• Tel: 858.663.9055
  • SeparatorEmail: info@nsjbio.com
  • Tel: 858.663.9055
  • Email: info@nsjbio.com
Home >> Antibodies >> Recombinant CD23 Antibody FCER2/4395R

Recombinant CD23 Antibody FCER2/4395R [clone FCER2/4395R] (V8470)

  Catalog No Formulation Size Price (USD)  
Image V8470-100UG 0.2 mg/ml in 1X PBS with 0.1 mg/ml BSA (US sourced) and 0.05% sodium azide 100 ug 559
Image
V8470-20UG 0.2 mg/ml in 1X PBS with 0.1 mg/ml BSA (US sourced) and 0.05% sodium azide 20 ug 259
Image
V8470SAF-100UG 1 mg/ml in 1X PBS; BSA free, sodium azide free 100 ug 559
Microvalidated Recrabbitmono
Bulk quote request
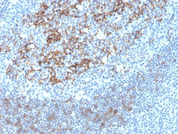
Immunohistochemistry of CD23 Antibody in human tonsil. FFPE human tonsil tissue was stained with recombinant CD23 antibody FCER2/4395R. Distinct membranous and focal cytoplasmic HRP-DAB brown staining is observed in B lymphocytes within germinal centers and mantle zones, consistent with known CD23 expression on mature follicular B cells. Surrounding T cell rich areas show minimal staining, supporting cell type specificity. Heat induced epitope retrieval was performed by boiling tissue sections in pH 9 Tris-EDTA buffer for 20 minutes followed by cooling prior to antibody incubation.
IHC staining of FFPE human tonsil with recombinant CD23 antibody (clone FCER2/4395R). HIER: boil tissue sections in pH 9 10mM Tris with 1mM EDTA for 20 min and allow to cool before testing.
Availability 1-3 business days
Species Reactivity Human
Format Purified
Host Rabbit
Clonality Recombinant Rabbit Monoclonal
Isotype Rabbit IgG
Clone Name FCER2/4395R
Purity Protein A affinity chromatography
UniProt P06734
Localization Cell surface
Applications Immunohistochemistry (FFPE) : 1-2ug/ml for 30 minutes at RT
Limitations This recombinant CD23 antibody is available for research use only.
Review this product on BioCompare and get a $20 Amazon gift card

Related Products

Description

Recombinant CD23 Antibody FCER2/4395R recognizes CD23, also known as Low affinity immunoglobulin epsilon Fc receptor or Fc epsilon receptor II, encoded by the FCER2 gene on chromosome 19p13.3. CD23 is a type II transmembrane glycoprotein and a member of the C-type lectin family, primarily expressed on mature B lymphocytes and certain activated immune cells. As the low affinity receptor for IgE, CD23 plays a central role in regulating IgE mediated immune responses and B cell function.

Structurally, CD23 contains a short N-terminal cytoplasmic domain, a single transmembrane region, and a large extracellular C-type lectin-like domain responsible for IgE binding. In addition to membrane bound CD23, a soluble form can be generated by proteolytic cleavage, allowing it to function in a cytokine-like manner. Through its interaction with IgE and CD21, CD23 participates in antigen presentation, regulation of IgE synthesis, and modulation of B cell activation and differentiation. CD23 is predominantly localized to the cell membrane, with possible cytoplasmic staining depending on processing and activation state.

In normal tissues, CD23 expression is most prominent on follicular B cells within lymphoid tissues such as tonsil, lymph node, and spleen. It is commonly detected in germinal centers and mantle zones, reflecting its role in humoral immune regulation. Because of this restricted expression pattern, CD23 antibody is widely used in research settings to study B cell biology and immune activation. CD23 detection is also valuable in the characterization of certain B cell lymphoproliferative disorders, where its expression profile contributes to immunophenotypic assessment.

Altered CD23 expression has been associated with allergic diseases, asthma, and specific B cell malignancies, including chronic lymphocytic leukemia. By targeting CD23 with high specificity, Recombinant CD23 Antibody FCER2/4395R provides a consistent reagent for detecting CD23 expression in relevant research applications focused on immunology and lymphoid tissue biology.

Application Notes

Optimal dilution of the recombinant CD23 antibody should be determined by the researcher.

Immunogen

A portion of amino acids 221-321 from the human protein was used as the immunogen for the recombinant CD23 antibody FCER2/4395R.

Storage

Store the recombinant CD23 antibody at 2-8oC (with azide) or aliquot and store at -20oC or colder (without azide).

Cross
Bulk Quote Request Form
Name*:
Organization*:
Email*:
Phone Number*:
Catalog No.*:
Comments and Specifics(amount, formulation, etc.)*:
Validation code: Captchapackage Image


Can't read the image? click here to refresh.
    *required field

Your bulk quote request has been submitted successfully!

Please contact us if you have any questions.