• Tel: 858.663.9055
  • SeparatorEmail: info@nsjbio.com
  • Tel: 858.663.9055
  • Email: info@nsjbio.com
Home >> Antibodies >> Recombinant Cadherin 2 Antibody / CDH2 / N-Cadherin

Recombinant Cadherin 2 Antibody / CDH2 / N-Cadherin [clone CDH2/7070R] (V9544)

  Catalog No Formulation Size Price (USD)  
Image V9544-100UG 0.2 mg/ml in 1X PBS with 0.1 mg/ml BSA (US sourced), 0.05% sodium azide 100 ug 559
Image
V9544-20UG 0.2 mg/ml in 1X PBS with 0.1 mg/ml BSA (US sourced), 0.05% sodium azide 20 ug 259
Image
V9544SAF-100UG 1 mg/ml in 1X PBS; BSA free, sodium azide free 100 ug 559
Microvalidated Recrabbitmono
Bulk quote request
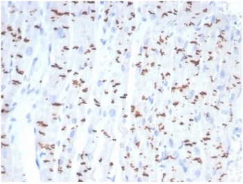
IHC staining of FFPE human heart tissue with recombinant Cadherin 2 antibody (clone CDH2/7070R). HIER: boil tissue sections in pH 9 10mM Tris with 1mM EDTA for 20 min and allow to cool before testing.
IHC staining of FFPE human heart tissue with recombinant Cadherin 2 antibody (clone CDH2/7070R). HIER: boil tissue sections in pH 9 10mM Tris with 1mM EDTA for 20 min and allow to cool before testing.
SDS-PAGE analysis of purified, BSA-free recombinant Cadherin 2 antibody (clone CDH2/7070R) as confirmation of integrity and purity.
Availability 1-3 business days
Species Reactivity Human
Format Purified
Host Rabbit
Clonality Recombinant Rabbit Monoclonal
Isotype Rabbit IgG
Clone Name CDH2/7070R
Purity Protein A/G affinity
UniProt P19022
Localization Cell surface, Cytoplasmic
Applications Immunohistochemistry (FFPE) : 1-2ug/ml
Limitations This recombinant Cadherin 2 antibody is available for research use only.
Review this product on BioCompare and get a $20 Amazon gift card

Related Products

Description

Recognizes a protein of ~140kDa, identified as N-Cadherin (NCAD), also known as CD325, Cadherin 2 and CDH2. CDH2 is a member of the Cadherin superfamily, and consists of five extracellular repeats, a transmembrane domain and a cytoplasmic domain. CDH2 deficient mice die at day 10 of gestation and embryos display major heart defects and malformed neural tubes and somites. Consistent with this, the protein has been implicated in several aspects of cardiac development including the precardiac mesoderm, establishment of left-right symmetry and cardiac looping morphogenesis. Furthermore, CDH2 is normally involved in inducing cell cycle arrest and its expression is frequently deregulated in cancer cells. Studies have linked N-cadherin to cancer metastasis by showing the aggressive tumor cells had preferentially turned on N-cadherin as opposed to E- or P-cadherin.

Application Notes

Optimal dilution of the recombinant Cadherin 2 antibody should be determined by the researcher.

Immunogen

Recombinant full-length human protein was used as the immunogen for the recombinant Cadherin 2 antibody.

Storage

Aliquot the recombinant Cadherin 2 antibody and store frozen at -20oC or colder. Avoid repeated freeze-thaw cycles.

Cross
Bulk Quote Request Form
Name*:
Organization*:
Email*:
Phone Number*:
Catalog No.*:
Comments and Specifics(amount, formulation, etc.)*:
Validation code: Captchapackage Image


Can't read the image? click here to refresh.
    *required field

Your bulk quote request has been submitted successfully!

Please contact us if you have any questions.