• Tel: 858.663.9055
  • SeparatorEmail: info@nsjbio.com
  • Tel: 858.663.9055
  • Email: info@nsjbio.com
Home >> Antibodies >> CD5 Antibody / Lymphocyte Signaling Modulator Antibody

CD5 Antibody / Lymphocyte Signaling Modulator Antibody [clone C5/6463R] (V9330)

  Catalog No Formulation Size Price (USD)  
Image V9330-100UG 0.2 mg/ml in 1X PBS with 0.1 mg/ml BSA (US sourced), 0.05% sodium azide 100 ug 559
Image
V9330-20UG 0.2 mg/ml in 1X PBS with 0.1 mg/ml BSA (US sourced), 0.05% sodium azide 20 ug 259
Image
V9330SAF-100UG 1 mg/ml in 1X PBS; BSA free, sodium azide free 100 ug 559
Microvalidated Recrabbitmono
Bulk quote request
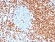
CD5 Antibody. Immunohistochemistry analysis of CD5 antibody staining in FFPE human tonsil tissue using a lymphocyte signaling modulator antibody, clone C5/6463R. Strong membranous staining is observed in interfollicular T lymphocytes with dense labeling of T cell zones surrounding germinal centers, while follicular B cell areas remain largely negative. The staining pattern highlights normal tonsillar architecture and reflects the role of CD5 in modulating lymphocyte signaling within immune compartments. Heat-induced epitope retrieval was performed using pH 9 Tris-EDTA buffer for 20 minutes followed by cooling prior to antibody incubation.
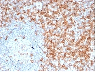
CD5 Antibody for IHC. Immunohistochemistry analysis of CD5 antibody staining in FFPE human tonsil tissue using a lymphocyte signaling modulator antibody, clone C5/6463R. Strong membranous staining is observed in interfollicular T lymphocytes with broad distribution across T cell zones, while germinal center B cell regions remain largely negative. The staining pattern highlights normal tonsillar architecture and reflects the role of CD5 in modulating lymphocyte signaling within immune compartments. Heat-induced epitope retrieval was performed using pH 9 Tris-EDTA buffer for 20 minutes followed by cooling prior to antibody incubation.
Negative control: IHC staining of FFPE human brain tissue with recombinant CD5 antibody (clone C5/6463R) at 2ug/ml in PBS for 30min RT. HIER: boil tissue sections in pH 9 10mM Tris with 1mM EDTA for 20 min and allow to cool before testing.
SDS-PAGE analysis of purified, BSA-free recombinant CD5 antibody (clone C5/6463R) as confirmation of integrity and purity.
Availability 1-3 business days
Species Reactivity Human
Format Purified
Host Rabbit
Clonality Recombinant Rabbit Monoclonal
Isotype Rabbit IgG
Clone Name C5/6463R
Purity Protein A/G affinity
UniProt P06127
Localization Cell Surface
Applications Immunohistochemistry (FFPE) : 1-2ug/ml
Limitations This CD5 Antibody / Lymphocyte Signaling Modulator Antibody is available for research use only.
Review this product on BioCompare and get a $20 Amazon gift card

Related Products

Description

CD5 (CD5 molecule) is a cell surface glycoprotein of the scavenger receptor cysteine-rich (SRCR) superfamily, expressed on T lymphocytes and a subset of B cells. CD5 Antibody / Lymphocyte Signaling Modulator Antibody is used to detect CD5 as a key modulator of signaling pathways in lymphocytes, where it influences how immune cells respond to environmental cues. CD5 antibody, also referred to as T cell surface glycoprotein CD5 antibody or LEU1 antibody, is widely used in studies focused on immune signaling, receptor regulation, and lymphocyte communication.

CD5 plays an important role in modulating signaling downstream of antigen receptors, including the T cell receptor, by adjusting signal strength and influencing downstream pathway activation. Rather than acting solely as an on-off switch, CD5 functions as a fine-tuning regulator that shapes the magnitude and duration of signaling responses. This modulation affects key cellular outcomes such as activation, proliferation, differentiation, and cytokine production. CD5 antibody is therefore a valuable tool for studying how signaling networks are regulated in immune cells.

Expression of CD5 is consistent across mature T cells and present in specific B cell subsets, making it a useful marker for studying signaling processes across lymphocyte populations. CD5 antibody enables detection of this protein in experimental systems designed to investigate receptor interactions, signaling cascades, and cellular responses to stimuli. Its presence at the cell surface allows it to participate in complex signaling networks that integrate extracellular signals with intracellular responses.

CD5-mediated signaling is implicated in a range of biological and disease processes, including immune dysregulation, chronic inflammation, and hematologic malignancies. Alterations in CD5 function can influence signaling pathways that control immune cell behavior, contributing to disease progression or altered immune responses. CD5 antibody supports analysis of these processes by enabling detection of CD5 expression in relevant experimental models.

In research applications, CD5 antibody is often used to investigate signaling pathway interactions, receptor cross-talk, and mechanisms of signal integration within lymphocytes. Its detection provides insight into how immune cells coordinate responses to complex stimuli and maintain functional balance. CD5 antibody for signaling studies is therefore particularly useful in systems biology approaches and studies of immune network regulation.

This antibody is suitable for detecting CD5 in research applications focused on signaling modulation and receptor regulation. Its ability to identify CD5 across lymphocyte populations supports studies of immune signaling pathways, cellular communication, and functional responses in both normal and disease contexts.

Because CD5 is a key modulator of lymphocyte signaling, CD5 antibody is widely used in studies of immune pathway regulation, receptor signaling dynamics, and disease-associated changes in immune function.

A full range of CD5 antibody reagents for immunohistochemistry, western blot, and flow cytometry is available on our CD5 Antibody collection page.

Application Notes

Optimal dilution of the CD5 Antibody / Lymphocyte Signaling Modulator Antibody should be determined by the researcher.

Immunogen

A portion of amino acids 450-495 from the intracellular region of human CD5 was used as the immunogen for the recombinant CD5 antibody.

Storage

Aliquot the recombinant CD5 antibody and store frozen at -20oC or colder. Avoid repeated freeze-thaw cycles.

Alternate Names

CD5 signaling modulator antibody, CD5 lymphocyte signaling antibody, CD5 immune signaling antibody, CD5 receptor regulator antibody, CD5 signal modulation antibody

Cross
Bulk Quote Request Form
Name*:
Organization*:
Email*:
Phone Number*:
Catalog No.*:
Comments and Specifics(amount, formulation, etc.)*:
Validation code: Captchapackage Image


Can't read the image? click here to refresh.
    *required field

Your bulk quote request has been submitted successfully!

Please contact us if you have any questions.