• Tel: 858.663.9055
  • SeparatorEmail: info@nsjbio.com
  • Tel: 858.663.9055
  • Email: info@nsjbio.com
Home >> Antibodies >> RCC1 Antibody / Regulator of Chromosome Condensation

RCC1 Antibody / Regulator of Chromosome Condensation (RQ5918)

  Catalog No Formulation Size Price (USD)  
Image RQ5918 0.5mg/ml if reconstituted with 0.2ml sterile DI water 100 ug 449
Bulk quote request
Immunofluorescent staining of frozen human placenta with RCC1 antibody (green) and DAPI (blue).
Immunofluorescent staining of FFPE human intestinal cancer with RCC1 antibody (green) and DAPI (blue).
Immunofluorescent staining of FFPE human HeLa cells with RCC1 antibody (red) and DAPI nuclear stain (blue). HIER: steam section in pH6 citrate buffer for 20 min.
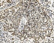
IHC staining of FFPE human rectal cancer with RCC1 antibody. HIER: boil tissue sections in pH8 EDTA for 20 min and allow to cool before testing.
IHC staining of FFPE human rectal cancer with RCC1 antibody. HIER: boil tissue sections in pH8 EDTA for 20 min and allow to cool before testing.
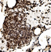
IHC staining of FFPE human lung cancer with RCC1 antibody. HIER: boil tissue sections in pH8 EDTA for 20 min and allow to cool before testing.
IHC staining of FFPE mouse lung with RCC1 antibody. HIER: boil tissue sections in pH8 EDTA for 20 min and allow to cool before testing.
IHC staining of FFPE rat lung with RCC1 antibody. HIER: boil tissue sections in pH8 EDTA for 20 min and allow to cool before testing.
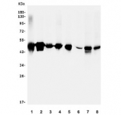
Western blot testing of human 1) HEK293, 2) A431, 3) HepG2, 4) Raji, 5) ThP-1, 6) rat brain, 7) mouse Neuro-2a and 8) mouse NIH 3T3 lysate with RCC1 antibody. Predicted molecular weight ~45 kDa.
Flow cytometry testing of human K562 cells with RCC1 antibody at 1ug/million cells (blocked with goat sera); Red=cells alone, Green=isotype control, Blue= RCC1 antibody.
Availability 1-3 business days
Species Reactivity Human, Mouse, Rat
Format Antigen affinity purified
Host Rabbit
Clonality Polyclonal (rabbit origin)
Isotype Rabbit IgG
Purity Affinity purified
Buffer Lyophilized from 1X PBS with 2% Trehalose and 0.025% sodium azide
UniProt P18754
Localization Nuclear, cytoplasmic
Applications Western Blot : 0.5-1ug/ml
Immunohistochemistry (FFPE) : 1-2ug/ml
Immunofluorescence : 2-4ug/ml
Immunocytochemistry : 2-4ug/ml
Flow Cytometry : 1-3ug/million cells
Direct ELISA : 0.1-0.5ug/ml
Limitations This RCC1 antibody is available for research use only.
Review this product on BioCompare and get a $20 Amazon gift card

Related Products

Description

CHC1, also named as RCC1, SNHG3-RCC1, promotes the exchange of ran-bound gdp by gtp. It is involved in the regulation of onset of chromosome condensation in the S-phase. Phosphorylation of RCC1 on serines located in or near its nuclear localization signal activates RCC1 to generate RanGTP on mitotic chromosomes, which is required for spindle assembly and chromosome segregation. This antibody is a rabbit polyclonal antibody raised against residues near the C terminus of human RCC1. The geneID has updated as 1104 recently.

Application Notes

Optimal dilution of the RCC1 antibody should be determined by the researcher.

Immunogen

Recombinant human protein (amino acids A14-S421) was used as the immunogen for the RCC1 antibody.

Storage

After reconstitution, the RCC1 antibody can be stored for up to one month at 4oC. For long-term, aliquot and store at -20oC. Avoid repeated freezing and thawing.

Cross
Bulk Quote Request Form
Name*:
Organization*:
Email*:
Phone Number*:
Catalog No.*:
Comments and Specifics(amount, formulation, etc.)*:
Validation code: Captchapackage Image


Can't read the image? click here to refresh.
    *required field

Your bulk quote request has been submitted successfully!

Please contact us if you have any questions.