• Tel: 858.663.9055
  • SeparatorEmail: info@nsjbio.com
  • Tel: 858.663.9055
  • Email: info@nsjbio.com
Home >> Antibodies >> Recombinant CD20 Antibody

Recombinant CD20 Antibody [clone IGEL/4524R] (V8756)

  Catalog No Formulation Size Price (USD)  
Image V8756-100UG 0.2 mg/ml in 1X PBS with 0.1 mg/ml BSA (US sourced) and 0.05% sodium azide 100 ug 559
Image
V8756-20UG 0.2 mg/ml in 1X PBS with 0.1 mg/ml BSA (US sourced) and 0.05% sodium azide 20 ug 259
Image
V8756SAF-100UG 1 mg/ml in 1X PBS; BSA free, sodium azide free 100 ug 559
Microvalidated Recrabbitmono
Bulk quote request
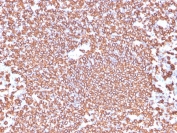
IHC testing of FFPE human tonsil tissue with recombinant CD20 antibody (clone IGEL/4524R). HIER: boil tissue sections in pH6, 10mM citrate buffer, for 20 min and allow to cool before testing.
IHC testing of FFPE human tonsil tissue with recombinant CD20 antibody (clone IGEL/4524R). HIER: boil tissue sections in pH6, 10mM citrate buffer, for 20 min and allow to cool before testing.
Availability 1-3 business days
Species Reactivity Human
Format Purified
Host Rabbit
Clonality Recombinant Rabbit Monoclonal
Isotype Rabbit IgG
Clone Name IGEL/4524R
Purity Protein A affinity chromatography
UniProt P11836
Localization Cell surface
Applications Immunohistochemistry (FFPE) : 1-2ug/ml for 30 minutes at RT
Limitations This recombinant CD20 antibody is available for research use only.
Review this product on BioCompare and get a $20 Amazon gift card

Related Products

  • Applications : IF, FACS, IHC-P, WB
    Reactivity : Human
    Recmousemono
    Microvalidated
  • Applications : FACS, IHC-P
    Reactivity : Human
    Recrabbitmono
  • Applications : IHC-P, FACS
    Reactivity : Human
    Recrabbitmono
  • Applications : WB, IHC
    Reactivity : Human
    Recrabbitmono
  • Applications : Functional studies, FACS, IF
    Reactivity : Human
    Citation  Citations(5)
  • Applications : FACS, IF
    Reactivity : Human. Other species not known.
    Citation  Citations(5)
  • Applications : WB, ELISA
    Reactivity : Human
  • Applications : WB, ELISA
    Reactivity : Human
  • Applications : FACS, IF, IHC-P
    Reactivity : Human
  • Applications : Functional studies, FACS, IF
    Reactivity : Human
    Citation  Citations(6)
  • Applications : FACS, IF, IHC-P
    Reactivity : Human
  • Applications : FACS, IF, IHC-P
    Reactivity : Human
  • Applications : FACS, IF, IHC-P
    Reactivity : Human
  • Applications : WB, IHC-P, IF, FACS
    Reactivity : Human
  • Applications : WB, IHC, ELISA (peptide)
    Reactivity : Human
  • Applications : WB, IHC, ELISA (peptide)
    Reactivity : Human
  • Applications : IHC-P
    Reactivity : Human

Description

Recognizes a protein of 30-33kDa, which is identified as CD20. It is a non-Ig differentiation antigen of B-cells and its expression is restricted to normal and neoplastic B-cells, being absent from all other leukocytes and tissues. CD20 is expressed by pre B-cells and persists during all stages of B-cell maturation but is lost upon terminal differentiation into plasma cells. This MAb can be used for immunophenotyping of leukemia and malignant cells, B lymphocyte detection in peripheral blood and B cell localization in tissues. It reacts with the majority of B-cells present in peripheral blood and lymphoid tissues and their derived lymphomas. In lymphoid tissue, germinal center blasts and B-immunoblasts are particularly reactive. It is a reliable antibody for ascribing a B-cell phenotype in known lymphoid tissues. Rarely, CD20-positive T-cell lymphomas have been reported. Reactivity has also been noted with Reed-Sternberg cells in cases of Hodgkin s disease, particularly of lymphocyte predominant type.

Application Notes

Optimal dilution of the recombinant CD20 antibody should be determined by the researcher.

Immunogen

A synthetic peptide from the C-terminal region of the human protein was used as the immunogen for the recombinant CD20 antibody.

Storage

Store the recombinant CD20 antibody at 2-8oC (with azide) or aliquot and store at -20oC or colder (without azide).

Cross
Bulk Quote Request Form
Name*:
Organization*:
Email*:
Phone Number*:
Catalog No.*:
Comments and Specifics(amount, formulation, etc.)*:
Validation code: Captchapackage Image


Can't read the image? click here to refresh.
    *required field

Your bulk quote request has been submitted successfully!

Please contact us if you have any questions.