• Tel: 858.663.9055
  • SeparatorEmail: info@nsjbio.com
  • Tel: 858.663.9055
  • Email: info@nsjbio.com
Home >> Antibodies >> CD4 Antibody / Immune Response Regulation Antibody

CD4 Antibody / Immune Response Regulation Antibody [clone CD4/8203R] (V4262)

  Catalog No Formulation Size Price (USD)  
Image V4262-100UG 0.2 mg/ml in 1X PBS with 0.1 mg/ml BSA (US sourced), 0.05% sodium azide 100 ug 559
Image
V4262-20UG 0.2 mg/ml in 1X PBS with 0.1 mg/ml BSA (US sourced), 0.05% sodium azide 20 ug 259
Image
V4262SAF-100UG 1 mg/ml in 1X PBS; BSA free, sodium azide free 100 ug 559
Microvalidated Recrabbitmono
Bulk quote request
CD4 Antibody for IHC. Analysis of CD4 antibody staining in FFPE human tonsil tissue shows membranous labeling of CD4-positive T helper lymphocytes concentrated in interfollicular regions surrounding lymphoid follicles, highlighting immune-regulatory cell distribution within lymphoid tissue. This Immune Response Regulation Antibody (clone CD4/8203R) demonstrates selective detection of CD4-expressing cells involved in coordinating immune signaling and maintaining immune balance. Heat-induced epitope retrieval was performed by boiling tissue sections in pH 9 10 mM Tris with 1 mM EDTA for 20 minutes followed by cooling before testing.
IHC staining of FFPE human tonsil tissue with recombinant CD4 antibody (clone CD4/8203R) at 2ug/ml. HIER: boil tissue sections in pH 9 10mM Tris with 1mM EDTA for 20 min and allow to cool before testing.
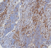
CD4 Antibody for IHC. Analysis of CD4 antibody staining in FFPE human bladder cancer tissue shows membranous labeling of CD4-positive T helper lymphocytes infiltrating tumor stroma and surrounding malignant epithelial cell nests, highlighting immune cell distribution within the tumor microenvironment. This Immune Response Regulation Antibody (clone CD4/8203R) demonstrates selective detection of CD4-expressing lymphocytes involved in regulating anti-tumor immune responses. Heat-induced epitope retrieval was performed by boiling tissue sections in pH 9 10 mM Tris with 1 mM EDTA for 20 minutes followed by cooling before testing.
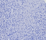
Negative control: IHC testing of FFPE human brain tissue with recombinant CD4 antibody (clone CD4/8203R) at 2ug/ml. HIER: boil tissue sections in pH 9 10mM Tris with 1mM EDTA for 20 min and allow to cool before testing.
SDS-PAGE analysis of purified, BSA-free recombinant CD4 antibody (clone CD4/8203R) as confirmation of integrity and purity.
Western blot testing of human tonsil tissue lysate with recombinant CD4 antibody. Expected molecular weight: 50-55 kDa.
Availability 1-3 business days
Species Reactivity Human
Format Purified
Host Rabbit
Clonality Recombinant Rabbit Monoclonal
Isotype Rabbit IgG, kappa
Clone Name CD4/8203R
Purity Protein A/G affinity
UniProt P01730
Localization Cell surface
Applications Immunohistochemistry (FFPE) : 1-2ug/ml for 30 minutes at RT
Western Blot : 2-4ug/ml
Limitations This CD4 Antibody / Immune Response Regulation Antibody is available for research use only.
Review this product on BioCompare and get a $20 Amazon gift card

Related Products

  • Applications : IHC-P, WB
    Reactivity : Human
    Recrabbitmono
    Microvalidated
  • Applications : FACS, IF
    Reactivity : Human
    Recmousemono
  • Applications : IHC-P, WB
    Reactivity : Human
    Recmousemono
  • Applications : ELISA
    Reactivity : Human
    Microvalidated
  • Applications : ELISA
    Reactivity : Human
    Microvalidated
  • Applications : IHC-F, FACS
    Reactivity : Human
  • Applications : WB, ELISA
    Reactivity : Human
  • Applications : ELISA, FACS
    Reactivity : Human
  • Applications : Functional studies, FACS, IF
    Reactivity : Human
    Citation  Citations(13)
  • Applications : WB
    Reactivity : Human
    Pred. Reactivity : Rat
    Rab Mono Image
  • Applications : Functional Studies, FACS, IF
    Reactivity : Human
  • Applications : ELISA, Neutralization, FACS, IF
    Reactivity : Mouse
  • Applications : ELISA, FACS
    Reactivity : Human
  • Applications : IHC-P
    Reactivity : Human
  • Applications : WB, FACS, ELISA
    Reactivity : Human
  • Applications : WB, ELISA (peptide)
    Reactivity : Human
  • Applications : WB, IHC-P, FACS, Direct ELISA
    Reactivity : Mouse, Rat

Description

CD4 molecule (CD4) is a cell surface glycoprotein expressed on T helper lymphocytes and additional immune cell populations, where it functions as a co-receptor for antigen recognition and contributes to regulation of adaptive immune responses. CD4 Antibody / Immune Response Regulation Antibody is used to detect CD4-positive cells and supports analysis of immune regulatory mechanisms mediated by T helper lymphocytes in complex biological systems.

CD4 antibody, also known as T helper cell marker antibody or CD4 surface receptor antibody, identifies a population of lymphocytes that play a central role in coordinating immune responses. CD4-positive T cells regulate immune activity through cytokine secretion, interaction with antigen-presenting cells, and modulation of other immune cell populations, including B cells and cytotoxic T lymphocytes. Detection of CD4 expression therefore provides insight into the regulatory architecture of the immune system.

CD4 Antibody supports investigation of immune response regulation by enabling analysis of CD4-positive T cell subsets involved in both activation and suppression of immune responses. These include helper T cell subsets that promote immune activation as well as regulatory T cell populations that contribute to immune tolerance and prevention of excessive inflammation. Analysis of CD4-positive cells is therefore essential for understanding immune balance and homeostasis.

CD4 participates in signaling pathways that influence T cell differentiation and functional specialization, including pathways that drive polarization into distinct helper T cell subsets. This functional diversity allows CD4-positive cells to orchestrate immune responses tailored to specific biological contexts. CD4 Antibody targeting this receptor enables detailed study of immune regulatory pathways and supports research into mechanisms underlying immune dysfunction.

CD4 is localized to the plasma membrane and serves as a defining feature of T helper lymphocytes within the immune system. A CD4 antibody can be used in research applications to support detection of CD4-expressing immune cells, enabling investigation of immune response regulation, cellular communication, and maintenance of immune system equilibrium.

A full range of CD4 antibody reagents for immunohistochemistry, western blot, and flow cytometry is available on our CD4 Antibody collection page.

Application Notes

Optimal dilution of the CD4 Antibody / Immune Response Regulation Antibody should be determined by the researcher.

Immunogen

A recombinant partial protein sequence (within amino acids 200-400) from the human protein was used as the immunogen for the recombinant CD4 antibody.

Storage

Aliquot the recombinant CD4 antibody and store frozen at -20oC or colder. Avoid repeated freeze-thaw cycles.

Alternate Names

CD4 immune regulation antibody, CD4 helper T cell antibody, CD4 cytokine signaling antibody, CD4 immune function antibody

Cross
Bulk Quote Request Form
Name*:
Organization*:
Email*:
Phone Number*:
Catalog No.*:
Comments and Specifics(amount, formulation, etc.)*:
Validation code: Captchapackage Image


Can't read the image? click here to refresh.
    *required field

Your bulk quote request has been submitted successfully!

Please contact us if you have any questions.