• Tel: 858.663.9055
  • SeparatorEmail: info@nsjbio.com
  • Tel: 858.663.9055
  • Email: info@nsjbio.com
Home >> Antibodies >> Recombinant Androgen Receptor Antibody

Recombinant Androgen Receptor Antibody [clone DHTR/4445R] (V8882)

  Catalog No Formulation Size Price (USD)  
Image V8882-100UG 0.2 mg/ml in 1X PBS with 0.1 mg/ml BSA (US sourced), 0.05% sodium azide 100 ug 559
Image
V8882-20UG 0.2 mg/ml in 1X PBS with 0.1 mg/ml BSA (US sourced), 0.05% sodium azide 20 ug 259
Image
V8882SAF-100UG 1 mg/ml in 1X PBS; BSA free, sodium azide free 100 ug 559
Microvalidated Recrabbitmono
Bulk quote request
IHC staining of FFPE human prostate carcinoma tissue with recombinant Androgen Receptor antibody (clone clone DHTR/4445R). HIER: boil tissue sections in pH 9 10mM Tris with 1mM EDTA for 20 min and allow to cool before testing.
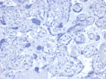
Negative control: IHC staining of FFPE human placental tissue with recombinant Androgen Receptor antibody (clone clone DHTR/4445R). HIER: boil tissue sections in pH 9 10mM Tris with 1mM EDTA for 20 min and allow to cool before testing.
SDS-PAGE analysis of purified, BSA-free recombinant Androgen Receptor antibody (clone DHTR/4445R) as confirmation of integrity and purity.
Availability 1-3 business days
Species Reactivity Human
Format Purified
Host Rabbit
Clonality Recombinant Rabbit Monoclonal
Isotype Rabbit IgG
Clone Name DHTR/4445R
Purity Protein A/G affinity
UniProt P10275
Localization Nucleus
Applications Immunohistochemistry (FFPE) : 1-2ug/ml
Limitations This recombinant Androgen Receptor antibody is available for research use only.
Review this product on BioCompare and get a $20 Amazon gift card

Related Products

Description

Androgen Receptor is a member of the superfamily of ligand responsive transcription regulators. The androgen receptor functions in the nucleus where it is believed to act as a transcriptional regulator mediating the action of male sex hormones.The androgen receptor has wide distribution and can be demonstrated by immunohistochemistry in several tissues including prostate, skin, and oral mucosa. Androgen receptor has been reported in a diverse range of human tumors including osteosarcoma, and in prostatic carcinoma androgen receptor expression may be of clinical relevance.Androgen Receptor is recommended for the detection of specific antigens of interest in normal and neoplastic tissues, as an adjunct to conventional histopathology using non-immunologic histochemical stains.

Application Notes

Optimal dilution of the recombinant Androgen Receptor antibody should be determined by the researcher.

Immunogen

A portion of amino acids 1-100 of Androgen Receptor protein was used as the immunogen for the recombinant Androgen Receptor antibody.

Storage

Aliquot the recombinant Androgen Receptor antibody and store frozen at -20oC or colder. Avoid repeated freeze-thaw cycles.

Cross
Bulk Quote Request Form
Name*:
Organization*:
Email*:
Phone Number*:
Catalog No.*:
Comments and Specifics(amount, formulation, etc.)*:
Validation code: Captchapackage Image


Can't read the image? click here to refresh.
    *required field

Your bulk quote request has been submitted successfully!

Please contact us if you have any questions.