• Tel: 858.663.9055
  • SeparatorEmail: info@nsjbio.com
  • Tel: 858.663.9055
  • Email: info@nsjbio.com
Home >> Antibodies >> CD5 Antibody / Adaptive Immune Response Marker Antibody

CD5 Antibody / Adaptive Immune Response Marker Antibody [clone C5/8117R] (V4168)

  Catalog No Formulation Size Price (USD)  
Image V4168-100UG 0.2 mg/ml in 1X PBS with 0.1 mg/ml BSA (US sourced), 0.05% sodium azide 100 ug 559
Image
V4168-20UG 0.2 mg/ml in 1X PBS with 0.1 mg/ml BSA (US sourced), 0.05% sodium azide 20 ug 259
Image
V4168SAF-100UG 1 mg/ml in 1X PBS; BSA free, sodium azide free 100 ug 559
Microvalidated Recrabbitmono
Bulk quote request
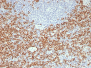
CD5 Antibody for IHC. Immunohistochemistry analysis of CD5 antibody staining in FFPE human tonsil tissue using an adaptive immune response marker antibody, clone C5/8117R. Strong membranous staining is observed in interfollicular T lymphocytes with dense labeling of T cell zones surrounding germinal centers, while follicular B cell regions remain largely negative. The staining pattern highlights normal tonsillar architecture and reflects the role of CD5 in antigen-driven adaptive immune responses within lymphoid tissue. Heat-induced epitope retrieval was performed using pH 9 Tris-EDTA buffer for 20 minutes followed by cooling prior to antibody incubation.
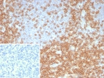
CD5 Antibody for IHC. Immunohistochemistry analysis of CD5 antibody staining in FFPE human tonsil tissue using an adaptive immune response marker antibody, clone C5/8117R. Strong membranous staining is observed in interfollicular T lymphocytes with dense labeling of T cell zones surrounding germinal centers, while follicular B cell regions remain largely negative. The staining pattern highlights normal tonsillar architecture and reflects the role of CD5 in antigen-driven adaptive immune responses within lymphoid tissue. Inset: PBS used in place of primary antibody shows no specific staining, confirming secondary antibody specificity. Heat-induced epitope retrieval was performed using pH 9 Tris-EDTA buffer for 20 minutes followed by cooling prior to antibody incubation.
Availability 1-3 business days
Species Reactivity Human
Format Purified
Host Rabbit
Clonality Recombinant Rabbit Monoclonal
Isotype Rabbit IgG, kappa
Clone Name C5/8117R
Purity Protein A/G affinity
UniProt P06127
Localization Cell surface
Applications Immunohistochemistry (FFPE) : 1-2ug/ml for 30 minutes at RT
Limitations This CD5 Antibody / Adaptive Immune Response Marker Antibody is available for research use only.
Review this product on BioCompare and get a $20 Amazon gift card

Related Products

Description

CD5 (CD5 molecule) is a type I transmembrane glycoprotein of the scavenger receptor cysteine-rich (SRCR) superfamily, expressed on T lymphocytes and a subset of B cells involved in antigen-driven immune responses. CD5 Antibody / Adaptive Immune Response Marker Antibody is used to detect CD5 in the context of adaptive immunity, where it contributes to the regulation, amplification, and fine-tuning of antigen-specific lymphocyte responses. CD5 antibody, also known as T cell surface glycoprotein CD5 antibody or LEU1 antibody, is widely used to study T cell-mediated immunity and adaptive immune system dynamics.

Adaptive immune responses depend on precise recognition of antigen and subsequent activation of T lymphocytes through the T cell receptor. CD5 plays a key role in modulating these signaling events by adjusting activation thresholds and shaping the strength of downstream responses. Because CD5 influences how T cells interpret antigenic signals, its expression provides important context for understanding immune response magnitude, sensitivity, and specificity. CD5 antibody is therefore frequently used in studies examining antigen recognition, signal integration, and functional immune responses.

CD5-positive T lymphocytes are central to adaptive immunity, participating in clonal expansion, differentiation into effector and memory subsets, and coordination of immune responses across tissues. Detection of CD5 enables identification of these populations within lymphoid organs, peripheral tissues, and experimental systems, supporting analysis of immune activation, proliferation, and long-term immune memory formation. CD5 antibody is particularly useful for studying how adaptive immune responses evolve over time and how lymphocytes respond to repeated or sustained antigen exposure.

In addition to T cells, CD5 expression on certain B cell subsets contributes to adaptive immune regulation, particularly in contexts involving antibody production and immune modulation. These CD5-positive B cells may play roles in regulating immune responses and maintaining balance within the adaptive immune system. CD5 antibody enables detection of these populations, providing a broader view of adaptive immunity beyond T cell biology alone.

CD5 is also relevant in disease settings where adaptive immune responses are altered, including infection, autoimmune disease, and cancer. Changes in CD5 expression or signaling can influence the effectiveness and regulation of immune responses, making CD5 antibody a valuable tool for studying disease-associated immune dynamics and therapeutic intervention strategies.

This antibody is suitable for detecting CD5 in research applications focused on adaptive immunity and antigen-driven responses. Its ability to identify CD5-positive lymphocytes supports studies of immune response mechanisms, antigen recognition, and lymphocyte functional behavior.

Because CD5 is closely linked to adaptive immune responses, CD5 antibody is widely used in studies of T cell-mediated immunity, antigen-specific activation, and immune system function.

A full range of CD5 antibody reagents for immunohistochemistry, western blot, and flow cytometry is available on our CD5 Antibody collection page.

Application Notes

Optimal dilution of the CD5 Antibody / Adaptive Immune Response Marker Antibody should be determined by the researcher.

Immunogen

Recombinant protein corresponding to the extracellular domain of human CD5 was used as the immunogen for the recombinant CD5 antibody.

Storage

Aliquot the recombinant CD5 antibody and store frozen at -20oC or colder. Avoid repeated freeze-thaw cycles.

Alternate Names

CD5 adaptive immunity antibody, CD5 adaptive immune marker antibody, CD5 T cell response antibody, CD5 antigen response marker antibody, CD5 immune response antibody

Cross
Bulk Quote Request Form
Name*:
Organization*:
Email*:
Phone Number*:
Catalog No.*:
Comments and Specifics(amount, formulation, etc.)*:
Validation code: Captchapackage Image


Can't read the image? click here to refresh.
    *required field

Your bulk quote request has been submitted successfully!

Please contact us if you have any questions.