• Tel: 858.663.9055
  • SeparatorEmail: info@nsjbio.com
  • Tel: 858.663.9055
  • Email: info@nsjbio.com
Home >> Antibodies >> Recombinant BCMA Antibody / CD269 / TNFRSF17

Recombinant BCMA Antibody / CD269 / TNFRSF17 [clone CD269/7986R] (V4423)

  Catalog No Formulation Size Price (USD)  
Image V4423-100UG 0.2 mg/ml in 1X PBS with 0.1 mg/ml BSA (US sourced), 0.05% sodium azide 100 ug 559
Image
V4423-20UG 0.2 mg/ml in 1X PBS with 0.1 mg/ml BSA (US sourced), 0.05% sodium azide 20 ug 259
Image
V4423SAF-100UG 1 mg/ml in 1X PBS; BSA free, sodium azide free 100 ug 559
Microvalidated Recrabbitmono
Bulk quote request
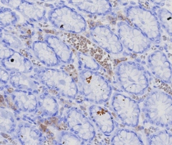
IHC staining of FFPE human stomach (corpus) with recombinant BCMA antibody (clone CD269/7986R). HIER: boil tissue sections in pH 9 10mM Tris with 1mM EDTA for 20 min and allow to cool before testing.
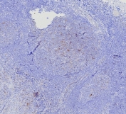
IHC staining of FFPE human tonsil tissue with recombinant BCMA antibody (clone CD269/7986R). HIER: boil tissue sections in pH 9 10mM Tris with 1mM EDTA for 20 min and allow to cool before testing.
Availability 1-3 business days
Species Reactivity Human
Format Purified
Host Rabbit
Clonality Recombinant Rabbit Monoclonal
Isotype Rabbit IgG, kappa
Clone Name CD269/7986R
Purity Protein A/G affinity
UniProt Q02223
Localization Cell surface
Applications ELISA (Order BSA-free Format For Coating) :
Immunohistochemistry (FFPE) : 1-2ug/ml for 30 minutes at RT
Limitations This recombinant BCMA antibody is available for research use only.
Review this product on BioCompare and get a $20 Amazon gift card

Related Products

Description

The B cell maturation protein (BCMA) is a type I integral membrane protein that belongs to the tumor necrosis factor receptor (TNF-R) superfamily. It is expressed as a 184 amino acid peptide that is expressed only in mature B-lymphocytes and is located on the cis part of the Golgi apparatus. BCMA shares significant homology with TACI (transmembrane activator) within the cysteine-rich domain. TACI has been shown to bind CAML, which induces activation of NFAT (nuclear factor of activated T cells). Both BCMA and TACI have been shown to bind APRIL and TALL-1, which stimulate B cell proliferation in conjunction with other B-cell activators. When overexpressed, TALL-1 stimulates the development of systemic lupus erythaematosus (SLE).

Application Notes

Optimal dilution of the recombinant BCMA antibody should be determined by the researcher.

Immunogen

A recombinant human protein fragment (within amino acids 1-184) was used as the immunogen for the recombinant BCMA antibody.

Storage

Aliquot the recombinant BCMA antibody and store frozen at -20oC or colder. Avoid repeated freeze-thaw cycles.

Cross
Bulk Quote Request Form
Name*:
Organization*:
Email*:
Phone Number*:
Catalog No.*:
Comments and Specifics(amount, formulation, etc.)*:
Validation code: Captchapackage Image


Can't read the image? click here to refresh.
    *required field

Your bulk quote request has been submitted successfully!

Please contact us if you have any questions.