• Tel: 858.663.9055
  • SeparatorEmail: info@nsjbio.com
  • Tel: 858.663.9055
  • Email: info@nsjbio.com
Home >> Antibodies >> Cadherin 16 Antibody / Multi-Species Kidney Reactivity Antibody

Cadherin 16 Antibody / Multi-Species Kidney Reactivity Antibody [clone rCDH16/1071] (V3587)

  Catalog No Formulation Size Price (USD)  
Image V3587-100UG 0.2 mg/ml in 1X PBS with 0.1 mg/ml BSA (US sourced) and 0.05% sodium azide 100 ug 559
Image
V3587-20UG 0.2 mg/ml in 1X PBS with 0.1 mg/ml BSA (US sourced) and 0.05% sodium azide 20 ug 259
Image
V3587SAF-100UG 1 mg/ml in 1X PBS; BSA free, sodium azide free 100 ug 559
Image
V3587IHC-7ML Prediluted in 1X PBS with 0.1 mg/ml BSA (US sourced) and 0.05% sodium azide; *For IHC use only* 7 ml 559
Microvalidated Recmousemono
Bulk quote request
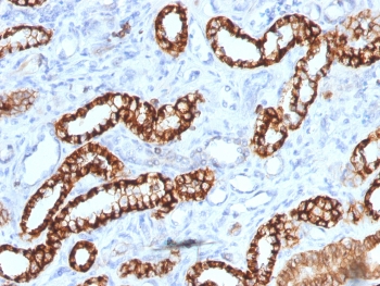
IHC testing of FFPE human renal cell carcinoma with Cadherin 16 antibody (clone rCDH16/1071). Required HIER: boil tissue sections in 10mM Tris with 1mM EDTA, pH 9, for 10-20 min followed by cooling at RT for 20 min.
Western blot testing of human kidney lysate with Cadherin 16 antibody (clone rCDH16/1071).
SDS-PAGE analysis of purified, BSA-free recombinant Cadherin 16 antibody (clone rCDH16/1071) as confirmation of integrity and purity.
Flow cytometry testing of human HEK293 cells with Cadherin 16 antibody (clone rCDH16/1071); Red=isotype control, Blue= Cadherin 16 antibody.
Cadherin 16 Antibody Multi-Species Kidney WB. Western blot analysis of Cadherin-16 / CDH16 expression across multi-species kidney tissue lysates using Cadherin 16 antibody clone rCDH16/1071. Lane 1: human kidney lysate, Lane 2: mouse kidney lysate, Lane 3: rat kidney lysate, Lane 4: hamster kidney lysate, Lane 5: guinea pig kidney lysate, Lane 6: rabbit kidney lysate. A band is detected at approximately 105-120 kDa, consistent with the predicted molecular weight of Cadherin-16 (CDH16), with the slightly higher apparent migration reflecting glycosylation of this kidney-restricted adhesion protein. The consistent signal across species supports the use of this clone for multi-species kidney reactivity studies and reflects conserved Cadherin-16 expression in renal epithelial tissue.
Cadherin 16 Antibody Kidney Tissue WB. Western blot analysis of Cadherin-16 / CDH16 expression in human kidney tissue lysate using Cadherin 16 antibody clone rCDH16/1071. Lane 1: human kidney lysate. A band is detected at approximately 100–110 kDa, consistent with the predicted molecular weight of Cadherin-16 (CDH16), with the slightly higher apparent migration reflecting glycosylation of this kidney-restricted adhesion protein. The strong signal in kidney tissue supports the use of this antibody for detecting CDH16 in renal epithelial cells and aligns with its role as a conserved kidney-specific marker.
Availability 1-3 business days
Species Reactivity Human, Mouse, Rat, Hamster, Rabbit, Guinea pig
Format Purified
Host Mouse
Clonality Recombinant Mouse Monoclonal
Isotype Mouse IgG1, kappa
Clone Name rCDH16/1071
Purity Protein G affinity chromatography
UniProt O75309
Localization Cell surface with some cytoplasmic
Applications Flow Cytometry : 1-2ug/million cells (Human)
Western Blot : 1-2ug/ml (Human/Mouse/Rat/Hamster/Rabbit/Guinea pig)
Immunohistochemistry (FFPE) : 1-2ug/ml for 30 min at RT (Human)
Limitations This Cadherin 16 Antibody / Multi-Species Kidney Reactivity Antibody is available for research use only.
Review this product on BioCompare and get a $20 Amazon gift card

