• Tel: 858.663.9055
  • SeparatorEmail: info@nsjbio.com
  • Tel: 858.663.9055
  • Email: info@nsjbio.com
Home >> Antibodies >> Recombinant Cadherin 16 Antibody / Rabbit Monoclonal

Recombinant Cadherin 16 Antibody / Rabbit Monoclonal [clone CDH16/1532R] (V7259)

  Catalog No Formulation Size Price (USD)  
Image V7259-100UG 0.2 mg/ml in 1X PBS with 0.1 mg/ml BSA (US sourced) and 0.05% sodium azide 100 ug 559
Image
V7259-20UG 0.2 mg/ml in 1X PBS with 0.1 mg/ml BSA (US sourced) and 0.05% sodium azide 20 ug 259
Image
V7259SAF-100UG 1 mg/ml in 1X PBS; BSA free, sodium azide free 100 ug 559
Image
V7259IHC-7ML Prediluted in 1X PBS with 0.1 mg/ml BSA (US sourced) and 0.05% sodium azide; *For IHC use only* 7 ml 559
Microvalidated Recrabbitmono
Bulk quote request
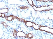
IHC testing of FFPE human renal cell carcinoma with recombinant Cadherin 16 antibody (clone CDH16/1532R). Required HIER: steam sections in 10mM Tris with 1mM EDTA, pH 9.0, for 10-20 min.
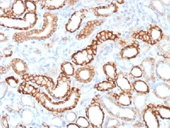
IHC testing of FFPE mouse kidney tissue with recombinant Cadherin 16 antibody (clone CDH16/1532R). Required HIER: steam sections in 10mM Tris with 1mM EDTA, pH 9.0, for 10-20 min.
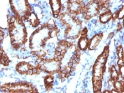
IHC testing of FFPE rat kidney tissue with recombinant Cadherin 16 antibody (clone CDH16/1532R). Required HIER: steam sections in 10mM Tris with 1mM EDTA, pH 9.0, for 10-20 min.
Western blot testing of human kidney lysate with recombinant Cadherin 16 antibody (clone CDH16/1532R). Expected molecular weight: 90~130 kDa.
Flow cytometry testing of human HEK293 cells with recombinant Cadherin 16 antibody (clone CDH16/1532R); Red=isotype control, Blue= recombinant Cadherin 16 antibody.
SDS-PAGE analysis of purified, BSA-free recombinant Cadherin 16 antibody (clone CDH16/1532R) as confirmation of integrity and purity.
Availability 1-3 business days
Species Reactivity Human, Mouse, Rat
Format Purified
Host Rabbit
Clonality Recombinant Rabbit Monoclonal
Isotype Rabbit IgG, kappa
Clone Name CDH16/1532R
Purity Protein A affinity chromatography
UniProt O75309
Localization Cell surface with some cytoplasmic
Applications Western Blot : 1-2ug/ml
Flow Cytometry : 1-2ug/10^6 cells
Immunohistochemistry (FFPE) : 0.5-1ug/ml for 30 min at RT
Limitations This recombinant Cadherin 16 antibody is available for research use only.
Review this product on BioCompare and get a $20 Amazon gift card

Related Products

Description

Cadherins form a superfamily of related glycoproteins that mediate calcium-dependent cell adhesion and transmit signals from the extracellular matrix to the cytoplasm. Cadherins have been implicated in embryogenesis, tissue morphogenesis, tissue structure maintenance, cell polarization, neoplastic invasiveness and metastasis, and membrane transport. It is suggested that CDH16 (kidney-specific cadherin, Cadherin 16) is a marker for terminal differentiation of the basolateral membranes of renal tubular epithelial cells. Within the kidney, CDH16 is found exclusively in the basolateral membrane of renal tubular epithelial cells and collecting duct cells, and not in glomeruli, renal interstitial cells, or blood vessels. CDH16 has been suggested to distinguish Chromophobe Renal-Cell Carcinoma from Oncocytoma.

Application Notes

Optimal dilution of the recombinant Cadherin 16 antibody to be determined by the researcher.

1. The prediluted format is supplied in a dropper bottle and is optimized for use in IHC. After epitope retrieval step (if required), drip mAb solution onto the tissue section and incubate at RT for 30 min.

Immunogen

Human protein was used as the immunogen for the recombinant Cadherin 16 antibody.

Storage

Store the recombinant Cadherin 16 antibody at 2-8oC (with azide) or aliquot and store at -20oC or colder (without azide).

Cross
Bulk Quote Request Form
Name*:
Organization*:
Email*:
Phone Number*:
Catalog No.*:
Comments and Specifics(amount, formulation, etc.)*:
Validation code: Captchapackage Image


Can't read the image? click here to refresh.
    *required field

Your bulk quote request has been submitted successfully!

Please contact us if you have any questions.