• Tel: 858.663.9055
  • SeparatorEmail: info@nsjbio.com
  • Tel: 858.663.9055
  • Email: info@nsjbio.com
Home >> Antibodies >> Catenin Beta Antibody for FACS / CTNNB1 Flow Cytometry Antibody

Catenin Beta Antibody for FACS / CTNNB1 Flow Cytometry Antibody [clone rCTNNB1/1507] (V8478)

  Catalog No Formulation Size Price (USD)  
Image V8478-100UG 0.2 mg/ml in 1X PBS with 0.1 mg/ml BSA (US sourced) and 0.05% sodium azide 100 ug 559
Image
V8478-20UG 0.2 mg/ml in 1X PBS with 0.1 mg/ml BSA (US sourced) and 0.05% sodium azide 20 ug 259
Image
V8478SAF-100UG 1 mg/ml in 1X PBS; BSA free, sodium azide free 100 ug 559
Microvalidated Recmousemono
Bulk quote request
Catenin Beta Antibody HeLa Cell FACS. Flow cytometry analysis of PFA-fixed human HeLa cells using Catenin Beta Antibody (clone rCTNNB1/1507) shows a clear rightward shift of the blue population relative to the red isotype control, indicating specific detection of CTNNB1 / Catenin beta-1 expression. The fluorescence distribution supports intracellular localization consistent with beta-catenin presence in cytoplasmic and membrane-associated pools following fixation and permeabilization. Red represents isotype control and blue represents recombinant Catenin beta antibody staining.
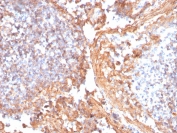
IHC staining of FFPE human tonsil with recombinant Catenin beta antibody (clone rCTNNB1/1507). HIER: boil tissue sections in pH 9 10mM Tris with 1mM EDTA for 20 min and allow to cool before testing.
SDS-PAGE analysis of purified, BSA-free recombinant Catenin beta antibody (clone rCTNNB1/1507) as confirmation of integrity and purity.
Availability 1-3 business days
Species Reactivity Human
Format Purified
Host Mouse
Clonality Recombinant Mouse Monoclonal
Isotype Mouse IgG1, kappa
Clone Name rCTNNB1/1507
Purity Protein G affinity chromatography
UniProt P35222
Localization Cell surface and cytoplasmic
Applications Flow Cytometry : 0.5-1ug/million cells
ELISA : order Ab without BSA for coating
Immunohistochemistry (FFPE) : 1-2ug/ml for 30 minutes at RT
Limitations This Catenin Beta Antibody for FACS / CTNNB1 Flow Cytometry Antibody is available for research use only.
Review this product on BioCompare and get a $20 Amazon gift card

Related Products

  • Applications : WB, IHC-P
    Reactivity : Human, Mouse, Rat
  • Applications : WB, IHC, IF, ELISA
    Reactivity : Human, Mouse
  • Applications : WB, IHC, ELISA
    Reactivity : Human, Mouse, Rat
  • Applications : WB, IHC, IF, ELISA
    Reactivity : Human, Mouse, Rat
    Pred. Reactivity : Bovine, Chicken, Hamster, Pig, Rat, Xenopus
  • Applications : WB, IF, IHC, FACS
    Reactivity : Human, Mouse, Rat
    Pred. Reactivity : Bovine, Chicken, Horse, Pig, Primate, Sheep, Xenopus
  • Applications : WB
    Reactivity : Human, Mouse, Rat, Monkey, Rabbit, Chicken, Dog
  • Applications : WB
    Reactivity : Human, Mouse, Rat, Primate, Dog
  • Applications : WB
    Reactivity : Human, Mouse, Rat, Monkey, Zebrafish, Chicken
  • Applications : WB, IHC-P
    Reactivity : Human
  • Applications : WB, IHC-P
    Reactivity : Human, Mouse, Rat
  • Applications : WB, IHC-P
    Reactivity : Human, Mouse, Rat
  • Applications : WB, ELISA
    Reactivity : Human
    Pred. Reactivity : Bovine, Chicken, Mouse, Pig, Primate, Rat, Xenopus
  • Applications : IF, WB, IHC, ELISA
    Reactivity : Human
    Pred. Reactivity : Mouse, Rat, Bovine, Pig, Primate, Chicken, Xenopus
  • Applications : WB, IHC, ELISA
    Reactivity : Human
    Pred. Reactivity : Bovine, Chicken, Drosophila, Hamster, Mouse, Pig, Rat, Xenopus
  • Applications : WB, ELISA
    Reactivity : Human
  • Applications : WB, ELISA
    Reactivity : Human
    Pred. Reactivity : Bovine, Mouse, Primate
  • Applications : WB, ELISA
    Reactivity : Human

