• Tel: 858.663.9055
  • SeparatorEmail: info@nsjbio.com
  • Tel: 858.663.9055
  • Email: info@nsjbio.com
Home >> Antibodies >> Recombinant ACTA2 Antibody / Alpha Actin / Smooth Muscle Actin

Recombinant ACTA2 Antibody / Alpha Actin / Smooth Muscle Actin [clone RM253] (R20272)

  Catalog No Formulation Size Price (USD)  
Image R20272-0.1ML Antibody in PBS with 50% glycerol, 1% BSA and 0.09% sodium azide 100 ul 439
Microvalidated Recrabbitmono
Bulk quote request
Western blot testing of mouse heart lysate with recombinant ACTA2 antibody at 1:1000. Predicted molecular weight ~42 kDa.
IHC testing of FFPE human heart tissue with recombinant ACTA2 antibody at 1:2500.
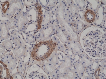
IHC testing of FFPE human kidney tissue with recombinant ACTA2 antibody at 1:2500.
Availability 1-3 business days
Species Reactivity Human, Mouse
Predicted Reactivity Bovine, Rat
Format Purified
Host Rabbit
Clonality Recombinant Rabbit Monoclonal
Isotype Rabbit IgG
Clone Name RM253
Purity Protein A purified from animal origin-free supernatant
UniProt P62736
Gene ID 59
Applications Immunohistochemistry (FFPE) : 1:1000-1:2500 (1)
Western Blot : 1:1000-1:2000
Limitations This recombinant ACTA2 antibody is available for research use only.
Review this product on BioCompare and get a $20 Amazon gift card

Related Products

Description

The Recombinant ACTA2 antibody is a recombinant reagent engineered to detect alpha actin, also known as smooth muscle actin or ACTA2. This protein is a highly conserved component of the actin cytoskeleton and is a defining marker of smooth muscle cells. Alpha actin is encoded by the ACTA2 gene and plays a critical role in regulating contractility, maintaining structural integrity, and supporting force transmission within smooth muscle tissues. Because of its strong association with smooth muscle phenotype, the Recombinant ACTA2 antibody is widely used in research and diagnostic pathology to identify smooth muscle cells and myofibroblasts.

Alpha actin belongs to the family of actin isoforms that are nearly identical in sequence but expressed in tissue-specific patterns. ACTA2 is primarily expressed in vascular smooth muscle, visceral smooth muscle, and myofibroblasts during wound healing and fibrosis. Within cells, alpha actin polymerizes into filamentous structures that anchor to adhesion complexes and contribute to the contractile apparatus. Disruption of ACTA2 function has been linked to vascular abnormalities, including thoracic aortic aneurysms and dissections. The Recombinant ACTA2 antibody provides highly specific recognition of this protein, supporting investigations of vascular biology and smooth muscle function.

In immunohistochemistry, the Recombinant ACTA2 antibody highlights smooth muscle layers in blood vessels, gastrointestinal tissues, and respiratory structures, making it a reliable tool for assessing tissue architecture. In tumor pathology, ACTA2 serves as a marker for distinguishing smooth muscle tumors such as leiomyosarcomas and for identifying myofibroblastic components in desmoplastic stroma. In immunofluorescence, the antibody reveals filamentous cytoplasmic staining characteristic of actin filaments in smooth muscle cells. In western blotting, it detects ACTA2 protein in tissue and cell lysates, providing a robust method for quantifying expression levels. Recombinant production ensures batch-to-batch reproducibility and eliminates variability often seen with hybridoma-derived antibodies.

The Recombinant ACTA2 antibody is particularly valuable in cardiovascular research, where smooth muscle contractility is central to vascular tone and blood pressure regulation. It is also important in fibrosis studies, as myofibroblasts expressing ACTA2 contribute to tissue scarring in organs such as the liver, lung, and kidney. Synonym terms such as recombinant smooth muscle actin antibody, recombinant alpha actin antibody, and recombinant ACTA2 cytoskeletal antibody expand accessibility for diverse users.

By providing validated and reproducible detection, the Recombinant ACTA2 antibody supports both basic and translational studies in vascular biology, fibrosis, and oncology. NSJ Bioreagents ensures strict quality control for this reagent, giving scientists confidence in its application across immunohistochemistry, immunofluorescence, and western blotting. With specificity for ACTA2, the Recombinant ACTA2 antibody is an indispensable tool for understanding smooth muscle function, cytoskeletal organization, and disease mechanisms.

Application Notes

The stated application concentrations are suggested starting points. Titration of the recombinant ACTA2 antibody may be required due to differences in protocols and secondary/substrate sensitivity.

1. A pH6 Citrate buffer or pH9 Tris/EDTA buffer HIER step is recommended for testing of FFPE tissue sections.

Immunogen

A peptide corresponding to the N-terminus of human alpha smooth muscle Actin was used as the immunogen for this recombinant ACTA2 antibody.

Storage

Store the recombinant ACTA2 antibody at -20oC (with glycerol) or aliquot and store at -20oC (without glycerol).

Cross
Bulk Quote Request Form
Name*:
Organization*:
Email*:
Phone Number*:
Catalog No.*:
Comments and Specifics(amount, formulation, etc.)*:
Validation code: Captchapackage Image


Can't read the image? click here to refresh.
    *required field

Your bulk quote request has been submitted successfully!

Please contact us if you have any questions.