• Tel: 858.663.9055
  • SeparatorEmail: info@nsjbio.com
  • Tel: 858.663.9055
  • Email: info@nsjbio.com
Home >> Antibodies >> Recombinant CCNE1 Antibody / Cyclin E1

Recombinant CCNE1 Antibody / Cyclin E1 [clone CCNE1/4935R] (V9178)

  Catalog No Formulation Size Price (USD)  
Image V9178-100UG 0.2 mg/ml in 1X PBS with 0.1 mg/ml BSA (US sourced), 0.05% sodium azide 100 ug 559
Image
V9178-20UG 0.2 mg/ml in 1X PBS with 0.1 mg/ml BSA (US sourced), 0.05% sodium azide 20 ug 259
Image
V9178SAF-100UG 1 mg/ml in 1X PBS; BSA free, sodium azide free 100 ug 559
Microvalidated Recrabbitmono
Bulk quote request
Western blot testing of human HCT-116 cell lysate using recombinant CCNE1 antibody (clone CCNE1/4935R). Predicted molecular weight ~47 kDa.
IHC staining of FFPE human endometrium with recombinant CCNE1 antibody (clone CCNE1/4935R). HIER: boil tissue sections in pH 9 10mM Tris with 1mM EDTA for 20 min and allow to cool before testing.
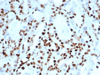
IHC staining of FFPE human ovarian carcinoma tissue with recombinant CCNE1 antibody (clone CCNE1/4935R). HIER: boil tissue sections in pH 9 10mM Tris with 1mM EDTA for 20 min and allow to cool before testing.
SDS-PAGE analysis of purified, BSA-free recombinant CCNE1 antibody (clone CCNE1/4935R) as confirmation of integrity and purity.
Western blot testing of human HCT-116 cell lysate using recombinant CCNE1 antibody (clone CCNE1/4935R). Predicted molecular weight ~47 kDa.
Availability 1-3 business days
Species Reactivity Human
Format Purified
Host Rabbit
Clonality Recombinant Rabbit Monoclonal
Isotype Rabbit IgG
Clone Name CCNE1/4935R
Purity Protein A/G affinity
UniProt IDP24864
Localization Nuclear
Applications Western Blot : 1-2ug/ml
Immunohistochemistry (FFPE) : 1-2ug/ml
Limitations This recombinant CCNE1 antibody is available for research use only.
Review this product on BioCompare and get a $20 Amazon gift card

Related Products

Description

Cyclin E belongs to the highly conserved cyclin family, whose members exhibit distinct expression and degradation patterns which contribute to the temporal coordination of each mitotic event. Cyclins function as regulators of CDK kinases. Cyclin E forms a complex with and functions as a regulatory subunit of CDK2, whose activity is required for cell cycle G1/S transition. Cyclin E accumulates at the G1-S phase boundary and is degraded as cells progress through S phase. Cyclin E overexpression has been observed in many tumors, which results in chromosome instability, and thus may contribute to tumorigenesis.

Application Notes

Optimal dilution of the recombinant CCNE1 antibody should be determined by the researcher.

Immunogen

A portion of amino acids 10-176 was used as the immunogen for the recombinant CCNE1 antibody.

Storage

Aliquot the recombinant CCNE1 antibody and store frozen at -20oC or colder. Avoid repeated freeze-thaw cycles.

Cross
Bulk Quote Request Form
Name*:
Organization*:
Email*:
Phone Number*:
Catalog No.*:
Comments and Specifics(amount, formulation, etc.)*:
Validation code: Captchapackage Image


Can't read the image? click here to refresh.
    *required field

Your bulk quote request has been submitted successfully!

Please contact us if you have any questions.