Related Products

Description

Cadherin-16 (CDH16), also known as Ksp-Cadherin, is a kidney-restricted member of the cadherin superfamily that mediates calcium-dependent cell-cell adhesion in renal epithelial cells. Cadherin-16 (CDH16) is localized predominantly to the basolateral membrane of tubular epithelial cells, where it contributes to epithelial polarity, structural cohesion, and maintenance of nephron architecture. The Cadherin 16 Antibody / Multi-Species Kidney Reactivity Antibody is designed to detect this highly tissue-specific adhesion protein with consistent performance across multiple mammalian species, making it particularly well suited for comparative renal studies.

Cadherin 16 antibody, also referred to as CDH16 antibody and Ksp-Cadherin antibody in the literature, recognizes a transmembrane glycoprotein that exhibits highly restricted expression within the kidney, most prominently in distal tubules and collecting duct epithelium. A defining feature of this antibody is the robust and consistent detection of Cadherin-16 across kidney lysates from human, mouse, rat, hamster, guinea pig, and rabbit by western blot analysis. This uniform signal across species directly reflects the conserved expression of CDH16 in renal tissue and supports its use in experimental workflows that require reliable alignment between animal models and human kidney biology.

Structurally, Cadherin-16 contains multiple extracellular cadherin repeat domains that mediate calcium-dependent adhesion, a single transmembrane segment, and a cytoplasmic domain that participates in intracellular signaling and cytoskeletal organization. Compared to broadly expressed cadherins such as E-Cadherin and N-Cadherin, CDH16 displays a more restricted and specialized expression pattern, reflecting its functional role in renal epithelial compartments. The protein undergoes glycosylation, resulting in a slightly elevated apparent molecular weight on SDS-PAGE, a reproducible feature observed across kidney tissue lysates from multiple species and consistent with its membrane-associated glycoprotein nature.

Functionally, CDH16 plays a critical role in maintaining epithelial cohesion and polarity within kidney tubules, supporting tight intercellular junctions required for proper tubular structure and function. Its expression is closely associated with differentiated renal epithelial cells, making it a reliable marker for kidney-specific cell populations. The conserved detection of Cadherin-16 across species reinforces its importance in renal physiology and highlights its utility in studies of kidney development, epithelial differentiation, and tissue organization.

In addition to multi-species western blot validation, this antibody demonstrates clear staining in human kidney tissue by immunohistochemistry, where membranous localization highlights renal tubular epithelial cells with expected structural distribution. Detection by flow cytometry further supports its ability to recognize cell-surface CDH16 in relevant cellular contexts. The integration of cross-species biochemical detection with human tissue and cell-based validation strengthens confidence in its performance across experimental platforms.

Clone rCDH16/1071 is a recombinant mouse monoclonal antibody designed to recognize conserved epitopes within Cadherin-16, enabling reliable detection across species and assay types. This consistent multi-species kidney reactivity provides a clear differentiation for this Cadherin 16 antibody, making it particularly valuable for renal research, disease modeling, and translational studies that require dependable cross-system comparison of kidney-specific markers.

This antibody is part of a broader antibody panel offered by NSJ Bioreagents.

Application Notes

Optimal dilution of the Cadherin 16 Antibody / Multi-Species Kidney Reactivity Antibody to be determined by the researcher.

1. The prediluted format is supplied in a dropper bottle and is optimized for use in IHC. After epitope retrieval step (if required), drip mAb solution onto the tissue section and incubate at RT for 30 min.

Immunogen

Recombinant full length human protein was used as the immunogen for the recombinant Cadherin 16 antibody.

Storage

Store the Cadherin 16 antibody at 2-8oC (with azide) or aliquot and store at -20oC or colder (without azide).

Alternate Names

CDH16 antibody, Ksp-Cadherin antibody, Cadherin-16 antibody, CDH16 WB antibody, Ksp-Cadherin kidney antibody

Cross
Bulk Quote Request Form
Name*:
Organization*:
Email*:
Phone Number*:
Catalog No.*:
Comments and Specifics(amount, formulation, etc.)*:
Validation code: Captchapackage Image


Can't read the image? click here to refresh.
    *required field

Your bulk quote request has been submitted successfully!

Please contact us if you have any questions.