• Tel: 858.663.9055
  • SeparatorEmail: info@nsjbio.com
  • Tel: 858.663.9055
  • Email: info@nsjbio.com
Home >> Antibodies >> RECK Antibody / Reversion-inducing cysteine-rich protein with Kazal motifs

RECK Antibody / Reversion-inducing cysteine-rich protein with Kazal motifs (FY13235)

  Catalog No Formulation Size Price (USD)  
Image FY13235 Adding 0.2 ml of distilled water will yield a concentration of 500 ug/ml 100 ug 449
Bulk quote request
Flow Cytometry analysis of human JK cells using anti-RECK antibody. Overlay histogram showing JK cells stained with (Blue line). The cells were fixed with 4% paraformaldehyde and blocked with 10% normal goat serum. And then incubated with rabbit anti-RECK antibody (1 ug/million cells) for 30 min at 20oC. DyLight 488 conjugated goat anti-rabbit IgG (5-10 ug/million cells) was used as secondary antibody for 30 minutes at 20oC. Isotype control antibody (Green line) was rabbit IgG (1 ug/million cells) used under the same conditions. Unlabelled sample (Red line) was also used as a control.
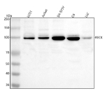
Western blot analysis of RECK using anti-RECK antibody. Lane 1: human U251 whole cell lysates, Lane 2: human Jurkat whole cell lysates, Lane 3: human SH-SY5Y whole cell lysates, Lane 4: rat C6 whole cell lysates, Lane 5: mouse LLC whole cell lysates. After electrophoresis, proteins were transferred to a nitrocellulose membrane at 150 mA for 50-90 minutes. Blocked the membrane with 5% non-fat milk/TBS for 1.5 hour at RT. The membrane was incubated with rabbit anti-RECK antibody at 0.5 ug/ml overnight at 4oC, then washed with TBS-0.1%Tween 3 times with 5 minutes each and probed with a goat anti-rabbit IgG-HRP secondary antibody at a dilution of 1:5000 for 1.5 hour at RT. The signal was developed using enhanced chemiluminescent. Western blot detection of RECK shows a single band migrating just below 100 kDa across multiple lysates. Although the calculated mass is ~106 kDa, RECK frequently runs between ~95 and 115 kDa due to variable glycosylation and maturation of this GPI-anchored protein.
Availability 1-2 days
Species Reactivity Human, Mouse, Rat
Format Lyophilized
Host Rabbit
Clonality Polyclonal (rabbit origin)
Isotype Rabbit IgG
Purity Immunogen affinity purified
Buffer Each vial contains 4 mg Trehalose, 0.9 mg NaCl, 0.2 mg Na2HPO4.
UniProt O95980
Applications Western Blot : 0.25-0.5ug/ml
Flow Cytometry : 1-3ug/million cells
ELISA : 0.1-0.5ug/ml
Limitations This RECK antibody is available for research use only.
Review this product on BioCompare and get a $20 Amazon gift card

Related Products

Description

RECK antibody detects Reversion-inducing cysteine-rich protein with Kazal motifs, a membrane-anchored glycoprotein that negatively regulates matrix metalloproteinases (MMPs) and suppresses tumor invasion and angiogenesis. The UniProt recommended name is Reversion-inducing cysteine-rich protein with Kazal motifs (RECK). This protein acts as an extracellular matrix (ECM) regulator that maintains tissue integrity and prevents metastasis by inhibiting proteolytic remodeling.

Functionally, RECK antibody identifies a 971-amino-acid glycosylphosphatidylinositol (GPI)-anchored protein expressed on the cell surface. RECK directly inhibits MMP2, MMP9, and MMP14, limiting ECM degradation and tumor cell invasion. It also stabilizes tissue inhibitors of metalloproteinases (TIMPs) and modulates Notch and Wnt signaling pathways involved in development and tumor suppression. RECK expression is tightly controlled by transcriptional regulators and epigenetic mechanisms, including promoter methylation and microRNA repression.

The RECK gene is located on chromosome 9p13.3 and is broadly expressed in embryonic and adult tissues, including brain, lung, and vascular endothelium. High expression is associated with normal tissue homeostasis and morphogenesis, whereas silencing occurs in many cancers, correlating with poor prognosis.

Pathologically, RECK downregulation promotes cancer metastasis, vascular invasion, and inflammation by unleashing matrix-degrading enzymes. Conversely, forced expression of RECK inhibits tumor angiogenesis and cell migration. RECK deficiency also impairs embryonic vascular development, reflecting its essential role in morphogenesis. Research using RECK antibody supports studies in oncology, extracellular matrix biology, and developmental signaling.

RECK antibody is validated for western blotting, immunohistochemistry, and flow cytometry to detect MMP regulators. NSJ Bioreagents provides RECK antibody reagents optimized for research in metastasis inhibition, angiogenesis, and extracellular matrix control.

Structurally, Reversion-inducing cysteine-rich protein with Kazal motifs contains multiple cysteine-rich and Kazal-type serine protease inhibitor domains that confer high affinity for MMP catalytic sites. Its GPI anchor tethers it to the plasma membrane, positioning RECK for local ECM modulation. This antibody enables exploration of RECK's tumor-suppressive mechanisms and its role in cell-matrix interactions.

Application Notes

Optimal dilution of the RECK antibody should be determined by the researcher.

Immunogen

E.coli-derived human RECK recombinant protein (Position: Q179-K806) was used as the immunogen for the RECK antibody.

Storage

After reconstitution, the RECK antibody can be stored for up to one month at 4oC. For long-term, aliquot and store at -20oC. Avoid repeated freezing and thawing.

Cross
Bulk Quote Request Form
Name*:
Organization*:
Email*:
Phone Number*:
Catalog No.*:
Comments and Specifics(amount, formulation, etc.)*:
Validation code: Captchapackage Image


Can't read the image? click here to refresh.
    *required field

Your bulk quote request has been submitted successfully!

Please contact us if you have any questions.