• Tel: 858.663.9055
  • SeparatorEmail: info@nsjbio.com
  • Tel: 858.663.9055
  • Email: info@nsjbio.com
Home >> Antibodies >> Recombinant CD45 Antibody / C-Terminal

Recombinant CD45 Antibody / C-Terminal [clone RM291] (R20310)

  Catalog No Formulation Size Price (USD)  
Image R20310-0.1ML Antibody in PBS with 50% glycerol, 1% BSA and 0.09% sodium azide 100 ul 439
Microvalidated Recrabbitmono
Bulk quote request
Western blot testing of human Jurkat cell lysate using recombinant CD45 antibody at a 1:2000 dilution. Expected molecular weight: 147-220 kDa depending on glycosylation level.
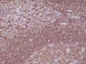
IHC staining of formalin fixed and paraffin embedded human tonsil tissue with recombinant CD45 antibody at a 1:200 dilution. HIER: steam section in pH6 citrate buffer for 20 min and allow to cool prior to testing.
Availability 1-3 business days
Species Reactivity Human
Format Purified
Host Rabbit
Clonality Recombinant Rabbit Monoclonal
Isotype Rabbit IgG
Clone Name RM291
Purity Protein A purified from animal origin-free supernatant
UniProt P08575
Localization Cell membrane, cytoplasm
Applications Immunohistochemistry (FFPE) : 1:100-1:200
Western Blot : 1:1000-1:2000
Limitations This recombinant CD45 antibody is available for research use only.
Review this product on BioCompare and get a $20 Amazon gift card

Related Products

Description

This antibody reacts to human CD45 (Receptor-type tyrosine-protein phosphatase C, PTPRC).

Application Notes

The stated application concentrations are suggested starting points. Titration of the recombinant CD45 antibody may be required due to differences in protocols and secondary/substrate sensitivity.

Immunogen

A peptide corresponding to the C-terminus of human CD45 (Receptor-type tyrosine-protein phosphatase C) was used as the immunogen for the recombinant CD45 antibody.

Storage

Store the recombinant CD45 antibody at -20oC.

Cross
Bulk Quote Request Form
Name*:
Organization*:
Email*:
Phone Number*:
Catalog No.*:
Comments and Specifics(amount, formulation, etc.)*:
Validation code: Captchapackage Image


Can't read the image? click here to refresh.
    *required field

Your bulk quote request has been submitted successfully!

Please contact us if you have any questions.