• Tel: 858.663.9055
  • SeparatorEmail: info@nsjbio.com
  • Tel: 858.663.9055
  • Email: info@nsjbio.com
Home >> Antibodies >> CD22 Antibody / B Cell Receptor Signaling Regulator Antibody

CD22 Antibody / B Cell Receptor Signaling Regulator Antibody [clone BLCAM/2637R] (V8594)

  Catalog No Formulation Size Price (USD)  
Image V8594-100UG 0.2 mg/ml in 1X PBS with 0.1 mg/ml BSA (US sourced) and 0.05% sodium azide 100 ug 559
Image
V8594-20UG 0.2 mg/ml in 1X PBS with 0.1 mg/ml BSA (US sourced) and 0.05% sodium azide 20 ug 259
Image
V8594SAF-100UG 1 mg/ml in 1X PBS; BSA free, sodium azide free 100 ug 559
Microvalidated Recrabbitmono
Bulk quote request
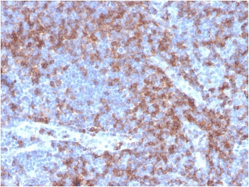
CD22 Antibody Human Tonsil IHC. Immunohistochemistry analysis of CD22/Siglec-2 expression in FFPE human tonsil tissue using recombinant CD22 Antibody / B Cell Receptor Signaling Regulator Antibody clone BLCAM/2637R. Strong HRP-DAB brown membranous and cytoplasmic staining is observed in germinal center and mantle zone B lymphocytes, highlighting dense B cell populations involved in antigen-driven immune responses, while surrounding stromal and non-lymphoid cells remain largely negative. The staining pattern reflects CD22 function as a regulator of B cell receptor signaling and supports use of this CD22 antibody for immunohistochemistry-based evaluation of B cell activation and signaling context in lymphoid tissues. Heat-induced epitope retrieval was performed in pH 9 Tris-EDTA buffer for 20 minutes followed by cooling prior to antibody incubation.
CD22 Antibody Human Spleen IHC. Immunohistochemistry analysis of CD22/Siglec-2 expression in FFPE human spleen tissue using CD22 Antibody / B Cell Receptor Signaling Regulator Antibody clone BLCAM/2637R. Strong HRP-DAB brown staining is localized to B lymphocyte-rich regions within the white pulp, with prominent membranous and cytoplasmic signal highlighting follicular B cell populations, while surrounding red pulp and non-lymphoid elements remain largely negative. The staining distribution is consistent with CD22-mediated regulation of B cell receptor signaling in splenic immune compartments and supports use of this CD22 antibody for immunohistochemistry-based assessment of lymphoid tissue organization and signaling context. Heat-induced epitope retrieval was performed in pH 9 Tris-EDTA buffer for 20 minutes followed by cooling prior to antibody incubation.
Availability 1-3 business days
Species Reactivity Human
Format Purified
Host Rabbit
Clonality Recombinant Rabbit Monoclonal
Isotype Rabbit IgG
Clone Name BLCAM/2637R
Purity Protein A affinity chromatography
UniProt P20273
Localization Cell surface
Applications Immunohistochemistry (FFPE) : 1-2ug/ml for 30 minutes at RT
Limitations This CD22 Antibody / B Cell Receptor Signaling Regulator Antibody is available for research use only.
Review this product on BioCompare and get a $20 Amazon gift card

Related Products

Description

CD22, also known as Siglec-2 and B-cell receptor CD22, is a B cell-restricted transmembrane glycoprotein encoded by the CD22 gene that serves as a critical regulator of B cell receptor signaling and immune tolerance. CD22 Antibody / B Cell Receptor Signaling Regulator Antibody (clone BLCAM/2637R) is uniquely positioned for studies focused on inhibitory signaling pathways that control B cell activation, providing a targeted approach for investigating mechanisms that maintain immune homeostasis. CD22 is predominantly expressed on mature B lymphocytes, including follicular and circulating B cells, where it functions to modulate signaling thresholds following antigen engagement.

CD22 antibody, also referred to as Siglec-2 antibody or B-cell receptor CD22 antibody in the literature, is widely used in studies examining negative regulation of immune signaling. CD22 contains intracellular motifs that become phosphorylated upon activation, enabling recruitment of phosphatases such as SHP-1 that attenuate downstream signaling cascades. This inhibitory function plays a central role in preventing excessive B cell activation and limiting inappropriate immune responses. As a result, CD22 serves as a key checkpoint in maintaining tolerance and preventing autoimmunity.

This CD22 antibody is particularly well suited for investigating signaling dynamics associated with B cell receptor engagement. CD22-mediated inhibition influences multiple downstream pathways, including calcium mobilization, kinase activation, and transcriptional responses that regulate B cell proliferation and differentiation. By modulating these pathways, CD22 ensures that B cell responses are proportional to antigen stimulation and remain tightly controlled within physiological limits.

The recombinant rabbit monoclonal format of clone BLCAM/2637R supports consistent and reproducible detection of CD22 in experimental systems designed to study signaling mechanisms. Reliable target recognition enables analysis of CD22 expression across different activation states, allowing researchers to examine how inhibitory signaling is regulated under both resting and stimulated conditions. This is particularly important for studies evaluating changes in receptor function during immune responses.

CD22 signaling is also highly relevant in disease contexts, particularly in autoimmune disorders where dysregulation of inhibitory pathways can lead to aberrant B cell activation. In addition, altered CD22 signaling has been implicated in hematologic malignancies, where disruption of regulatory mechanisms may contribute to tumor cell survival and proliferation. Understanding the role of CD22 in these processes provides valuable insight into disease mechanisms and potential therapeutic strategies.

Due to its central role in controlling B cell receptor signaling and maintaining immune balance, CD22 remains an essential target for studies of immune regulation and signaling networks. This CD22 antibody supports detailed investigation of inhibitory signaling pathways, enabling researchers to explore how B cell activation is modulated in both normal physiology and disease states.

This antibody is part of the broader CD22 antibody collection for studying B cell markers, immune regulation, and hematologic malignancies.

Application Notes

Optimal dilution of the CD22 Antibody / B Cell Receptor Signaling Regulator Antibody should be determined by the researcher.

Immunogen

A portion of amino acids 52-178 from the human protein was used as the immunogen for the recombinant CD22 antibody.

Storage

Store the recombinant CD22 antibody at 2-8oC (with azide) or aliquot and store at -20oC or colder (without azide).

Alternate Names

Siglec-2 antibody, B-cell receptor CD22 antibody, CD22 signaling antibody, B cell inhibitory receptor antibody, CD22 immune regulation antibody

Cross
Bulk Quote Request Form
Name*:
Organization*:
Email*:
Phone Number*:
Catalog No.*:
Comments and Specifics(amount, formulation, etc.)*:
Validation code: Captchapackage Image


Can't read the image? click here to refresh.
    *required field

Your bulk quote request has been submitted successfully!

Please contact us if you have any questions.