• Tel: 858.663.9055
  • SeparatorEmail: info@nsjbio.com
  • Tel: 858.663.9055
  • Email: info@nsjbio.com
Home >> Antibodies >> CD40 Antibody Rabbit Monoclonal

CD40 Antibody Rabbit Monoclonal [clone C40/9225R] (V5525)

  Catalog No Formulation Size Price (USD)  
Image V5525-100UG 0.2 mg/ml in 1X PBS with 0.1 mg/ml BSA (US sourced), 0.05% sodium azide 100 ug 559
Image
V5525-20UG 0.2 mg/ml in 1X PBS with 0.1 mg/ml BSA (US sourced), 0.05% sodium azide 20 ug 259
Image
V5525SAF-100UG 1 mg/ml in 1X PBS; BSA free, sodium azide free 100 ug 559
Microvalidated Recrabbitmono
Bulk quote request
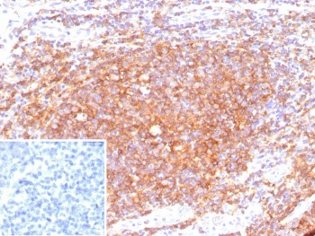
IHC analysis of CD40 Antibody in FFPE human tonsil tissue. The rabbit monoclonal antibody (clone C40/9225R) demonstrates strong membranous HRP-DAB brown staining in B lymphocytes within germinal centers and interfollicular regions, consistent with TNFRSF5 / CD40 expression, while surrounding stromal elements are largely negative. The inset shows PBS used in place of the primary antibody as a secondary-only negative control. Heat-induced epitope retrieval was performed in 10mM Tris with 1mM EDTA, pH 9.0, at 95oC for 20 minutes followed by cooling before testing.
SDS-PAGE analysis of purified, BSA-free recombinant CD40 antibody (clone C40/9225R) as confirmation of integrity and purity.
Availability 1-3 business days
Species Reactivity Human
Format Purified
Host Rabbit
Clonality Recombinant Rabbit Monoclonal
Isotype Rabbit IgG1, kappa
Clone Name C40/9225R
Purity Protein A/G affinity
UniProt P25942
Localization Cell Surface, Secreted
Applications Immunohistochemistry (FFPE) : 1-2ug/ml
Limitations This CD40 antibody is available for research use only.
Review this product on BioCompare and get a $20 Amazon gift card

Related Products

  • Applications : WB, IHC-P
    Reactivity : Human
    Recrabbitmono
  • Applications : IHC, WB
    Reactivity : Human
    Recmousemono
  • Applications : ELISA, FACS, IHC-P, WB
    Reactivity : Human
    Microvalidated
  • Applications : WB, ELISA
    Reactivity : Human
    Pred. Reactivity : Mouse, Pig
  • Applications : IF, FACS, IHC-P,
    Reactivity : Human
  • Applications : IF, FACS
    Reactivity : Human
  • Applications : IHC-P, FACS
    Reactivity : Human
  • Applications : FACS, IF
    Reactivity : Mouse
  • Applications : ELISA, IHC-P
    Reactivity : Human
  • Applications : WB
    Reactivity : Mouse
  • Applications : WB
    Reactivity : Human
  • Applications : WB, ELISA
    Reactivity : Human
    Pred. Reactivity : Mouse, Pig
  • Applications : WB, IHC-P, FACS, ELISA (protein)
    Reactivity : Human
  • Applications : WB, IHC-P, FACS, ELISA (protein)
    Reactivity : Human, Mouse
  • Applications : WB, ELISA
    Reactivity : Mouse, Rat

Description

CD40 Antibody recognizes CD40, a member of the tumor necrosis factor receptor superfamily encoded by the CD40 gene, that plays a central role in adaptive and innate immune responses. CD40 is expressed on B lymphocytes, dendritic cells, monocytes, macrophages, endothelial cells, and certain epithelial and tumor cells. CD40 Antibody is suitable for detecting CD40 expression in research applications involving immune activation, lymphoid biology, and tumor microenvironment studies.

CD40 antibody, also referred to as TNFRSF5 antibody and B cell surface antigen CD40 antibody in the literature, targets a type I transmembrane receptor that binds CD40 ligand (CD154). Engagement of CD40 by CD154 triggers downstream signaling cascades including NF-kappaB, MAPK, and PI3K pathways, promoting B cell proliferation, immunoglobulin class switching, dendritic cell maturation, and cytokine production. CD40 signaling is essential for germinal center formation and effective T cell-dependent humoral immune responses.

The CD40 gene is located on chromosome 20q13.12 and encodes a membrane glycoprotein containing multiple extracellular cysteine-rich domains characteristic of the TNF receptor superfamily. CD40 localizes predominantly to the plasma membrane and demonstrates membranous staining in B cells within lymphoid follicles and in antigen-presenting cells. Expression is prominent in tonsil, lymph node, spleen, and inflamed tissues.

Dysregulated CD40 signaling has been implicated in autoimmune disorders, chronic inflammatory diseases, and various malignancies including lymphomas and carcinomas. In histologic sections, CD40 typically exhibits membranous staining in lymphoid cells and certain tumor cells. Clone C40/9225R is a rabbit monoclonal antibody developed to recognize CD40 in experimental systems.

Application Notes

Optimal dilution of the CD40 antibody should be determined by the researcher.

Immunogen

Recombinant full-length human CD40 protein was used as the immunogen for the CD40 antibody.

Storage

Aliquot the CD40 antibody and store frozen at -20oC or colder. Avoid repeated freeze-thaw cycles.

Cross
Bulk Quote Request Form
Name*:
Organization*:
Email*:
Phone Number*:
Catalog No.*:
Comments and Specifics(amount, formulation, etc.)*:
Validation code: Captchapackage Image


Can't read the image? click here to refresh.
    *required field

Your bulk quote request has been submitted successfully!

Please contact us if you have any questions.