• Tel: 858.663.9055
  • SeparatorEmail: info@nsjbio.com
  • Tel: 858.663.9055
  • Email: info@nsjbio.com
Home >> Antibodies >> RBMS3 Antibody

RBMS3 Antibody (RQ5117)

  Catalog No Formulation Size Price (USD)  
Image RQ5117 0.5mg/ml if reconstituted with 0.2ml sterile DI water 100 ug 449
Bulk quote request
Western blot testing of human 1) U-2 OS, 2) PC-3, 3) U-87 MG, 4) A549 and 5) HeLa cell lysate with RBMS3 antibody. Expected molecular weight: 48-55 kDa.
Western blot testing of 1) rat heart and 2) mouse testis lysate with RBMS3 antibody. Expected molecular weight: 48-55 kDa.
Immunofluorescent staining of FFPE human U-2 OS cells with RBMS3 antibody (red) and DAPI nuclear stain (blue). HIER: boil tissue sections in pH6, 10mM citrate buffer, for 20 min and allow to cool before testing.
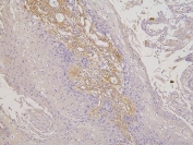
IHC staining of FFPE human esophagus squama tissue with RBMS3 antibody. HIER: boil tissue sections in pH6, 10mM citrate buffer, for 20 min and allow to cool before testing.
IHC staining of FFPE mouse brain with RBMS3 antibody. HIER: boil tissue sections in pH6, 10mM citrate buffer, for 20 min and allow to cool before testing.
IHC staining of FFPE rat brain with RBMS3 antibody. HIER: boil tissue sections in pH6, 10mM citrate buffer, for 20 min and allow to cool before testing.
Availability 1-3 business days
Species Reactivity Human, Mouse, Rat
Format Antigen affinity purified
Host Rabbit
Clonality Polyclonal (rabbit origin)
Isotype Rabbit IgG
Purity Affinity purified
Buffer Lyophilized from 1X PBS with 2% Trehalose and 0.025% sodium azide
UniProt Q6XE24
Applications Western Blot : 0.5-1ug/ml
Immunohistochemistry (FFPE) : 1-2ug/ml
Immunofluorescence : 2-4ug/ml
Direct ELISA : 0.1-0.5ug/ml
Limitations This RBMS3 antibody is available for research use only.
Review this product on BioCompare and get a $20 Amazon gift card

Description

RNA-binding motif, single-stranded-interacting protein 3 is a protein that in humans is encoded by the RBMS3 gene. It is mapped to 3p24.1. This gene encodes an RNA-binding protein that belongs to the c-myc gene single-strand binding protein family. These proteins are characterized by the presence of two sets of ribonucleoprotein consensus sequence (RNP-CS) that contain conserved motifs, RNP1 and RNP2, originally described in RNA binding proteins, and required for DNA binding. These proteins have been implicated in such diverse functions as DNA replication, gene transcription, cell cycle progression and apoptosis. The encoded protein was isolated by virtue of its binding to an upstream element of the alpha2(I) collagen promoter. The observation that this protein localizes mostly in the cytoplasm suggests that it may be involved in a cytoplasmic function such as controlling RNA metabolism, rather than transcription. Multiple alternatively spliced transcript variants encoding different isoforms have been found for this gene.

Application Notes

Optimal dilution of the RBMS3 antibody should be determined by the researcher.

Immunogen

Amino acids T350-P437 from the human protein were used as the immunogen for the RBMS3 antibody.

Storage

Store the RBMS3 antibody at -20oC.

Cross
Bulk Quote Request Form
Name*:
Organization*:
Email*:
Phone Number*:
Catalog No.*:
Comments and Specifics(amount, formulation, etc.)*:
Validation code: Captchapackage Image


Can't read the image? click here to refresh.
    *required field

Your bulk quote request has been submitted successfully!

Please contact us if you have any questions.