• Tel: 858.663.9055
  • SeparatorEmail: info@nsjbio.com
  • Tel: 858.663.9055
  • Email: info@nsjbio.com
Home >> Antibodies >> Recombinant Calretinin Antibody / Calbindin 2 / CALB2

Recombinant Calretinin Antibody / Calbindin 2 / CALB2 [clone RM324] (R20349)

  Catalog No Formulation Size Price (USD)  
Image R20349-0.1ML Antibody in PBS with 50% glycerol, 1% BSA and 0.09% sodium azide 100 ul 439
Microvalidated Recrabbitmono
Bulk quote request
Western blot testing of human A431 cell lysate with recombinant Calretinin antibody at 1:2000. Predicted molecular weight ~29 kDa.
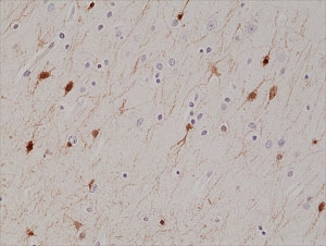
IHC staining of FFPE human brain tissue with recombinant Calretinin antibody at 1:1000.
Availability 1-3 business days
Species Reactivity Human
Format Purified
Host Rabbit
Clonality Recombinant Rabbit Monoclonal
Isotype Rabbit IgG
Clone Name RM324
Purity Protein A purified from animal origin-free supernatant
UniProt P22676
Applications Immunohistochemistry (FFPE) : 1:500-1:1000
Western Blot : 1:2000-1:4000
Limitations This recombinant Calretinin antibody is available for research use only.
Review this product on BioCompare and get a $20 Amazon gift card

Related Products

Description

This antibody reacts to human Calretinin.

Application Notes

The stated application concentrations are suggested starting points. Titration of the recombinant Calretinin antibody may be required due to differences in protocols and secondary/substrate sensitivity.

Immunogen

A peptide corresponding to N-terminus of human Calretinin was used as the immunogen for the recombinant Calretinin antibody.

Storage

Store the recombinant Calretinin antibody at -20oC.

Cross
Bulk Quote Request Form
Name*:
Organization*:
Email*:
Phone Number*:
Catalog No.*:
Comments and Specifics(amount, formulation, etc.)*:
Validation code: Captchapackage Image


Can't read the image? click here to refresh.
    *required field

Your bulk quote request has been submitted successfully!

Please contact us if you have any questions.