• Tel: 858.663.9055
  • SeparatorEmail: info@nsjbio.com
  • Tel: 858.663.9055
  • Email: info@nsjbio.com
Home >> Antibodies >> CD5 Antibody / T Cell Development Marker Antibody

CD5 Antibody / T Cell Development Marker Antibody [clone C5/6438R] (V9332)

  Catalog No Formulation Size Price (USD)  
Image V9332-100UG 0.2 mg/ml in 1X PBS with 0.1 mg/ml BSA (US sourced), 0.05% sodium azide 100 ug 559
Image
V9332-20UG 0.2 mg/ml in 1X PBS with 0.1 mg/ml BSA (US sourced), 0.05% sodium azide 20 ug 259
Image
V9332SAF-100UG 1 mg/ml in 1X PBS; BSA free, sodium azide free 100 ug 559
Microvalidated Recrabbitmono
Bulk quote request
CD5 Antibody for WB. Western blot analysis of CD5 antibody in human Jurkat cell lysate using a T cell development marker antibody, clone C5/6438R. A band is detected at approximately 55-67 kDa, consistent with the predicted molecular weight of CD5, with size variation reflecting known glycosylation of this membrane glycoprotein. The strong signal observed in this T cell-derived lysate aligns with the established role of CD5 in thymocyte maturation and T cell development.
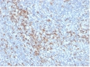
CD5 Antibody for IHC. Immunohistochemistry analysis of CD5 antibody staining in FFPE human tonsil tissue using a T cell development marker antibody, clone C5/6438R. Membranous staining is observed in T lymphocytes within interfollicular regions, with labeling concentrated in T cell zones surrounding germinal centers while follicular B cell areas remain largely negative. The staining pattern reflects expected localization of CD5 in lymphocyte populations and supports its role in T cell development and maturation within lymphoid tissue. Heat-induced epitope retrieval was performed using pH 9 Tris-EDTA buffer for 20 minutes followed by cooling prior to antibody incubation.
Negative control: IHC staining of FFPE human brain tissue using recombinant CD5 antibody (clone C5/6438R) at 2ug/ml in PBS for 30min RT. HIER: boil tissue sections in pH 9 10mM Tris with 1mM EDTA for 20 min and allow to cool before testing.
SDS-PAGE analysis of purified, BSA-free recombinant CD5 antibody (clone C5/6438R) as confirmation of integrity and purity.
Availability 1-3 business days
Species Reactivity Human
Format Purified
Host Rabbit
Clonality Recombinant Rabbit Monoclonal
Isotype Rabbit IgG
Clone Name C5/6438R
Purity Protein A/G affinity
UniProt P06127
Localization Cell Surface
Applications Immunohistochemistry (FFPE) : 1-2ug/ml
Limitations This CD5 Antibody / T Cell Development Marker Antibody is available for research use only.
Review this product on BioCompare and get a $20 Amazon gift card

Related Products

Description

CD5 (CD5) is a type I transmembrane glycoprotein of the scavenger receptor cysteine-rich (SRCR) superfamily, localized to the plasma membrane of thymocytes, mature T lymphocytes, and a subset of B cells. CD5 Antibody / T Cell Development Marker Antibody is used to detect CD5 in the context of lymphocyte development, where it plays a central role during thymocyte maturation and T cell lineage specification. CD5 antibody, also known as T cell surface glycoprotein CD5 antibody or LEU1 antibody, is widely used in studies of immune system development and differentiation.

CD5 expression is dynamically regulated during thymic development and is closely linked to signaling events that guide positive and negative selection of thymocytes. These processes determine whether developing T cells survive, differentiate, or undergo apoptosis, ultimately shaping the functional T cell repertoire. CD5 expression levels reflect the strength of T cell receptor signaling during these checkpoints, making CD5 antibody a valuable tool for studying thymocyte selection, signaling thresholds, and developmental progression within the thymus.

As thymocytes mature, CD5 expression becomes stabilized on peripheral T cells, where it continues to play a role in maintaining functional balance. Its developmental significance, however, lies in its ability to act as a surrogate marker for signaling intensity during early immune system formation. CD5 antibody for development-focused research enables detailed investigation of thymic architecture, including cortical and medullary regions, as well as the identification of distinct maturation stages within the T cell lineage.

CD5 is also expressed on specific B cell subsets, particularly those associated with innate-like immune responses, providing additional insight into lymphocyte differentiation pathways. Detection of CD5 across both T and B cell populations supports studies examining lineage relationships, developmental trajectories, and functional specialization within the immune system. This makes CD5 antibody a useful reagent for exploring the broader context of lymphocyte development beyond T cell biology alone.

In experimental models, CD5 antibody is frequently used to study immune system development in both physiological and disease settings, including models of immunodeficiency, thymic dysfunction, and developmental disorders. Its ability to reflect signaling strength during selection processes provides unique insight into how immune tolerance and specificity are established during early life stages.

This antibody is suitable for detecting CD5 in research applications focused on lymphocyte development and immune system maturation. Its ability to identify CD5 across developmental stages supports studies of thymocyte selection, lineage commitment, and immune system formation.

Because CD5 is closely linked to T cell development and maturation, CD5 antibody is widely used in studies of thymic biology, lymphocyte differentiation, and developmental immunology.

A full range of CD5 antibody reagents for immunohistochemistry, western blot, and flow cytometry is available on our CD5 Antibody collection page.

Application Notes

Optimal dilution of the CD5 Antibody / T Cell Development Marker Antibody should be determined by the researcher.

Immunogen

Recombinant full-length protein was used as the immunogen for the recombinant CD5 antibody.

Storage

Aliquot the recombinant CD5 antibody and store frozen at -20oC or colder. Avoid repeated freeze-thaw cycles.

Alternate Names

CD5 T cell development antibody, CD5 thymocyte marker antibody, CD5 lymphocyte maturation antibody, CD5 immune development antibody, CD5 thymus marker antibody

Cross
Bulk Quote Request Form
Name*:
Organization*:
Email*:
Phone Number*:
Catalog No.*:
Comments and Specifics(amount, formulation, etc.)*:
Validation code: Captchapackage Image


Can't read the image? click here to refresh.
    *required field

Your bulk quote request has been submitted successfully!

Please contact us if you have any questions.