• Tel: 858.663.9055
  • SeparatorEmail: info@nsjbio.com
  • Tel: 858.663.9055
  • Email: info@nsjbio.com
Home >> Antibodies >> Recombinant Beta-2 Microglobulin Antibody

Recombinant Beta-2 Microglobulin Antibody [clone rB2M/7279] (V9431)

  Catalog No Formulation Size Price (USD)  
Image V9431-100UG 0.2 mg/ml in 1X PBS with 0.1 mg/ml BSA (US sourced), 0.05% sodium azide 100 ug 559
Image
V9431-20UG 0.2 mg/ml in 1X PBS with 0.1 mg/ml BSA (US sourced), 0.05% sodium azide 20 ug 259
Image
V9431SAF-100UG 1 mg/ml in 1X PBS; BSA free, sodium azide free 100 ug 559
Microvalidated Recmousemono
Bulk quote request
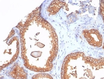
IHC staining of FFPE human prostate tissue with recombinant Beta-2 Microglobulin antibody (clone rB2M/7279). HIER: boil tissue sections in pH 9 10mM Tris with 1mM EDTA for 20 min and allow to cool before testing.
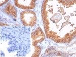
IHC staining of FFPE human prostate tissue with recombinant Beta-2 Microglobulin antibody (clone rB2M/7279). Negative control inset: PBS instead of primary antibody to control for secondary binding. HIER: boil tissue sections in pH 9 10mM Tris with 1mM EDTA for 20 min and allow to cool before testing.
Availability 1-3 business days
Species Reactivity Human
Format Purified
Host Mouse
Clonality Recombinant Mouse Monoclonal
Isotype Mouse IgG1, kappa
Clone Name rB2M/7279
Purity Protein A affinity
UniProt P61769
Localization Cell Surface, Extracellular (Secreted)
Applications Immunohistochemistry (FFPE) : 1-2ug/ml
Limitations This recombinant Beta-2 Microglobulin antibody is available for research use only.
Review this product on BioCompare and get a $20 Amazon gift card

Related Products

Description

Recognizes a protein of 12kDa, identified as beta-2 microglobulin. Major histocompatibility complex (MHC) class 1 molecules bind to antigens for presentation on the surface of cells. The proteasome is responsible for producing these antigens from the components of foreign pathogens. MHC class 1 molecules consist of an alpha heavy chain that contains three subdomains (alpha1, alpha2, alpha3) and a non-covalent associating light chain, known as beta-2-Microglobulin. Beta-2-Microglobulin associates with the alpha3 subdomain of the alpha heavy chain and forms an immunoglobulin domain-like structure that mediates proper folding and expression of MHC class 1 molecules. The alpha1 and alpha2 domains of the alpha heavy chain form the peptide antigen-binding cleft. Mutations in the beta-2-Microglobulin gene can enhance the progression of malignant melanoma phenotypes.

Application Notes

Optimal dilution of the recombinant Beta-2 Microglobulin antibody should be determined by the researcher.

Immunogen

Recombinant full-length human B2M protein was used as the immunogen for the recombinant Beta-2 Microglobulin antibody.

Storage

Aliquot the recombinant Beta-2 Microglobulin antibody and store frozen at -20oC or colder. Avoid repeated freeze-thaw cycles.

Cross
Bulk Quote Request Form
Name*:
Organization*:
Email*:
Phone Number*:
Catalog No.*:
Comments and Specifics(amount, formulation, etc.)*:
Validation code: Captchapackage Image


Can't read the image? click here to refresh.
    *required field

Your bulk quote request has been submitted successfully!

Please contact us if you have any questions.