• Tel: 858.663.9055
  • SeparatorEmail: info@nsjbio.com
  • Tel: 858.663.9055
  • Email: info@nsjbio.com
Home >> Antibodies >> Recombinant ATRX Antibody / RAD54

Recombinant ATRX Antibody / RAD54 [clone rATRX/3446] (V8409)

  Catalog No Formulation Size Price (USD)  
Image V8409-100UG 0.2 mg/ml in 1X PBS with 0.1 mg/ml BSA (US sourced) and 0.05% sodium azide 100 ug 559
Image
V8409-20UG 0.2 mg/ml in 1X PBS with 0.1 mg/ml BSA (US sourced) and 0.05% sodium azide 20 ug 259
Image
V8409SAF-100UG 1 mg/ml in 1X PBS; BSA free, sodium azide free 100 ug 559
Microvalidated Recmousemono
Bulk quote request
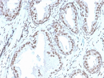
IHC staining of FFPE human prostate with recombinant ATRX antibody (clone rATRX/3446). HIER: boil tissue sections in pH 9 10mM Tris with 1mM EDTA for 20 min and allow to cool before testing.
SDS-PAGE analysis of purified, BSA-free recombinant ATRX antibody as confirmation of integrity and purity.
Availability 1-3 business days
Species Reactivity Human
Format Purified
Host Mouse
Clonality Recombinant Mouse Monoclonal
Isotype Mouse IgG1, kappa
Clone Name rATRX/3446
Purity Protein G affinity chromatography
UniProt P46100
Localization Nuclear
Applications Immunohistochemistry (FFPE) : 1-2ug/ml for 30 minutes at RT
Limitations This recombinant ATRX antibody is available for research use only.
Review this product on BioCompare and get a $20 Amazon gift card

Related Products

Description

Recombinant ATRX antibody detects ATRX, a chromatin remodeling protein encoded by the ATRX gene. ATRX belongs to the SWI/SNF family of helicase/ATPases and is involved in regulating gene expression, maintaining genomic stability, and shaping chromatin architecture. Mutations in ATRX are associated with developmental disorders and cancers, particularly gliomas and pancreatic neuroendocrine tumors. Because of its central role in chromatin regulation and disease, Recombinant ATRX antibody is widely applied in cancer biology, genetics, and epigenetics research.

ATRX contains an ATPase/helicase domain and an ADD domain that interacts with histone tails, linking chromatin remodeling to epigenetic signaling. It is essential for incorporation of histone variant H3.3 at telomeres and pericentric heterochromatin, maintaining structural integrity of repetitive regions. ATRX mutations can lead to loss of function, altered gene expression, and chromosomal instability, contributing to tumorigenesis and developmental syndromes such as ATR-X syndrome.

The Recombinant ATRX antibody clone rATRX/3446 provides reliable and consistent recognition. Recombinant technology ensures uniformity across production batches, an important factor in studies requiring reproducibility. Clone rATRX/3446 has been cited in peer-reviewed publications analyzing ATRX deficiency in tumors, telomere biology, and epigenetic regulation. Its applications include immunohistochemistry, immunoblotting, and chromatin studies.

Research using clone rATRX/3446 has demonstrated that ATRX loss correlates with the alternative lengthening of telomeres (ALT) phenotype in tumors, providing both diagnostic and prognostic insights. In developmental biology, ATRX disruption has been linked to intellectual disability and congenital anomalies. Studies employing this antibody have clarified how ATRX integrates chromatin remodeling with DNA repair and transcriptional regulation, advancing understanding of both normal physiology and pathology.

NSJ Bioreagents supplies this Recombinant ATRX antibody to support research in chromatin biology, epigenetics, and oncology. Alternate designations include alpha thalassemia mental retardation syndrome X-linked protein antibody, SWI/SNF family helicase ATRX antibody, ATR-X syndrome protein antibody, chromatin remodeler ATRX antibody, and histone variant H3.3 deposition factor antibody.

Application Notes

Optimal dilution of the recombinant ATRX antibody should be determined by the researcher.

Immunogen

Recombinant full-length human ATRX protein was used as the immunogen for the recombinant ATRX antibody.

Storage

Store the recombinant ATRX antibody at 2-8oC (with azide) or aliquot and store at -20oC or colder (without azide).

Cross
Bulk Quote Request Form
Name*:
Organization*:
Email*:
Phone Number*:
Catalog No.*:
Comments and Specifics(amount, formulation, etc.)*:
Validation code: Captchapackage Image


Can't read the image? click here to refresh.
    *required field

Your bulk quote request has been submitted successfully!

Please contact us if you have any questions.