Description

Beta-catenin (CTNNB1) is a multifunctional protein involved in both adherens junction stability and Wnt signaling, with intracellular localization that makes it well suited for detection by flow cytometry following fixation and permeabilization. The Catenin Beta Antibody for FACS enables analysis of CTNNB1 expression at the single-cell level, supporting population-based studies of signaling status, cellular heterogeneity, and protein distribution. CTNNB1 is encoded on chromosome 3p22.1 and belongs to the armadillo repeat protein family, characterized by multiple interaction domains that mediate binding to cadherins, transcription factors, and regulatory complexes.

The Catenin Beta Antibody for FACS, also referred to as Beta-catenin antibody and CTNNB1 antibody in the literature, recognizes a protein that is primarily localized to the cytoplasm and cell membrane under basal conditions, with redistribution occurring during signaling activation. In flow cytometry workflows, beta-catenin is detected intracellularly following fixation and permeabilization, allowing quantitative assessment across large cell populations. This approach is particularly valuable for identifying shifts in CTNNB1 levels associated with Wnt pathway activation, differentiation states, or oncogenic transformation.

This Catenin Beta Antibody for FACS is uniquely positioned for studies requiring high-throughput analysis of CTNNB1 expression across heterogeneous samples. In cancer cell populations, including epithelial-derived lines such as HeLa cells, beta-catenin expression can vary depending on signaling activity and cellular context. Flow cytometry enables detection of these differences through shifts in fluorescence intensity relative to controls, providing a robust readout of protein abundance and distribution at the single-cell level.

The recombinant mouse monoclonal rCTNNB1/1507 antibody supports consistent and specific detection of CTNNB1 in flow cytometry applications. Its performance enables clear separation between positive and control populations, supporting reliable gating and quantitative analysis. While beta-catenin is not a surface protein, intracellular staining strategies allow effective detection of its cytoplasmic and membrane-associated pools, making this antibody suitable for evaluating signaling-related changes in protein levels.

Alterations in CTNNB1 expression and regulation are associated with numerous cancers, including cervical carcinoma, colorectal cancer, and hepatocellular carcinoma, where dysregulated Wnt signaling leads to accumulation of beta-catenin. Flow cytometry-based detection provides a complementary approach to imaging and immunoblotting methods, enabling rapid and quantitative assessment across large sample sets. This antibody targets CTNNB1 for research applications requiring precise measurement of beta-catenin expression in flow cytometry assays.

This antibody complements our Beta-Catenin Antibody / CTNNB1 Antibody (clone CTNNB1/2030R) for broader analysis of CTNNB1 expression and localization.

Application Notes

Optimal dilution of the Catenin Beta Antibody for FACS / CTNNB1 Flow Cytometry Antibody should be determined by the researcher.

Immunogen

A recombinant human beta-Catenin (p120) protein fragment from the human protein was used as the immunogen for the recombinant Catenin beta antibody.

Storage

Store the Catenin beta antibody at 2-8oC (with azide) or aliquot and store at -20oC or colder (without azide).

Alternate Names

Beta-catenin FACS antibody, CTNNB1 flow cytometry antibody, Catenin beta-1 FACS antibody, Beta catenin flow cytometry antibody, CTNNB1 intracellular FACS antibody

Cross
Bulk Quote Request Form
Name*:
Organization*:
Email*:
Phone Number*:
Catalog No.*:
Comments and Specifics(amount, formulation, etc.)*:
Validation code: Captchapackage Image


Can't read the image? click here to refresh.
    *required field

Your bulk quote request has been submitted successfully!

Please contact us if you have any questions.