• Tel: 858.663.9055
  • SeparatorEmail: info@nsjbio.com
  • Tel: 858.663.9055
  • Email: info@nsjbio.com
Home >> Antibodies >> CD44 Antibody for WB Human Samples / Human Tissue and Cell Line Detection Antibody

CD44 Antibody for WB Human Samples / Human Tissue and Cell Line Detection Antibody [clone rHCAM/918] (V8251)

  Catalog No Formulation Size Price (USD)  
Image V8251-100UG 0.2 mg/ml in 1X PBS with 0.1 mg/ml BSA (US sourced) and 0.05% sodium azide 100 ug 559
Image
V8251-20UG 0.2 mg/ml in 1X PBS with 0.1 mg/ml BSA (US sourced) and 0.05% sodium azide 20 ug 259
Image
V8251SAF-100UG 1 mg/ml in 1X PBS; BSA free, sodium azide free 100 ug 559
Microvalidated Recmousemono
Bulk quote request
CD44 Antibody Human Cell Line WB. Western blot analysis of CD44 / CD44 antigen expression in human HeLa cell lysate using recombinant mouse monoclonal antibody clone rHCAM/918. A band is detected at approximately 75-85 kDa, consistent with the predicted molecular weight of CD44 (CD44 / CD44 antigen). CD44 is a glycosylated transmembrane protein, and the observed band reflects the core protein with minor variation due to glycosylation of the extracellular domain.
CD44 Antibody Tonsil IHC. Immunohistochemistry staining of FFPE human tonsil tissue with recombinant CD44 antibody (clone rHCAM/918). HIER: boil tissue sections in pH 9 10mM Tris with 1mM EDTA for 20 min and allow to cool before testing.
CD44 Antibody Cervix IHC. Immunohistochemistry staining of FFPE human cervix tissue with recombinant CD44 antibody (clone rHCAM/918). HIER: boil tissue sections in pH 9 10mM Tris with 1mM EDTA for 20 min and allow to cool before testing.
SDS-PAGE analysis of purified, BSA-free recombinant CD44 antibody (clone rHCAM/918) as confirmation of integrity and purity.
CD44 Antibody Human Tissue WB. Western blot analysis of CD44 / CD44 antigen expression in human tissue lysates using recombinant mouse monoclonal antibody clone rHCAM/918. Lanes include human kidney, lung, pancreas, skin, and cultured cell lines. Bands are detected at approximately 80-95 kDa, consistent with the predicted molecular weight of CD44, with variation in intensity reflecting tissue-dependent expression levels and glycosylation status.
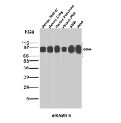
CD44 Antibody Human Multi-Tissue WB. Western blot analysis of CD44 / CD44 antigen expression across multiple human tissue lysates using recombinant mouse monoclonal antibody clone rHCAM/918. Bands are detected within the 75-100 kDa range, consistent with CD44 molecular weight and glycosylation-dependent migration. The pattern demonstrates variable expression across tissues, supporting its use for comparative human protein analysis.
Availability 1-3 business days
Species Reactivity Human
Format Purified
Host Mouse
Clonality Recombinant Mouse Monoclonal
Isotype Mouse IgG1, kappa
Clone Name rHCAM/918
Purity Protein G affinity chromatography
UniProt P16070
Applications Western Blot : 1-2ug/ml
Flow Cytometry : 1-2ug/10^6 cells in 0.1ml
Immunofluorescence : 1-2ug/ml
Immunohistochemistry (FFPE) : 1-2ug/ml
Limitations This CD44 Antibody for WB Human Samples / Human Tissue and Cell Line Detection Antibody is available for research use only.
Review this product on BioCompare and get a $20 Amazon gift card

Related Products

Description

CD44 antigen (CD44), also known as homing cell adhesion molecule (HCAM), is a transmembrane glycoprotein that functions as a receptor for hyaluronic acid and mediates cell adhesion, migration, and extracellular matrix interactions. It is expressed on a wide range of epithelial and immune cells, where it contributes to cell surface communication and tissue organization. CD44 Antibody for WB Human Samples / Human Tissue and Cell Line Detection Antibody is designed to detect CD44 expression in western blot applications, with a focus on consistent detection in human-derived lysates. This positioning makes it particularly suitable for researchers working with human tissues and cell line models requiring reliable CD44 band identification.

CD44 antibody, also referred to as HCAM antibody or Hermes antigen antibody, recognizes a cell surface glycoprotein that undergoes substantial post-translational modification. In western blot analysis, CD44 is typically detected near its predicted core molecular weight, with variation in apparent migration reflecting differential glycosylation of the extracellular domain. Recombinant mouse monoclonal antibody clone rHCAM/918 demonstrates strong performance in tested human samples, supporting reproducible detection of CD44 across multiple human tissues and cell lines. Additional species reactivity may require independent validation where not directly supported by experimental data.

Functionally, CD44 mediates interactions with hyaluronic acid and other extracellular matrix components, supporting cellular adhesion and communication at the plasma membrane. In western blot applications, detection of CD44 provides insight into protein expression level, migration behavior, and sample-dependent variation in glycosylation. This CD44 Antibody for WB Human Samples is particularly suited for interpreting band patterns in human lysates and for comparing CD44 expression across normal and disease-associated samples.

CD44 expression is observed in multiple human tissue types, including epithelial and lymphoid compartments, where it contributes to tissue architecture and cell surface interaction. Detection in western blot supports comparative analysis of expression levels and molecular weight variation across tissues. The consistent performance of clone rHCAM/918 in tested human samples supports its use as a focused reagent for human CD44 protein analysis.

Structurally, CD44 consists of an extracellular ligand-binding domain, a transmembrane segment, and a cytoplasmic tail involved in intracellular signaling and cytoskeletal interactions. Alternative splicing generates multiple isoforms, while extracellular glycosylation contributes to the range of molecular weights observed by SDS-PAGE. An antibody targeting CD44 is suitable for detecting this glycoprotein in western blot and related protein analysis applications, with clone rHCAM/918 offering a strong option for human sample detection.

This CD44 antibody is part of a broader CD44 antibody panel offered by NSJ Bioreagents.

Application Notes

Optimal dilution of the CD44 Antibody for WB Human Samples / Human Tissue and Cell Line Detection Antibody should be determined by the researcher.

Immunogen

A recombinant full-length human CD44 protein was used as the immunogen for this recombinant CD44 antibody.

Storage

Store the CD44 antibody at 2-8oC (with azide) or aliquot and store at -20oC or colder (without azide).

Alternate Names

CD44 antibody, CD44 WB antibody, HCAM antibody, CD44 human sample antibody, Hermes antigen antibody

Cross
Bulk Quote Request Form
Name*:
Organization*:
Email*:
Phone Number*:
Catalog No.*:
Comments and Specifics(amount, formulation, etc.)*:
Validation code: Captchapackage Image


Can't read the image? click here to refresh.
    *required field

Your bulk quote request has been submitted successfully!

Please contact us if you have any questions.