• Tel: 858.663.9055
  • SeparatorEmail: info@nsjbio.com
  • Tel: 858.663.9055
  • Email: info@nsjbio.com
Home >> Antibodies >> REC8 Antibody / REC8L1

REC8 Antibody / REC8L1 (RQ6005)

  Catalog No Formulation Size Price (USD)  
Image RQ6005 0.5mg/ml if reconstituted with 0.2ml sterile DI water 100 ug 449
Bulk quote request
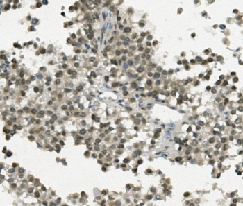
IHC staining of FFPE human testicular cancer with REC8 antibody. HIER: boil tissue sections in pH8 EDTA for 20 min and allow to cool before testing.
IHC staining of FFPE human placenta with REC8 antibody. HIER: boil tissue sections in pH8 EDTA for 20 min and allow to cool before testing.
IHC staining of FFPE rat lung with REC8 antibody. HIER: boil tissue sections in pH8 EDTA for 20 min and allow to cool before testing.
Western blot testing of human Jurkat lysate with REC8 antibody. Predicted molecular weight ~63 kDa.
Flow cytometry testing of human HeLa cells with REC8 antibody at 1ug/million cells (blocked with goat sera); Red=cells alone, Green=isotype control, Blue= REC8 antibody.
Availability 1-3 business days
Species Reactivity Human, Rat
Format Antigen affinity purified
Host Rabbit
Clonality Polyclonal (rabbit origin)
Isotype Rabbit IgG
Purity Affinity purified
Buffer Lyophilized from 1X PBS with 2% Trehalose and 0.025% sodium azide
UniProt O95072
Localization Nuclear
Applications Western Blot : 0.5-1ug/ml
Immunohistochemistry : 1-2ug/ml
Flow Cytometry : 1-3ug/million cells
Direct ELISA : 0.1-0.5ug/ml
Limitations This REC8 antibody is available for research use only.
Review this product on BioCompare and get a $20 Amazon gift card

Description

Meiotic recombination protein REC8 homolog is a protein that in humans is encoded by the REC8 gene. It is mapped to 14q12. This gene encodes a member of the kleisin family of SMC (structural maintenance of chromosome) protein partners. The protein localizes to the axial elements of chromosomes during meiosis in both oocytes and spermatocytes. In the mouse, the homologous protein is a key component of the meiotic cohesion complex, which regulates sister chromatid cohesion and recombination between homologous chromosomes. Multiple alternatively spliced variants, encoding the same protein, have been found for this gene.

Application Notes

Optimal dilution of the REC8 antibody should be determined by the researcher.

Immunogen

Recombinant human protein (amino acids M1-H547) was used as the immunogen for the REC8 antibody.

Storage

After reconstitution, the REC8 antibody can be stored for up to one month at 4oC. For long-term, aliquot and store at -20oC. Avoid repeated freezing and thawing.

Cross
Bulk Quote Request Form
Name*:
Organization*:
Email*:
Phone Number*:
Catalog No.*:
Comments and Specifics(amount, formulation, etc.)*:
Validation code: Captchapackage Image


Can't read the image? click here to refresh.
    *required field

Your bulk quote request has been submitted successfully!

Please contact us if you have any questions.