• Tel: 858.663.9055
  • SeparatorEmail: info@nsjbio.com
  • Tel: 858.663.9055
  • Email: info@nsjbio.com
Home >> Antibodies >> Recombinant ATRX Antibody / RAD54

Recombinant ATRX Antibody / RAD54 [clone ATMRX-1R] (V3991)

  Catalog No Formulation Size Price (USD)  
Image V3991-100UG 0.2 mg/ml in 1X PBS with 0.1 mg/ml BSA (US sourced) and 0.05% sodium azide 100 ug 559
Image
V3991-20UG 0.2 mg/ml in 1X PBS with 0.1 mg/ml BSA (US sourced) and 0.05% sodium azide 20 ug 259
Image
V3991SAF-100UG 1 mg/ml in 1X PBS; BSA free, sodium azide free 100 ug 559
Image
V3991IHC-7ML Prediluted in 1X PBS with 0.1 mg/ml BSA (US sourced) and 0.05% sodium azide; *For IHC use only* 7 ml 559
Microvalidated Recrabbitmono
Bulk quote request
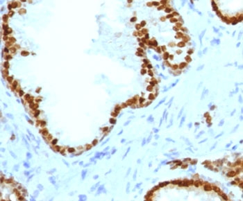
IHC staining of FFPE human prostate carcinoma with recombinant ATRX antibody (clone ATMRX-1R). HIER: boil tissue sections in 10mM Tris with 1mM EDTA buffer, pH 9, for 10-20 min followed by cooling at RT for 20 min.
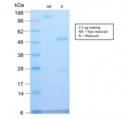
SDS-PAGE analysis of purified, BSA-free ATRX antibody (clone ATMRX-1R) as confirmation of integrity and purity.
Species Reactivity Human. Other species not known.
Format Purified
Host Rabbit
Clonality Recombinant Rabbit Monoclonal
Isotype Rabbit IgG, kappa
Clone Name ATMRX-1R
Purity Protein A affinity chromatography
UniProt P46100
Localization Nuclear
Applications IHC (FFPE) : 1-2ug/ml for 30 min at RT
Prediluted IHC Only Format : incubate for 30 min at RT (1)
Limitations This recombinant ATRX antibody is available for research use only.
Review this product on BioCompare and get a $20 Amazon gift card

Related Products

Description

The protein encoded by this gene contains an ATPase/helicase domain, and thus it belongs to the SWI/SNF family of chromatin remodeling proteins. This protein is found to undergo cell cycle-dependent phosphorylation, which regulates its nuclear matrix and chromatin association, and suggests its involvement in the gene regulation at interphase and chromosomal segregation in mitosis. Mutations in this gene are associated with X-linked syndromes exhibiting cognitive disabilities as well as alpha-thalassemia (ATRX) syndrome. These mutations have been shown to cause diverse changes in the pattern of DNA methylation, which may provide a link between chromatin remodeling, DNA methylation, and gene expression in developmental processes. Multiple alternatively spliced transcript variants encoding distinct isoforms have been reported. [RefSeq]

Application Notes

The concentration stated for each application is a general starting point. Variations in protocols, secondaries and substrates may require the recombinant ATRX antibody to be titered up or down for optimal performance.
1. The prediluted format is supplied in a dropper bottle and is optimized for use in IHC. After epitope retrieval step (if required), drip mAb solution onto the tissue section and incubate at RT for 30 min.

Immunogen

Recombinant human ATRX protein was used as the immunogen for this recombinant ATRX antibody.

Storage

Store the recombinant ATRX antibody at 2-8oC (with azide) or aliquot and store at -20oC or colder (without azide).

Cross
Bulk Quote Request Form
Name*:
Organization*:
Email*:
Phone Number*:
Catalog No.*:
Comments and Specifics(amount, formulation, etc.)*:
Validation code: Captchapackage Image


Can't read the image? click here to refresh.
    *required field

Your bulk quote request has been submitted successfully!

Please contact us if you have any questions.