• Tel: 858.663.9055
  • SeparatorEmail: info@nsjbio.com
  • Tel: 858.663.9055
  • Email: info@nsjbio.com
Home >> Antibodies >> Recombinant CD31 Antibody

Recombinant CD31 Antibody [clone RM247] (R20268)

  Catalog No Formulation Size Price (USD)  
Image R20268-0.1ML Antibody in PBS with 50% glycerol, 1% BSA and 0.09% sodium azide 100 ul 439
Microvalidated Recrabbitmono
Bulk quote request
Western blot testing of human Jurkat cell lysate with recombinant CD31 antibody at 1:1000. Expected molecular weight: 83-130 kDa depending on level of glycosylation.
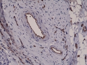
IHC testing of FFPE human breast cancer tissue with recombinant CD31 antibody at 1:2500.
Availability 1-3 business days
Species Reactivity Human
Format Purified
Host Rabbit
Clonality Recombinant Rabbit Monoclonal
Isotype Rabbit IgG
Clone Name RM247
Purity Protein A purified from animal origin-free supernatant
UniProt P16284
Gene ID 5175
Applications Immunohistochemistry (FFPE) : 1:1000-1:2500 (1)
Western Blot : 1:1000-1:2000
Limitations This recombinant CD31 antibody is available for research use only.
Review this product on BioCompare and get a $20 Amazon gift card

Related Products

Description

The Recombinant CD31 antibody is a recombinant reagent designed to detect CD31, also known as platelet endothelial cell adhesion molecule-1 (PECAM-1). CD31 is a 130-kDa transmembrane glycoprotein and a member of the immunoglobulin superfamily that is highly expressed on endothelial cells, platelets, and subsets of leukocytes. It plays an essential role in leukocyte transmigration, angiogenesis, and maintenance of vascular integrity. Because of its strong and consistent expression on vascular endothelium, CD31 is widely used as a marker for blood vessels in research and diagnostic pathology. The Recombinant CD31 antibody provides reliable and reproducible detection of PECAM-1 across multiple applications.

Structurally, CD31 contains six extracellular Ig-like domains, a single transmembrane region, and a cytoplasmic tail with immunoreceptor tyrosine-based inhibitory motifs (ITIMs). These domains mediate homophilic interactions between endothelial cells and heterophilic interactions with leukocytes, enabling cell adhesion and migration across the endothelium. CD31 signaling influences endothelial survival, vascular remodeling, and platelet activation. By targeting PECAM-1, the Recombinant CD31 antibody allows investigators to probe endothelial biology and immune cell trafficking in diverse settings.

In immunohistochemistry, the Recombinant CD31 antibody is widely applied to highlight endothelial cells, enabling visualization of blood vessels in normal and pathological tissues. It is a standard marker in tumor angiogenesis studies, where microvessel density can be correlated with prognosis and therapeutic response. In immunofluorescence, the antibody reveals fine vascular networks, facilitating studies of vascular patterning and integrity. In western blotting, the Recombinant CD31 antibody detects PECAM-1 protein in tissue lysates, providing confirmation of expression. Recombinant production ensures lot-to-lot consistency, improving reproducibility compared with hybridoma-derived antibodies.

The Recombinant CD31 antibody is especially valuable in cancer research, where angiogenesis is a hallmark of tumor progression, and in cardiovascular research, where endothelial dysfunction contributes to atherosclerosis and thrombosis. It is also used in immunology to study leukocyte diapedesis during inflammation and infection. Synonym phrases such as recombinant PECAM-1 antibody, recombinant platelet endothelial cell adhesion molecule antibody, and recombinant vascular endothelial marker antibody expand accessibility for diverse users.

By delivering validated and reproducible detection, the Recombinant CD31 antibody strengthens studies of vascular biology, angiogenesis, and immune regulation. NSJ Bioreagents ensures strict quality control for this reagent, supporting reliable use in immunohistochemistry, immunofluorescence, and western blotting. With its specificity for PECAM-1, the Recombinant CD31 antibody is an indispensable tool for investigating vascular development, endothelial biology, and disease pathology.

Application Notes

The stated application concentrations are suggested starting points. Titration of the recombinant CD31 antibody may be required due to differences in protocols and secondary/substrate sensitivity.

1. A pH6 Citrate buffer or pH9 Tris/EDTA buffer HIER step is recommended for testing of FFPE tissue sections.

Immunogen

A peptide corresponding from the cytoplasmic domain of human CD31 was used as the immunogen for this recombinant CD31 antibody.

Storage

Store the recombinant CD31 antibody at -20oC (with glycerol) or aliquot and store at -20oC (without glycerol).

Cross
Bulk Quote Request Form
Name*:
Organization*:
Email*:
Phone Number*:
Catalog No.*:
Comments and Specifics(amount, formulation, etc.)*:
Validation code: Captchapackage Image


Can't read the image? click here to refresh.
    *required field

Your bulk quote request has been submitted successfully!

Please contact us if you have any questions.