• Tel: 858.663.9055
  • SeparatorEmail: info@nsjbio.com
  • Tel: 858.663.9055
  • Email: info@nsjbio.com
Home >> Antibodies >> CD5 Antibody / Immune Tolerance Regulator Antibody

CD5 Antibody / Immune Tolerance Regulator Antibody [clone rC5/6429] (V9322)

  Catalog No Formulation Size Price (USD)  
Image V9322-100UG 0.2 mg/ml in 1X PBS with 0.1 mg/ml BSA (US sourced), 0.05% sodium azide 100 ug 559
Image
V9322-20UG 0.2 mg/ml in 1X PBS with 0.1 mg/ml BSA (US sourced), 0.05% sodium azide 20 ug 259
Image
V9322SAF-100UG 1 mg/ml in 1X PBS; BSA free, sodium azide free 100 ug 559
Microvalidated Recmousemono
Bulk quote request
CD5 Antibody for WB. Western blot analysis of CD5 antibody in human Jurkat cell lysate using an immune tolerance regulator antibody, clone rC5/6429. A band is detected at approximately 55-67 kDa, consistent with the predicted molecular weight of CD5, with size variation reflecting known glycosylation of this membrane glycoprotein. The strong signal observed in this T cell-derived lysate aligns with the established role of CD5 in regulating immune tolerance in T lymphocytes.
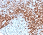
CD5 Antibody. Immunohistochemistry analysis of CD5 antibody staining in FFPE human tonsil tissue using an immune tolerance regulator antibody, clone rC5/6429. Strong membranous staining is observed in interfollicular T lymphocytes with dense labeling of T cell zones surrounding germinal centers, while follicular B cell regions remain largely negative. The staining pattern highlights normal tonsillar architecture and reflects the role of CD5 in maintaining immune tolerance within lymphoid tissue. Heat-induced epitope retrieval was performed using pH 9 Tris-EDTA buffer for 20 minutes followed by cooling prior to antibody incubation.
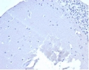
Negative control: IHC staining of FFPE human brain tissue using recombinant CD5 antibody (clone rC5/6429) at 2ug/ml in PBS for 30min RT. HIER: boil tissue sections in pH 9 10mM Tris with 1mM EDTA for 20 min and allow to cool before testing.
SDS-PAGE analysis of purified, BSA-free recombinant CD5 antibody (clone rC5/6429) as confirmation of integrity and purity.
Availability 1-3 business days
Species Reactivity Human
Format Purified
Host Mouse
Clonality Recombinant Mouse Monoclonal
Isotype Mouse IgG2a, kappa
Clone Name rC5/6429
Purity Protein A/G affinity
UniProt P06127
Localization Cell Surface
Applications Immunohistochemistry (FFPE) : 1-2ug/ml
Western Blot : 1-2ug/ml
Limitations This CD5 Antibody / Immune Tolerance Regulator Antibody is available for research use only.
Review this product on BioCompare and get a $20 Amazon gift card

Related Products

Description

CD5 (CD5) is a transmembrane glycoprotein belonging to the scavenger receptor cysteine-rich (SRCR) superfamily, expressed on T lymphocytes and a subset of B cells. CD5 Antibody / Immune Tolerance Regulator Antibody is used to detect CD5 in the context of immune tolerance and signaling regulation, where it plays a critical role in maintaining immune homeostasis. CD5 antibody, also known as T cell surface glycoprotein CD5 antibody or LEU1 antibody, is widely used in studies of immune regulation, tolerance mechanisms, and lymphocyte biology.

CD5 functions as a negative regulator of antigen receptor signaling, dampening T cell receptor activation and preventing excessive or inappropriate immune responses. This regulatory activity is essential for maintaining tolerance to self-antigens and avoiding autoimmune activation. By setting signaling thresholds, CD5 helps ensure that lymphocytes respond selectively to true pathogenic stimuli while remaining unresponsive to self-derived signals. CD5 antibody is therefore an important tool for studying the molecular mechanisms that govern immune balance.

During thymic development, CD5 expression levels are closely linked to T cell selection processes, where signaling strength determines whether developing thymocytes undergo positive selection, negative selection, or deletion. In mature T cells, CD5 continues to influence signaling sensitivity and contributes to the maintenance of peripheral tolerance. Its expression on select B cell subsets further supports its role in broader immune regulatory networks. CD5 antibody enables investigation of these tolerance-related processes across different stages of lymphocyte development and function.

In disease settings, disruptions in CD5-mediated signaling can contribute to autoimmune disorders, chronic inflammatory conditions, and lymphoid malignancies. Reduced or altered CD5 function may lead to increased immune reactivity, while aberrant expression patterns may be associated with disease progression. CD5 antibody supports research into these conditions by enabling detection of CD5 in systems examining immune tolerance breakdown and dysregulated signaling.

Because immune tolerance is a fundamental aspect of immune system stability, CD5 antibody is frequently used in studies of regulatory T cell function, signaling threshold modulation, and immune checkpoint biology. Its detection provides insight into how immune cells maintain balance and how this balance is altered in disease. CD5 antibody for tolerance-focused research is therefore particularly valuable in studies of immune homeostasis and therapeutic intervention strategies.

This antibody is suitable for detecting CD5 in research applications focused on immune tolerance and regulatory signaling. Its ability to identify CD5 across lymphocyte populations supports studies of immune homeostasis, tolerance mechanisms, and disease-associated changes in immune regulation.

Because CD5 is a key regulator of immune tolerance, CD5 antibody is widely used in studies of lymphocyte signaling balance, immune system stability, and the prevention of aberrant immune activation.

A full range of CD5 antibody reagents for immunohistochemistry, western blot, and flow cytometry is available on our CD5 Antibody collection page.

Application Notes

Optimal dilution of the CD5 Antibody / Immune Tolerance Regulator Antibody should be determined by the researcher.

Immunogen

Recombinant full-length protein corresponding to human CD5 was used as the immunogen for the recombinant CD5 antibody.

Storage

Aliquot the recombinant CD5 antibody and store frozen at -20oC or colder. Avoid repeated freeze-thaw cycles.

Alternate Names

CD5 immune tolerance antibody, CD5 tolerance regulator antibody, CD5 immune modulation antibody, CD5 signaling threshold antibody, CD5 immune homeostasis antibody

Cross
Bulk Quote Request Form
Name*:
Organization*:
Email*:
Phone Number*:
Catalog No.*:
Comments and Specifics(amount, formulation, etc.)*:
Validation code: Captchapackage Image


Can't read the image? click here to refresh.
    *required field

Your bulk quote request has been submitted successfully!

Please contact us if you have any questions.