• Tel: 858.663.9055
  • SeparatorEmail: info@nsjbio.com
  • Tel: 858.663.9055
  • Email: info@nsjbio.com
Home >> Antibodies >> Recombinant 5hmC Antibody

Recombinant 5hmC Antibody [clone RM236] (R20246)

  Catalog No Formulation Size Price (USD)  
Image R20246-50UG 1 mg/ml in PBS with 50% glycerol, 1% BSA and 0.09% sodium azide 50 ug 530
Microvalidated Recrabbitmono
Bulk quote request
ELISA of single stranded DNA using recombinant 5hmC antibody. The plate was coated with streptavidin and then biotinylated single stranded unmethylated DNA, 5-Methylcytosine (5mC) DNA, and 5-Hydroxymethylcytosine (5hmC) DNA. A serial dilution of RM236 mAb was used as the primary, and an anti-rabbit IgG AKP secondary.
Direct ELISA of mouse brain genomic DNA using recombinant 5hmC antibody. The plate was directly coated with different concentrations of genomic DNA isolated from mouse brain tissue. 1 ug/ml or 3 ug/ml of RM236 mAb was used as the primary, and an anti-rabbit IgG HRP secondary.
hMeDIP was performed using recombinant 5hmC antibody at a 10:1 DNA:Ab ratio. 1 ng of unmethylated, 5-Methylcytosine (5mC) or 5-Hydroxymethylcytosine (5hmC) DNA standard (897 bp) was spiked in 1ug of genomic DNA isolated from HeLa cells as the control. Realtime PCR was then performed to determine the capture of DNA standard as in % of input.
Dot blot of double stranded DNA using recombinant 5hmC antibody. The membrane was pre-spotted with 50, 5, and 0.5 ng/dot of double stranded 5-Hydroxymethylcytosine (5hmC) DNA, 5-Methylcytosine (5mC) DNA, and unmethylated DNA. The pre-spotted membrane was then blotted with RM236 mAb.
ICC/IF staining of HeLa cells using 0.5ug/ml of recombinant 5hmC antibody (red). Actin filaments was labeled with fluorescein phalloidin (green). HeLa cells were fixed with 4% paraformaldehyde and permeabilized with methanol (−20oC) before treatment with 2 N HCl for 30 min at 37oC to denature DNA.
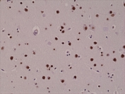
IHC testing of FFPE human brain with recombinant 5hmC antibody.
Availability 1-3 business days
Species Reactivity Human
Format Purified
Host Rabbit
Clonality Recombinant Rabbit Monoclonal
Isotype Rabbit IgG
Clone Name RM236
Purity Protein A purified from animal origin-free supernatant
UniProt N/A
Gene ID N/A
Applications Dot Blot : 0.2-1ug/ml
ELISA : 0.1-1ug/ml
Immunohistochemistry : 0.1-1ug/ml (1)
Immunocytochemistry : 0.5-2ug/ml
HMeDIP : 0.2ug/ml- 2ug/ml
Limitations This recombinant 5hmC antibody is available for research use only.
Review this product on BioCompare and get a $20 Amazon gift card

Description

This recombinant 5hmC antibody reacts to 5-hydroxymethylcytosine in both single-stranded and double-stranded DNA. No cross reactivity with non-methylated cytosine and methylcytosine in DNA.

Application Notes

The stated application concentrations are suggested starting points. Titration of the recombinant 5hmC antibody may be required due to differences in protocols and secondary/substrate sensitivity.

1. A pH6 Citrate buffer or pH9 Tris/EDTA buffer HIER step is recommended for testing of FFPE tissue sections.

Immunogen

BSA-conjugated 5-hydroxymethylcytosine was used as the immunogen for this recombinant 5hmC antibody.

Storage

Store the recombinant 5hmC antibody at -20oC (with glycerol) or aliquot and store at -20oC (without glycerol).

Cross
Bulk Quote Request Form
Name*:
Organization*:
Email*:
Phone Number*:
Catalog No.*:
Comments and Specifics(amount, formulation, etc.)*:
Validation code: Captchapackage Image


Can't read the image? click here to refresh.
    *required field

Your bulk quote request has been submitted successfully!

Please contact us if you have any questions.