• Tel: 858.663.9055
  • SeparatorEmail: info@nsjbio.com
  • Tel: 858.663.9055
  • Email: info@nsjbio.com
Home >> Antibodies >> RBP4 Antibody / Retinol Binding Protein 4

RBP4 Antibody / Retinol Binding Protein 4 (R31773)

  Catalog No Formulation Size Price (USD)  
Image R31773 0.5mg/ml if reconstituted with 0.2ml sterile DI water 100 ug 449
Bulk quote request
Immunofluorescent staining of FFPE human liver cancer tissue with RBP4 antibody (red) and DAPI nuclear stain (blue). HIER: steam section in pH8 EDTA buffer for 20 min.
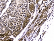
IHC staining of FFPE human liver cancer with RBP4 antibody. HIER: boil tissue sections in pH6, 10mM citrate buffer, for 20 min and allow to cool before testing.
IHC staining of FFPE human liver cancer with RBP4 antibody. HIER: boil tissue sections in pH6, 10mM citrate buffer, for 20 min and allow to cool before testing.
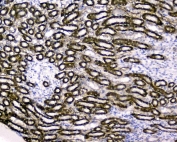
IHC staining of FFPE mouse kidney with RBP4 antibody. HIER: boil tissue sections in pH6, 10mM citrate buffer, for 20 min and allow to cool before testing.
IHC staining of FFPE mouse kidney with RBP4 antibody. HIER: boil tissue sections in pH6, 10mM citrate buffer, for 20 min and allow to cool before testing.
IHC staining of FFPE human liver cancer tissue with RBP4 antibody, HRP-labeled secondary and DAB substrate. HIER: boil tissue sections in pH8 EDTA for 20 min and allow to cool before testing.
Western blot testing of 1) human HepG2 and 2) human HCCP cell lysate with RBP4 antibody. Predicted molecular weight: ~23 kDa.
Availability 1-3 business days
Species Reactivity Human
Format Antigen affinity purified
Host Rabbit
Clonality Polyclonal (rabbit origin)
Isotype Rabbit IgG
Purity Antigen affinity
Buffer Lyophilized from 1X PBS with 2% Trehalose
Gene ID 5950
Localization P02753
Applications Western Blot : 0.5-1ug/ml
Immunohistochemistry : 2-5ug/ml
Immunofluorescence : 5ug/ml
ELISA : 0.1-0.5ug/ml (human protein tested); request BSA free format for coating
Limitations This RBP4 antibody is available for research use only.
Review this product on BioCompare and get a $20 Amazon gift card

Related Products

Description

RBP4 (Retinol Binding Protein 4) is a secreted transport protein primarily responsible for delivering retinol (vitamin A alcohol) from the liver to peripheral tissues. Synthesized mainly by hepatocytes and adipocytes, RBP4 binds retinol in a 1:1 molar ratio and forms a complex with transthyretin in the bloodstream to prevent renal filtration. This transport mechanism is essential for maintaining retinoid homeostasis, which is critical for vision, cellular differentiation, immune function, and embryonic development.

Beyond its classical role in vitamin A metabolism, RBP4 has been identified as a key player in metabolic regulation. Elevated serum levels of RBP4 are associated with insulin resistance, obesity, type 2 diabetes, and cardiovascular disease. Consequently, RBP4 is increasingly recognized as both a biomarker and a potential therapeutic target in metabolic syndrome and related disorders.

The RBP4 antibody is a valuable tool for detecting RBP4 expression and distribution in various tissues and biological samples. Commonly used in western blot, ELISA, and immunohistochemistry applications, the RBP4 antibody provides high specificity and sensitivity for studying retinoid transport and metabolic regulation. Whether investigating liver function, adipose biology, or metabolic disease, the RBP4 antibody offers reliable performance for both basic and translational research.

Application Notes

The stated application concentrations are suggested starting amounts. Titration of the RBP4 antibody may be required due to differences in protocols and secondary/substrate sensitivity.

Immunogen

Human partial recombinant protein (AA 19-201) was used as the immunogen for this RBP4 antibody.

Storage

After reconstitution, the RBP4 antibody can be stored for up to one month at 4oC. For long-term, aliquot and store at -20oC. Avoid repeated freezing and thawing.

Cross
Bulk Quote Request Form
Name*:
Organization*:
Email*:
Phone Number*:
Catalog No.*:
Comments and Specifics(amount, formulation, etc.)*:
Validation code: Captchapackage Image


Can't read the image? click here to refresh.
    *required field

Your bulk quote request has been submitted successfully!

Please contact us if you have any questions.