• Tel: 858.663.9055
  • SeparatorEmail: info@nsjbio.com
  • Tel: 858.663.9055
  • Email: info@nsjbio.com
Home >> Antibodies >> CD5 Antibody / T Cell Activation Regulator Antibody

CD5 Antibody / T Cell Activation Regulator Antibody [clone rC5/6462] (V9321)

  Catalog No Formulation Size Price (USD)  
Image V9321-100UG 0.2 mg/ml in 1X PBS with 0.1 mg/ml BSA (US sourced), 0.05% sodium azide 100 ug 559
Image
V9321-20UG 0.2 mg/ml in 1X PBS with 0.1 mg/ml BSA (US sourced), 0.05% sodium azide 20 ug 259
Image
V9321SAF-100UG 1 mg/ml in 1X PBS; BSA free, sodium azide free 100 ug 559
Microvalidated Recmousemono
Bulk quote request
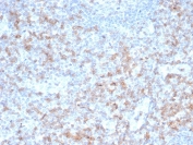
CD5 Antibody for IHC. Immunohistochemistry analysis of CD5 antibody staining in FFPE human tonsil tissue using a T cell activation regulator antibody, clone rC5/6462. Strong membranous staining is observed in T lymphocytes within interfollicular regions, with dense labeling surrounding germinal centers while follicular B cell areas remain largely negative. The staining pattern highlights normal tonsillar architecture and reflects the role of CD5 in regulating T cell activation within lymphoid compartments. Heat-induced epitope retrieval was performed using pH 9 Tris-EDTA buffer for 20 minutes followed by cooling prior to antibody incubation.
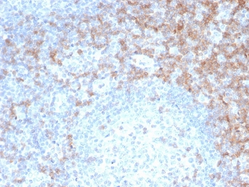
CD5 Antibody. Immunohistochemistry analysis of CD5 antibody staining in FFPE human tonsil tissue using a T cell activation regulator antibody, clone rC5/6462. Strong membranous staining is observed in interfollicular T lymphocytes with widespread distribution across T cell zones, while germinal center B cell regions remain largely negative. The staining pattern reflects the role of CD5 in modulating T cell activation within lymphoid tissue and supports clear identification of T cell-rich compartments. Heat-induced epitope retrieval was performed using pH 9 Tris-EDTA buffer for 20 minutes followed by cooling prior to antibody incubation.
Negative control: IHC staining of FFPE human brain tissue with recombinant CD5 antibody (clone rC5/6462) at 2ug/ml in PBS for 30min RT. HIER: boil tissue sections in pH 9 10mM Tris with 1mM EDTA for 20 min and allow to cool before testing.
SDS-PAGE analysis of purified, BSA-free recombinant CD5 antibody (clone rC5/6462) as confirmation of integrity and purity.
Availability 1-3 business days
Species Reactivity Human
Format Purified
Host Mouse
Clonality Recombinant Mouse Monoclonal
Isotype Mouse IgG2a, kappa
Clone Name rC5/6462
Purity Protein A/G affinity
UniProt P06127
Localization Cell Surface
Applications Immunohistochemistry (FFPE) : 1-2ug/ml
Limitations This CD5 Antibody / T Cell Activation Regulator Antibody is available for research use only.
Review this product on BioCompare and get a $20 Amazon gift card

Related Products

Description

CD5 (CD5) is a type I transmembrane glycoprotein of the scavenger receptor cysteine-rich (SRCR) superfamily, localized to the plasma membrane of T lymphocytes and a subset of B cells. CD5 Antibody / T Cell Activation Regulator Antibody is used to detect CD5 in the context of immune activation and signaling regulation, where it plays a central role in modulating T cell responses. CD5 antibody, also known as T cell surface glycoprotein CD5 antibody or LEU1 antibody, is widely used to study lymphocyte activation, receptor signaling, and immune system dynamics.

CD5 functions as a key regulator of T cell activation by modulating signaling downstream of the T cell receptor (TCR). It acts primarily as a negative regulator that fine-tunes activation thresholds, ensuring that T cells respond appropriately to antigen stimulation without triggering excessive or uncontrolled immune responses. This balancing role is critical for maintaining immune precision, allowing effective pathogen response while limiting collateral tissue damage. Because CD5 expression correlates with signaling sensitivity, CD5 antibody is frequently used to investigate activation-dependent changes in T cell behavior.

CD5 is highly expressed during thymocyte development, where it contributes to T cell selection processes that shape the functional repertoire of the immune system. In mature peripheral T cells, CD5 continues to regulate activation thresholds and signaling strength, influencing differentiation into effector and memory subsets. Its expression on specific B cell populations further extends its relevance in immune activation biology. CD5 antibody for activation studies enables detailed analysis of how lymphocytes respond to stimulation, including changes in signaling intensity, proliferation, and functional output.

In experimental systems, CD5 antibody is commonly used to evaluate activation states in T cell lines and primary immune cells, supporting studies of receptor engagement, intracellular signaling cascades, and immune response modulation. Because CD5 participates in pathways that intersect with key signaling molecules, its detection provides valuable context for understanding broader immune regulatory networks. This makes CD5 antibody particularly useful in studies of T cell activation kinetics, immune checkpoint regulation, and signaling feedback mechanisms.

Dysregulation of CD5-mediated signaling has been associated with autoimmune diseases, chronic inflammation, and hematologic malignancies. Altered CD5 expression or function can shift activation thresholds, contributing to aberrant immune responses or impaired immune control. CD5 antibody supports investigation of these disease-associated processes by enabling detection of CD5 in systems examining immune activation and dysfunction.

This antibody is suitable for detecting CD5 in research applications focused on immune activation and signaling regulation. Its ability to identify CD5 across lymphocyte populations supports studies of T cell activation, receptor signaling pathways, and immune response modulation under both normal and disease conditions.

Because CD5 is a central regulator of T cell activation, CD5 antibody is widely used in studies of immune signaling, lymphocyte function, and activation-dependent changes in immune system behavior.

A full range of CD5 antibody reagents for immunohistochemistry, western blot, and flow cytometry is available on our CD5 Antibody collection page.

Application Notes

Optimal dilution of the CD5 Antibody / T Cell Activation Regulator Antibody should be determined by the researcher.

Immunogen

Recombinant full-length protein corresponding to human CD5 was used as the immunogen for the recombinant CD5 antibody.

Storage

Aliquot the recombinant CD5 antibody and store frozen at -20oC or colder. Avoid repeated freeze-thaw cycles.

Alternate Names

CD5 T cell activation antibody, CD5 activation regulator antibody, CD5 immune activation marker antibody, CD5 signaling regulator antibody, CD5 lymphocyte activation antibody

Cross
Bulk Quote Request Form
Name*:
Organization*:
Email*:
Phone Number*:
Catalog No.*:
Comments and Specifics(amount, formulation, etc.)*:
Validation code: Captchapackage Image


Can't read the image? click here to refresh.
    *required field

Your bulk quote request has been submitted successfully!

Please contact us if you have any questions.