• Tel: 858.663.9055
  • SeparatorEmail: info@nsjbio.com
  • Tel: 858.663.9055
  • Email: info@nsjbio.com
Home >> Antibodies >> Actin Antibody / ACTA2 / Smooth Muscle Actin

Actin Antibody / ACTA2 / Smooth Muscle Actin [clone ACTA2/1614R] (V9420)

  Catalog No Formulation Size Price (USD)  
Image V9420-100UG 0.2 mg/ml in 1X PBS with 0.1 mg/ml BSA (US sourced), 0.05% sodium azide 100 ug 559
Image
V9420-20UG 0.2 mg/ml in 1X PBS with 0.1 mg/ml BSA (US sourced), 0.05% sodium azide 20 259
Image
V9420SAF-100UG 1 mg/ml in 1X PBS; BSA free, sodium azide free 100 559
Microvalidated Recrabbitmono
Bulk quote request
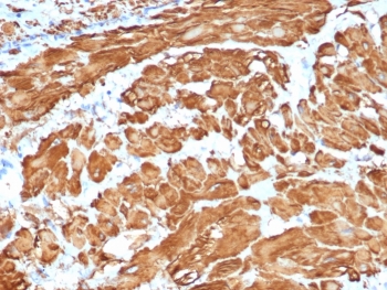
Immunohistochemistry analysis of Actin / ACTA2 antibody (clone ACTA2/1614R) in human skeletal muscle tissue. FFPE human skeletal muscle shows cytoplasmic HRP-DAB brown staining predominantly within smooth muscle elements associated with vascular structures, consistent with Alpha smooth muscle actin expression. Staining highlights vascular smooth muscle cells and perivascular regions, while skeletal muscle fibers themselves demonstrate minimal specific signal. Nuclei are counterstained blue. Heat induced epitope retrieval was performed by boiling tissue sections in 10 mM Tris with 1 mM EDTA, pH 9.0, for 20 minutes followed by cooling prior to immunostaining.
IHC staining of FFPE human uterus tissue with Actin (clone ACTA2/1614R). HIER: boil tissue sections in pH 9 10mM Tris with 1mM EDTA for 20 min and allow to cool before testing.
SDS-PAGE analysis of purified, BSA-free Actin antibody (clone ACTA2/1614R) as confirmation of integrity and purity.
Western blot testing of mouse NIH 3T3 cell and human kidney tissue lysate with recombinant Actin antibody.
Western blot testing of mouse NIH 3T3 cell lysate with recombinant Actin antibody.
Availability 1-3 business days
Species Reactivity Human
Format Purified
Host Rabbit
Clonality Recombinant Rabbit Monoclonal
Isotype Rabbit IgG, kappa
Clone Name ACTA2/1614R
Purity Protein A/G affinity
UniProt P62736
Localization Cytoplasmic
Applications Immunohistochemistry (FFPE) : 1-2ug/ml
Western Blot : 2-4ug/ml
Limitations This Actin antibody is available for research use only.
Review this product on BioCompare and get a $20 Amazon gift card

Related Products

Description

Actin antibody, also known as ACTA2 antibody, recognizes Alpha smooth muscle actin, a contractile cytoskeletal protein encoded by the human ACTA2 gene located on chromosome 10q23.31. Alpha smooth muscle actin is predominantly localized to the cytoplasm, where it polymerizes into filamentous actin fibers that contribute to contractile function and structural stability. As a member of the actin protein family, ACTA2 is specifically enriched in vascular smooth muscle cells and is widely used as a marker of smooth muscle differentiation and myofibroblast activation.

ACTA2 belongs to the alpha actin subfamily within the highly conserved actin family of proteins. It forms microfilaments that interact with myosin to generate contractile force. In normal physiology, Alpha smooth muscle actin is strongly expressed in vascular smooth muscle cells, uterine smooth muscle, and other contractile tissues, where it regulates vascular tone and supports tissue integrity. During wound healing and fibrotic responses, fibroblasts can differentiate into myofibroblasts characterized by increased ACTA2 expression and enhanced contractility.

Alterations in ACTA2 expression are associated with a range of pathological conditions. Germline mutations in ACTA2 are linked to familial thoracic aortic aneurysm and dissection, underscoring its importance in vascular wall maintenance. Elevated Alpha smooth muscle actin expression is also observed in fibrotic diseases and in the tumor microenvironment, where ACTA2-positive cancer-associated fibroblasts contribute to stromal remodeling and tumor progression. Because of its central role in contractile differentiation, Actin antibody is commonly used to identify smooth muscle cells and activated stromal components in tissue sections.

Actin antibody is suitable for detecting ACTA2 expression in studies of vascular biology, fibrosis, wound healing, and tumor stroma characterization. Recombinant monoclonal clone ACTA2/1614R is produced using defined expression systems to promote consistent performance and reproducibility in research applications.

Application Notes

Optimal dilution of the Actin antibody should be determined by the researcher.

Immunogen

Recombinant full-length human ACTA2 protein was used as the immunogen for the Actin antibody.

Storage

Aliquot the Actin antibody and store frozen at -20oC or colder. Avoid repeated freeze-thaw cycles.

Cross
Bulk Quote Request Form
Name*:
Organization*:
Email*:
Phone Number*:
Catalog No.*:
Comments and Specifics(amount, formulation, etc.)*:
Validation code: Captchapackage Image


Can't read the image? click here to refresh.
    *required field

Your bulk quote request has been submitted successfully!

Please contact us if you have any questions.