• Tel: 858.663.9055
  • SeparatorEmail: info@nsjbio.com
  • Tel: 858.663.9055
  • Email: info@nsjbio.com
Home >> Antibodies >> CD44v9 Antibody for IHC Cervical Cancer / Oxidative Stress Defense Marker Antibody

CD44v9 Antibody for IHC Cervical Cancer / Oxidative Stress Defense Marker Antibody [clone rCD44v9/1459] (V3573)

  Catalog No Formulation Size Price (USD)  
Image V3573-100UG 0.2 mg/ml in 1X PBS with 0.1 mg/ml BSA (US sourced) and 0.05% sodium azide 100 ug 559
Image
V3573-20UG 0.2 mg/ml in 1X PBS with 0.1 mg/ml BSA (US sourced) and 0.05% sodium azide 20 ug 259
Image
V3573SAF-100UG 1 mg/ml in 1X PBS; BSA free, sodium azide free 100 ug 559
Image
V3573IHC-7ML Prediluted in 1X PBS with 0.1 mg/ml BSA (US sourced) and 0.05% sodium azide; *For IHC use only* 7 ml 559
Microvalidated Recmousemono
Bulk quote request
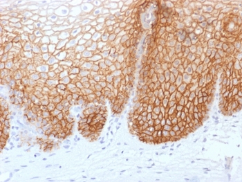
CD44v9 Antibody for IHC Cervical Cancer. Immunohistochemistry analysis of CD44 variant 9 / CD44 expression in FFPE human cervical carcinoma using recombinant mouse monoclonal antibody clone rCD44v9/1459. Strong membranous HRP-DAB brown staining is observed in malignant epithelial cells, outlining tumor nests and highlighting cell surface localization consistent with CD44v9-mediated adhesion and stress-adaptive signaling. The staining pattern supports its association with oxidative stress defense and survival of carcinoma cells within the tumor microenvironment. Heat induced epitope retrieval was performed by boiling tissue sections in pH 9 10mM Tris with 1mM EDTA for 10-20 min followed by cooling at RT for 20 min.
SDS-PAGE analysis of purified, BSA-free recombinant CD44v9 antibody (clone rCD44v9/1459) as confirmation of integrity and purity.
Availability 1-3 business days
Species Reactivity Human
Format Purified
Host Mouse
Clonality Recombinant Mouse Monoclonal
Isotype Mouse IgG1, kappa
Clone Name rCD44v9/1459
Purity Protein G affinity chromatography
UniProt P16070
Localization Cell surface, cytoplasmic
Applications Immunohistochemistry (FFPE) : 1-2ug/ml for 30 min at RT
Limitations This CD44v9 Antibody for IHC Cervical Cancer / Oxidative Stress Defense Marker Antibody is available for research use only.
Review this product on BioCompare and get a $20 Amazon gift card

Related Products

Description

CD44 antigen (CD44) is a transmembrane glycoprotein belonging to the CD44 family of cell adhesion molecules, widely expressed on epithelial and hematopoietic cells where it mediates interactions with hyaluronic acid and regulates cell survival, adhesion, and microenvironmental signaling. CD44v9 Antibody for IHC Cervical Cancer is designed to detect the variant 9-containing isoform of CD44 in formalin-fixed, paraffin-embedded tissues, supporting immunohistochemistry-based evaluation of cervical carcinoma and related epithelial malignancies. CD44v9 expression is frequently observed in malignant epithelial cells, where it contributes to tumor cell adaptation within the cervical tumor microenvironment, particularly under conditions of metabolic and oxidative stress.

CD44 antibody, also known as CD44 antigen antibody, CD44 variant 9 antibody, CD44v9 IHC antibody, or Hermes antigen antibody, recognizes alternatively spliced isoforms with distinct biological functions, with CD44v9 specifically associated with cellular defense mechanisms against oxidative stress. In cervical carcinoma, CD44v9 expression has been linked to stabilization of membrane transport systems involved in redox balance, supporting intracellular glutathione maintenance and protection against reactive oxygen species. Recombinant mouse monoclonal antibody clone rCD44v9/1459 is designed to detect CD44v9 with specificity in tissue sections, enabling visualization of tumor cell populations that exhibit enhanced resistance to oxidative injury.

Functionally, CD44v9 contributes to tumor cell survival by promoting resistance to environmental and therapeutic stressors, including hypoxia and treatment-induced oxidative damage. Its expression is often enriched in subsets of carcinoma cells that persist under adverse conditions, reflecting a role in sustaining malignant populations during disease progression. In immunohistochemistry applications, CD44v9 staining typically presents as a membranous pattern in carcinoma cells, allowing clear visualization of tumor architecture and identification of stress-adapted subpopulations within cervical tumor tissue. This CD44v9 Antibody for IHC Cervical Cancer is particularly suited for examining tumor cell survival pathways and adaptive responses in epithelial malignancies.

Beyond oxidative stress regulation, CD44v9 also participates in adhesion-mediated signaling and tumor-microenvironment interactions that support continued tumor growth and persistence. Its localization at the cell surface facilitates engagement with extracellular matrix components and coordination of intracellular signaling pathways relevant to tumor maintenance. Detection of CD44v9 expression in cervical carcinoma tissue provides insight into the biological state of tumor cells and their capacity to withstand metabolic and oxidative challenges within the tumor microenvironment.

Structurally, CD44 is encoded on chromosome 11p13 and consists of an extracellular ligand-binding domain, a transmembrane region, and a cytoplasmic tail that interacts with cytoskeletal and signaling proteins. The variant 9 sequence arises through alternative splicing within the extracellular domain, imparting isoform-specific functional properties related to stress response and cell survival. CD44 isoforms are broadly expressed but show context-dependent regulation, with CD44v9 being enriched in tumor cell populations exhibiting adaptive and stress-resistant phenotypes. An antibody targeting CD44v9 is suitable for detecting variant-specific expression in cervical carcinoma and related research applications involving oxidative stress and tumor biology.

This CD44v9 antibody is part of a broader CD44 antibody panel offered by NSJ Bioreagents.

Application Notes

The concentration stated for each application is a general starting point. Variations in protocols, secondaries and substrates may require the CD44v9 Antibody for IHC Cervical Cancer / Oxidative Stress Defense Marker Antibody to be titered up or down for optimal performance.

1. The prediluted format is supplied in a dropper bottle and is optimized for use in IHC. After epitope retrieval step (if required), drip mAb solution onto the tissue section and incubate at RT for 30 min.

Immunogen

An amino acid sequence from the variant 9 domain of CD44 was used as the immunogen for the recombinant CD44v9 antibody.

Storage

Store the CD44v9 antibody at 2-8oC (with azide) or aliquot and store at -20oC or colder (without azide).

Alternate Names

CD44 variant 9 antibody, CD44v9 antibody, CD44 splice variant antibody, Hermes antigen antibody, CD44 epithelial variant antibody

Cross
Bulk Quote Request Form
Name*:
Organization*:
Email*:
Phone Number*:
Catalog No.*:
Comments and Specifics(amount, formulation, etc.)*:
Validation code: Captchapackage Image


Can't read the image? click here to refresh.
    *required field

Your bulk quote request has been submitted successfully!

Please contact us if you have any questions.