, CAMPATH 1 antigen antibody, lymphocyte surface glycoprotein CD52 antibody, and mature lymphocyte antigen antibody. These synonyms illustrate the various ways CD52 is referenced in scientific contexts.

This CD52 antibody is part of a broader CD antibody panel offered by NSJ Bioreagents.

Application Notes

Optimal dilution of the CD52 antibody to be determined by the researcher.

1. The prediluted format is supplied in a dropper bottle and is optimized for use in IHC. After epitope retrieval step (if required), drip mAb solution onto the tissue section and incubate at RT for 30 min.

Immunogen

Recombinant full-length human protein was used as the immunogen for the recombinant CD52 antibody.

Storage

Store the CD52 antibody at 2-8oC (with azide) or aliquot and store at -20oC or colder (without azide).

Alternate Names

Cambridge pathology 1 antigen antibody, CAMPATH 1 antibody, CD52 molecule antibody

Cross
Bulk Quote Request Form
Name*:
Organization*:
Email*:
Phone Number*:
Catalog No.*:
Comments and Specifics(amount, formulation, etc.)*:
Validation code: Captchapackage Image


Can't read the image? click here to refresh.
    *required field

Your bulk quote request has been submitted successfully!

Please contact us if you have any questions.