• Tel: 858.663.9055
  • SeparatorEmail: info@nsjbio.com
  • Tel: 858.663.9055
  • Email: info@nsjbio.com
Home >> Antibodies >> CD5 Antibody C-Terminus / CD5 C-Terminal Antibody

CD5 Antibody C-Terminus / CD5 C-Terminal Antibody [clone RM314] (R20333)

  Catalog No Formulation Size Price (USD)  
Image R20333-0.1ML Antibody in PBS with 50% glycerol, 1% BSA and 0.09% sodium azide 100 ul 439
Microvalidated Recrabbitmono
Bulk quote request
CD5 Antibody for WB. Western blot analysis of CD5 antibody in human Jurkat cell lysate using a C-terminal directed antibody. A band is detected at approximately 55-67 kDa, consistent with the predicted molecular weight of CD5, with size variation reflecting known glycosylation of this membrane glycoprotein. Detection using a C-terminal epitope confirms recognition of the intracellular domain, supporting analysis of CD5 independent of extracellular epitope accessibility.
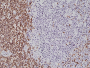
CD5 Antibody for IHC. Immunohistochemistry analysis of CD5 antibody staining in FFPE human tonsil tissue using a C-terminal directed antibody. Strong membranous staining is observed in interfollicular T lymphocytes with dense labeling of T cell zones surrounding germinal centers, while follicular B cell regions remain largely negative. Detection using a C-terminal epitope supports recognition of CD5 independent of extracellular domain accessibility and reflects its intracellular signaling-associated region. Heat-induced epitope retrieval was performed in pH 6 citrate buffer for 20 minutes followed by cooling prior to antibody incubation.
Availability 1-3 business days
Species Reactivity Human
Format Purified
Host Rabbit
Clonality Recombinant Rabbit Monoclonal
Isotype Rabbit IgG
Clone Name RM314
Purity Protein A purified from animal origin-free supernatant
UniProt P06127
Localization Cytoplasmic, membranous
Applications Immunohistochemistry (FFPE) : 1:500-1:1000
Western Blot : 1:1000-1:2000
Limitations This CD5 Antibody C-Terminus / CD5 C-Terminal Antibody is available for research use only.
Review this product on BioCompare and get a $20 Amazon gift card

Related Products

Description

CD5 (CD5 molecule) is a type I transmembrane glycoprotein of the scavenger receptor cysteine-rich (SRCR) superfamily, expressed on T lymphocytes and a subset of B cells where it regulates antigen receptor signaling. CD5 Antibody C-Terminus / CD5 C-Terminal Antibody (clone RM314) is designed to detect the intracellular C-terminal region of CD5, providing a targeted approach for studying the cytoplasmic signaling domain that governs downstream immune regulatory pathways. CD5 antibody, also known as T cell surface glycoprotein CD5 antibody or LEU1 antibody, is widely used in immune signaling research, with C-terminal targeting enabling focused investigation of intracellular regulatory mechanisms.

Structurally, CD5 consists of an extracellular ligand-binding domain, a transmembrane region, and a cytoplasmic C-terminal tail that mediates intracellular signaling. The C-terminal domain is essential for recruiting adaptor proteins and signaling molecules that modulate T cell receptor (TCR) signaling. Through this region, CD5 acts as a negative regulator of activation, helping to fine-tune signaling thresholds and maintain immune homeostasis. CD5 C-terminal antibody is therefore particularly valuable for studies examining intracellular signaling cascades and regulatory feedback mechanisms.

Detection of the CD5 C-terminus enables investigation of the intracellular portion of the protein independent of extracellular accessibility. This is especially important in experimental conditions where the extracellular domain may be masked, cleaved, or altered, such as during receptor internalization, shedding, or proteolytic processing. CD5 antibody targeting the C-terminal region ensures consistent detection of CD5 even when surface epitopes are not available.

The C-terminal domain of CD5 is also a key site for post-translational modifications, including phosphorylation events that regulate signaling activity and protein interactions. CD5 C-terminal antibody supports analysis of these modifications by enabling detection of the region where signaling regulation occurs. This makes it particularly useful for studies focused on activation-dependent signaling changes, intracellular pathway modulation, and immune cell response dynamics.

In western blot and intracellular staining applications, CD5 C-terminus antibody provides robust detection of CD5 in lysates and permeabilized cells, supporting analysis of total protein expression and intracellular localization. Its epitope specificity enhances detection reliability across experimental conditions where membrane integrity or extracellular epitope accessibility may vary.

This recombinant rabbit monoclonal antibody clone RM314 provides consistent recognition of the CD5 C-terminal region and supports reliable detection in research applications focused on intracellular signaling and immune regulation. Its defined epitope targeting improves experimental precision and reproducibility in signaling-focused studies.

Because the C-terminal domain of CD5 is central to its signaling function, CD5 C-terminal antibody is widely used in studies of T cell signaling, intracellular pathway regulation, phosphorylation-dependent modulation, and immune response control.

A full range of CD5 antibody reagents for immunohistochemistry, western blot, and flow cytometry is available on our CD5 Antibody collection page.

Application Notes

The stated application concentrations are suggested starting points. Titration of the CD5 Antibody C-Terminus / CD5 C-Terminal Antibody may be required due to differences in protocols and secondary/substrate sensitivity.

Immunogen

A peptide corresponding to the C-terminus of human CD5 was used as the immunogen for the recombinant CD5 antibody.

Storage

Store the recombinant CD5 antibody at -20oC.

Alternate Names

CD5 C-terminal antibody, CD5 C terminus antibody, CD5 intracellular domain antibody, CD5 cytoplasmic tail antibody, CD5 C terminal epitope antibody

Cross
Bulk Quote Request Form
Name*:
Organization*:
Email*:
Phone Number*:
Catalog No.*:
Comments and Specifics(amount, formulation, etc.)*:
Validation code: Captchapackage Image


Can't read the image? click here to refresh.
    *required field

Your bulk quote request has been submitted successfully!

Please contact us if you have any questions.