• Tel: 858.663.9055
  • SeparatorEmail: info@nsjbio.com
  • Tel: 858.663.9055
  • Email: info@nsjbio.com
Home >> Antibodies >> RECK Antibody / Reversion-inducing cysteine-rich protein with Kazal motifs

RECK Antibody / Reversion-inducing cysteine-rich protein with Kazal motifs (RQ4146)

  Catalog No Formulation Size Price (USD)  
Image RQ4146 0.5mg/ml if reconstituted with 0.2ml sterile DI water 100 ug 449
Bulk quote request
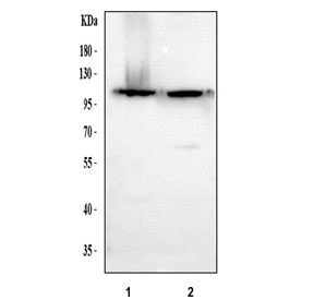
Western blot testing of human 1) MOLT4 and 2) U-87 MG cell lysate with RECK antibody at 0.5ug/ml. Predicted molecular weight ~106 kDa.
Availability 1-3 business days
Species Reactivity Human
Format Antigen affinity purified
Host Rabbit
Clonality Polyclonal (rabbit origin)
Isotype Rabbit IgG
Purity Antigen affinity purified
Buffer Lyophilized from 1X PBS with 2% Trehalose and 0.025% sodium azide
UniProt O95980
Applications Western Blot : 0.5-1ug/ml
Limitations This RECK antibody is available for research use only.
Review this product on BioCompare and get a $20 Amazon gift card

Related Products

Description

RECK Antibody targets Reversion-inducing cysteine-rich protein with Kazal motifs, a membrane-anchored regulatory protein encoded by the RECK gene that plays an important role in controlling extracellular matrix remodeling and protease activity. RECK is best known as a negative regulator of matrix metalloproteinases and functions as a suppressor of excessive proteolytic activity at the cell surface. Through this regulatory role, RECK contributes to maintenance of tissue architecture, cell-matrix interactions, and controlled cellular invasion.

Functionally, Reversion-inducing cysteine-rich protein with Kazal motifs modulates the activity of multiple extracellular proteases involved in matrix degradation. By limiting proteolytic remodeling of the extracellular environment, RECK influences processes such as cell migration, adhesion, and tissue organization. A RECK Antibody enables investigation of extracellular matrix regulation, protease inhibition, and mechanisms that balance matrix stability with cellular dynamics in research settings.

RECK expression is observed in a variety of tissues, with expression levels often associated with differentiated and non-invasive cellular phenotypes. At the cellular level, RECK is localized primarily to the plasma membrane, where it exerts regulatory control over pericellular protease activity. Because of this localization, changes in RECK expression or distribution may reflect alterations in cell-matrix communication, invasive potential, or tissue remodeling states.

At the molecular level, RECK contains multiple cysteine-rich regions and Kazal-type motifs that are characteristic of protease inhibitor domains. These structural elements enable RECK to interact with and regulate extracellular proteases in a spatially restricted manner. The membrane-anchored nature of RECK allows it to function at the interface between the cell surface and the extracellular matrix, integrating protease regulation with cell signaling and adhesion processes.

From a biological and disease relevance perspective, RECK has been extensively studied in cancer research, where reduced expression is frequently associated with increased invasiveness and tumor progression. Loss or downregulation of RECK expression has been linked to enhanced matrix degradation and metastatic potential in multiple tumor types. Conversely, maintained or elevated RECK expression is associated with suppression of invasive behavior, highlighting its role as a regulator of tumor microenvironment remodeling.

RECK Antibody reagents are valuable tools for studying extracellular matrix regulation, protease control, and cell invasion mechanisms. These antibodies support research into tumor biology, tissue remodeling, and the molecular pathways that govern interactions between cells and their surrounding matrix. NSJ Bioreagents provides RECK Antibody products intended for research use.

Application Notes

Optimal dilution of the RECK antibody should be determined by the researcher.

Immunogen

Amino acids NAQSDQGAMNDMKLWEKGSIKMPFINIPVLDIKKCQPEMWKAIA from the human protein were used as the immunogen for the RECK antibody.

Storage

After reconstitution, the RECK antibody can be stored for up to one month at 4oC. For long-term, aliquot and store at -20oC. Avoid repeated freezing and thawing.

Cross
Bulk Quote Request Form
Name*:
Organization*:
Email*:
Phone Number*:
Catalog No.*:
Comments and Specifics(amount, formulation, etc.)*:
Validation code: Captchapackage Image


Can't read the image? click here to refresh.
    *required field

Your bulk quote request has been submitted successfully!

Please contact us if you have any questions.