• Tel: 858.663.9055
  • SeparatorEmail: info@nsjbio.com
  • Tel: 858.663.9055
  • Email: info@nsjbio.com
Home >> Antibodies >> Recombinant Acetyl Lysine Antibody

Recombinant Acetyl Lysine Antibody [clone RM101] (R20192)

  Catalog No Formulation Size Price (USD)  
Image R20192-100UG 1 mg/ml in PBS with 50% glycerol, 1% BSA and 0.09% sodium azide 100 ug 475
Microvalidated Recrabbitmono
Bulk quote request
ICC staining of human HeLa cells using recombinant Acetyl Lysine antibody (red). Actin filaments was labeled with fluorescein phalloidin (green), and nuclei stained with DAPI (blue).
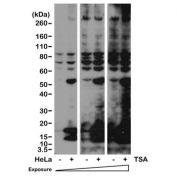
Western blot of human HeLa cells non-treated or treated with Trichostatin A (TSA) with recombinant Acetyl Lysine antibody at 1:2000.
IP of human A431 cell lysate with recombinant Acetyl Lysine antibody at 1:500 and probed with anti-PTEN mouse mAb.
The recombinant Acetyl Lysine antibody recognizes acetylated lysine in peptides with different sequences. It does not react with non-acetylated lysine.
The recombinant Acetyl Lysine antibody recognizes acetylated lysine in peptides with different sequences. It does not react with non-acetylated lysine.
Availability 1-3 business days
Species Reactivity All Species
Format Purified
Host Rabbit
Clonality Recombinant Rabbit Monoclonal
Isotype Rabbit IgG
Clone Name RM101
Purity Protein A purified from animal origin-free supernatant
Gene ID N/A
Applications Western Blot : 1:500 -1:2000 dilution
Immunoprecipitation : 1:100-1:500 dilution
Chromatin IP (ChIP) : 1:100-1:500 dilution
Immunocytochemistry : 1:100-1:500 dilution
Immunohistochemistry : 1:100-1:500 dilution (1)
Limitations This recombinant Acetyl Lysine antibody is available for research use only.
Review this product on BioCompare and get a $20 Amazon gift card

Description

This recombinant Acetyl Lysine antibody reacts to lysine-acetylated proteins. No cross reactivity with non-acetylated lysine, and lysine with other modification.

Application Notes

The stated application concentrations are suggested starting points. Titration of the recombinant Acetyl Lysine antibody may be required due to differences in protocols and secondary/substrate sensitivity.

1. A pH6 Citrate buffer or pH9 Tris/EDTA buffer HIER step is recommended for testing of FFPE tissue sections.

Immunogen

Acetyllysine-BSA was used as the immunogen for this recombinant Acetyl Lysine antibody.

Storage

Store the recombinant Acetyl Lysine antibody at -20oC (with glycerol) or aliquot and store at -20oC (without glycerol).

Cross
Bulk Quote Request Form
Name*:
Organization*:
Email*:
Phone Number*:
Catalog No.*:
Comments and Specifics(amount, formulation, etc.)*:
Validation code: Captchapackage Image


Can't read the image? click here to refresh.
    *required field

Your bulk quote request has been submitted successfully!

Please contact us if you have any questions.