- Tel: 858.663.9055
- 
									 Email: info@nsjbio.com Email: info@nsjbio.com
- Tel: 858.663.9055
- Email: info@nsjbio.com
 Email: info@nsjbio.com
Email: info@nsjbio.com
								Related Products
| 
 | 
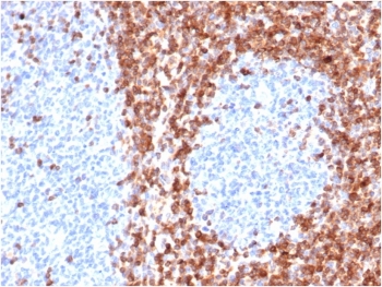
This antibody recognizes a protein of 25-26kDa, identified as the bcl-2 lpha oncoprotein. It shows no cross-reaction with Bcl-x or Bax protein. Expression ofbcl-2 lpha oncoprotein inhibits the programmed cell death (apoptosis). In most follicular lymphomas, neoplastic germinal centers express high levels of bcl-2 lpha protein, whereas the normal or hyperplastic germinal centers are negative. Consequently, this antibody is valuable when distinguishing between reactive and neoplastic follicular proliferation in lymph node biopsies. It may also be used in distinguishing between those follicular lymphomas that express bcl-2 protein and the small number in which the neoplastic cells are bcl-2 negative.
Optimal dilution of the recombinant Bcl-2 antibody should be determined by the researcher.
Amino acids 41-54 (GAAPAPGIFSSQPG) from the human protein were used as the immunogen for the recombinant Bcl-2 antibody.
Aliquot the recombinant Bcl-2 antibody and store frozen at -20oC or colder. Avoid repeated freeze-thaw cycles.
 
Your bulk quote request has been submitted successfully!
Please contact us if you have any questions.