• Tel: 858.663.9055
  • SeparatorEmail: info@nsjbio.com
  • Tel: 858.663.9055
  • Email: info@nsjbio.com
Home >> Antibodies >> Recombinant CD137 Antibody / 4-1BB / TNFRSF9

Recombinant CD137 Antibody / 4-1BB / TNFRSF9 [clone r4-1BB/4603] (V8636)

  Catalog No Formulation Size Price (USD)  
Image V8636-100UG 0.2 mg/ml in 1X PBS with 0.1 mg/ml BSA (US sourced) and 0.05% sodium azide 100 ug 559
Image
V8636-20UG 0.2 mg/ml in 1X PBS with 0.1 mg/ml BSA (US sourced) and 0.05% sodium azide 20 ug 259
Image
V8636SAF-100UG 1 mg/ml in 1X PBS; BSA free, sodium azide free 100 ug 559
Microvalidated Recmousemono
Bulk quote request
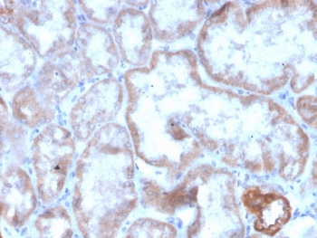
IHC staining of FFPE human kidney with recombinant CD137 antibody (clone r4-1BB/4603). HIER: boil tissue sections in pH 9 10mM Tris with 1mM EDTA for 20 min and allow to cool before testing.
SDS-PAGE analysis of purified, BSA-free recombinant CD137 antibody (clone r4-1BB/4603) as confirmation of integrity and purity.
Availability 1-3 business days
Species Reactivity Human
Format Purified
Host Mouse
Clonality Recombinant Mouse Monoclonal
Isotype Mouse IgG2a, kappa
Clone Name r4-1BB/4603
Purity Protein G affinity chromatography
UniProt Q07011
Localization Cell surface
Applications Immunohistochemistry (FFPE) : 2-4ug/ml for 30 minutes at RT
Limitations This recombinant CD137 antibody is available for research use only.
Review this product on BioCompare and get a $20 Amazon gift card

Related Products

Description

CD137 belongs to the tumor necrosis factor receptor family and delivers a costimulatory signal to T lymphocytes. It is expressed on activated T cells and binds an inducible ligand that is found on B cells, macrophages and dendritic cells. Interactions between CD137 and its ligand are involved in antigen presentation and the generation of cytotoxic T cells. CD137 antibody may improve cancer treatment, and has been implicated in breast cancer, melanoma and lymphoma.

Application Notes

Optimal dilution of the recombinant CD137 antibody should be determined by the researcher.

Immunogen

A portion of amino acids 19-188 from the human protein was used as the immunogen for the recombinant CD137 antibody.

Storage

Store the recombinant CD137 antibody at 2-8oC (with azide) or aliquot and store at -20oC or colder (without azide).

Cross
Bulk Quote Request Form
Name*:
Organization*:
Email*:
Phone Number*:
Catalog No.*:
Comments and Specifics(amount, formulation, etc.)*:
Validation code: Captchapackage Image


Can't read the image? click here to refresh.
    *required field

Your bulk quote request has been submitted successfully!

Please contact us if you have any questions.