• Tel: 858.663.9055
  • SeparatorEmail: info@nsjbio.com
  • Tel: 858.663.9055
  • Email: info@nsjbio.com
Home >> Antibodies >> CD4 Antibody / T Cell Activation Marker Antibody

CD4 Antibody / T Cell Activation Marker Antibody [clone rCD4/3930] (V8655)

  Catalog No Formulation Size Price (USD)  
Image V8655-100UG 0.2 mg/ml in 1X PBS with 0.1 mg/ml BSA (US sourced) and 0.05% sodium azide 100 ug 559
Image
V8655-20UG 0.2 mg/ml in 1X PBS with 0.1 mg/ml BSA (US sourced) and 0.05% sodium azide 20 ug 259
Image
V8655SAF-100UG 1 mg/ml in 1X PBS; BSA free, sodium azide free 100 ug 559
Microvalidated Recmousemono
Bulk quote request
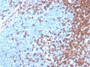
CD4 Antibody for IHC. Analysis of CD4 antibody staining in FFPE human tonsil tissue shows strong membranous labeling of CD4-positive T helper lymphocytes within interfollicular regions and surrounding lymphoid follicles, highlighting T cell-rich zones within lymphoid tissue. This T Cell Activation Marker Antibody (clone rCD4/3930) demonstrates robust detection of activated T cell populations consistent with the functional role of CD4 in antigen-driven immune activation. Heat-induced epitope retrieval was performed by boiling tissue sections in pH 9 10 mM Tris with 1 mM EDTA for 20 minutes followed by cooling before testing.
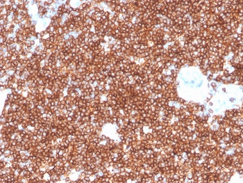
IHC staining of FFPE human lymph node with recombinant CD4 antibody. HIER: boil tissue sections in pH 9 10mM Tris with 1mM EDTA for 20 min and allow to cool before testing.
CD4 Antibody for IHC. Analysis of CD4 antibody staining in FFPE human lymph node tissue shows strong membranous labeling of CD4-positive T helper lymphocytes predominantly within paracortical regions, with relative sparing of B cell follicles, highlighting T cell-rich zones within lymphoid tissue. This T Cell Activation Marker Antibody (clone rCD4/3930) demonstrates clear detection of activated T cell populations consistent with CD4-mediated immune activation. Heat-induced epitope retrieval was performed by boiling tissue sections in pH 9 10 mM Tris with 1 mM EDTA for 20 minutes followed by cooling before testing.
SDS-PAGE analysis of purified, BSA-free recombinant CD4 antibody as confirmation of integrity and purity.
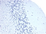
Negative control: IHC staining of FFPE human brain tissue with recombinant CD4 antibody. HIER: boil tissue sections in pH 9 10mM Tris with 1mM EDTA for 20 min and allow to cool before testing.
Western blot testing of human tonsil tissue with recombinant CD4 antibody (clone rCD4/3930). Expected molecular weight: 50-55 kDa.
Availability 1-3 business days
Species Reactivity Human
Format Purified
Host Mouse
Clonality Recombinant Mouse Monoclonal
Isotype Mouse IgG2a, kappa
Clone Name rCD4/3930
Purity Protein G affinity chromatography
UniProt P01730
Localization Cell surface
Applications Immunohistochemistry (FFPE) : 1-2ug/ml for 30 min at RT
Western Blot : 2-4ug/ml
Limitations This CD4 Antibody / T Cell Activation Marker Antibody is available for research use only.
Review this product on BioCompare and get a $20 Amazon gift card

