• Tel: 858.663.9055
  • SeparatorEmail: info@nsjbio.com
  • Tel: 858.663.9055
  • Email: info@nsjbio.com
Home >> Antibodies >> Recombinant Anaplastic Lymphoma Kinase Antibody / ALK

Recombinant Anaplastic Lymphoma Kinase Antibody / ALK [clone ALK1/9660R] (V5626)

  Catalog No Formulation Size Price (USD)  
Image V5626-100UG 0.2 mg/ml in 1X PBS with 0.1 mg/ml BSA (US sourced), 0.05% sodium azide 100 ug 559
Image
V5626-20UG 0.2 mg/ml in 1X PBS with 0.1 mg/ml BSA (US sourced), 0.05% sodium azide 20 ug 259
Image
V5626SAF-100UG 1 mg/ml in 1X PBS; BSA free, sodium azide free 100 ug 559
Microvalidated Recrabbitmono
Bulk quote request
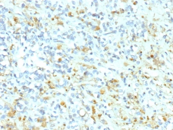
Anaplastic Lymphoma Kinase Antibody Ewing Sarcoma IHC. Immunohistochemistry staining of FFPE human Ewing sarcoma tissue using recombinant monoclonal clone ALK1/9660R demonstrates scattered granular cytoplasmic HRP-DAB brown staining within malignant small round tumor cells embedded in fibrous stromal tissue. The observed staining profile supports detection of Anaplastic Lymphoma Kinase / ALK-associated protein expression in sarcoma-derived neoplastic cellular populations and reinforces the role of ALK pathway signaling in oncogenic kinase biology research. HIER: boil tissue sections in pH 9 10mM Tris with 1mM EDTA for 20 min and allow to cool before testing.
SDS-PAGE analysis of purified, BSA-free recombinant Anaplastic Lymphoma Kinase antibody (clone ALK1/9660R) as confirmation of integrity and purity.
Availability 1-3 business days
Species Reactivity Human
Format Purified
Host Rabbit
Clonality Recombinant Rabbit Monoclonal
Isotype Rabbit IgG, kappa
Clone Name ALK1/9660R
Purity Protein A/G affinity
UniProt Q9UM73
Localization Cell membrane
Applications Immunohistochemistry (FFPE) : 1-2ug/ml
Limitations This recombinant Anaplastic Lymphoma Kinase antibody is available for research use only.
Review this product on BioCompare and get a $20 Amazon gift card

Related Products

Description

Anaplastic lymphoma kinase (ALK) is a receptor tyrosine kinase of the insulin receptor superfamily. ALK is typically expressed at low levels in regions of the developing central and peripheral nervous system. ALK may be activated in cancer through multiple mechanisms. The most common mechanism is through formation of a fusion protein from chromosomal translocations, as in the case of anaplastic large cell lymphoma (ALCL) and inflammatory myofibroblastic tumors. ALK may also be amplified through mutation, as in neuroblastomas. Various solid tumors, such as non-small cell lung carcinoma (NSCLC) and brain cancers were also found to aberrantly express ALK. ALK staining is present within both the nucleus and cytoplasm, and are positive in about 60% of ALCL. ALK protein expression by tumor cells is an independent prognostic factor that predicts a favorable outcome.

For additional ALK and oncogenic kinase research antibodies targeting fusion protein signaling, lung cancer biomarkers, and lymphoma-associated receptor tyrosine kinase pathways, explore the broader ALK Antibody page featuring recombinant rabbit monoclonal clone ALK1/6698R.

Application Notes

Optimal dilution of the recombinant Anaplastic Lymphoma Kinase antibody should be determined by the researcher.

Immunogen

Recombinant human ALK protein fragment corresponding to the cytoplasmic domain of the protein was used as the immunogen for the recombinant Anaplastic Lymphoma Kinase antibody.

Storage

Aliquot the recombinant Anaplastic Lymphoma Kinase antibody and store frozen at -20oC or colder. Avoid repeated freeze-thaw cycles.

Cross
Bulk Quote Request Form
Name*:
Organization*:
Email*:
Phone Number*:
Catalog No.*:
Comments and Specifics(amount, formulation, etc.)*:
Validation code: Captchapackage Image


Can't read the image? click here to refresh.
    *required field

Your bulk quote request has been submitted successfully!

Please contact us if you have any questions.