Related Products

  • Applications : IHC-P, WB
    Reactivity : Human
    Recrabbitmono
    Microvalidated
  • Applications : FACS, IF
    Reactivity : Human
    Recmousemono
  • Applications : ELISA
    Reactivity : Human
    Microvalidated
  • Applications : ELISA
    Reactivity : Human
    Microvalidated
  • Applications : IHC-F, FACS
    Reactivity : Human
  • Applications : WB, ELISA
    Reactivity : Human
  • Applications : ELISA, FACS
    Reactivity : Human
  • Applications : Functional studies, FACS, IF
    Reactivity : Human
    Citation  Citations(13)
  • Applications : WB
    Reactivity : Human
    Pred. Reactivity : Rat
    Rab Mono Image
  • Applications : Functional Studies, FACS, IF
    Reactivity : Human
  • Applications : ELISA, Neutralization, FACS, IF
    Reactivity : Mouse
  • Applications : ELISA, FACS
    Reactivity : Human
  • Applications : IHC-P
    Reactivity : Human
  • Applications : WB, FACS, ELISA
    Reactivity : Human
  • Applications : WB, ELISA (peptide)
    Reactivity : Human
  • Applications : WB, IHC-P, FACS, Direct ELISA
    Reactivity : Mouse, Rat

Description

CD4 molecule (CD4) is a type I transmembrane glycoprotein expressed primarily on T helper lymphocytes, with additional expression on subsets of monocytes, macrophages, and dendritic cells, where it functions as a co-receptor for antigen recognition through interaction with major histocompatibility complex class II molecules. CD4 Antibody / T Cell Activation Marker Antibody is used to detect CD4-positive immune cells and supports analysis of T cell activation processes in immunological research systems where antigen-driven signaling is a central focus.

CD4 antibody, also known as T helper cell marker antibody or CD4 surface receptor antibody, is closely associated with activation-dependent signaling events in T lymphocytes. CD4 interacts with the T cell receptor complex and recruits intracellular kinases such as Lck, amplifying signaling cascades that lead to T cell activation, proliferation, and cytokine production. Detection of CD4-positive cells therefore provides direct insight into populations capable of responding to antigenic stimulation and participating in adaptive immune activation.

CD4 Antibody supports investigation of T cell activation by enabling identification of CD4-positive lymphocytes within heterogeneous immune populations. These cells play a central role in initiating and sustaining immune responses by producing cytokines that regulate downstream effector functions. Analysis of CD4 expression is therefore commonly used to assess immune activation status, evaluate signaling responses, and monitor functional changes in T cell populations under experimental conditions.

CD4 also contributes to stabilization of the immunological synapse between T cells and antigen-presenting cells, facilitating efficient signal transduction and coordinated activation. This functional role links CD4 expression directly to antigen-specific immune responses, making it a key marker for studying early activation events and signaling dynamics. CD4 Antibody targeting this receptor enables detailed analysis of activation-associated processes and supports studies of immune signaling pathways.

CD4 is localized to the plasma membrane, and its expression defines a major subset of T cells involved in immune activation and coordination. A CD4 antibody can be used in research applications to support detection of CD4-expressing lymphocytes, enabling investigation of T cell activation, signaling pathways, and functional immune responses in both normal physiology and disease models.

A full range of CD4 antibody reagents for immunohistochemistry, western blot, and flow cytometry is available on our CD4 Antibody collection page.

Application Notes

Optimal dilution of the CD4 Antibody / T Cell Activation Marker Antibody should be determined by the researcher.

Immunogen

A portion of amino acids 216-396 from the human protein was used as the immunogen for the recombinant CD4 antibody.

Storage

Store the recombinant CD4 antibody at 2-8oC (with azide) or aliquot and store at -20oC or colder (without azide).

Alternate Names

CD4 activation marker antibody, CD4 T cell activation antibody, CD4 immune activation antibody, CD4 signaling antibody

Cross
Bulk Quote Request Form
Name*:
Organization*:
Email*:
Phone Number*:
Catalog No.*:
Comments and Specifics(amount, formulation, etc.)*:
Validation code: Captchapackage Image


Can't read the image? click here to refresh.
    *required field

Your bulk quote request has been submitted successfully!

Please contact us if you have any questions.