• Tel: 858.663.9055
  • SeparatorEmail: info@nsjbio.com
  • Tel: 858.663.9055
  • Email: info@nsjbio.com
Home >> Antibodies >> RBM25 Antibody / RNA-binding protein 25

RBM25 Antibody / RNA-binding protein 25 (RQ7808)

  Catalog No Formulation Size Price (USD)  
Image RQ7808 0.5mg/ml if reconstituted with 0.2ml sterile DI water 100 ug 449
Bulk quote request
Immunofluorescent staining of FFPE human U-2 OS cells with RBM25 antibody (green), Alpha Tubulin mAb (red) and DAPI nuclear stain (blue). HIER: steam section in pH6 citrate buffer for 20 min.
IHC staining of FFPE mouse brain tissue with RBM25 antibody. HIER: boil tissue sections in pH8 EDTA for 20 min and allow to cool before testing.
IHC staining of FFPE rat brain tissue with RBM25 antibody. HIER: boil tissue sections in pH8 EDTA for 20 min and allow to cool before testing.
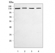
Western blot testing of human 1) HeLa, 2) Jurkat, 3) 293T and 4) Daudi cell lysate with RBM25 antibody. Predicted molecular weight ~100 kDa but commonly observed at ~120 kDa.
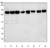
Western blot testing of 1) human PC-3, 2) human SiHa, 3) human A431, 4) human U-2 OS, 5) rat RH35, 6) rat PC-12, 7) mouse NIH 3T3 and 8) mouse RAW264.7 cell lysate with RBM25 antibody. Predicted molecular weight ~100 kDa but commonly observed at ~120 kDa.
Flow cytometry testing of fixed and permeabilized human SiHa cells with RBM25 antibody at 1ug/million cells (blocked with goat sera); Red=cells alone, Green=isotype control, Blue= RBM25 antibody.
Availability 1-3 business days
Species Reactivity Human, Mouse, Rat
Format Antigen affinity purified
Host Rabbit
Clonality Polyclonal (rabbit origin)
Isotype Rabbit IgG
Purity Antigen affinity purified
Buffer Lyophilized from 1X PBS with 2% Trehalose
UniProt P49756
Localization Cytoplasmic, nuclear specks
Applications Western Blot : 0.5-1ug/ml
Immunohistochemistry (FFPE) : 2-5ug/ml
Flow Cytometry : 1-3ug/million cells
Direct ELISA : 0.1-0.5ug/ml
Immunofluorescence : 5ug/ml
Limitations This RBM25 antibody is available for research use only.
Review this product on BioCompare and get a $20 Amazon gift card

Description

RNA-binding protein 25, also called Arg/Glu/Asp-rich protein of 120 kDa (RED120), is a protein that in humans is encoded by the RBM25 gene. Enables mRNA binding activity. Involved in regulation of alternative mRNA splicing, via spliceosome and regulation of apoptotic process. Located in nuclear speck.

Application Notes

Optimal dilution of the RBM25 antibody should be determined by the researcher.

Immunogen

E. coli-derived recombinant human protein (amino acids D100-E820) was used as the immunogen for the RBM25 antibody.

Storage

After reconstitution, the RBM25 antibody can be stored for up to one month at 4oC. For long-term, aliquot and store at -20oC. Avoid repeated freezing and thawing.

Cross
Bulk Quote Request Form
Name*:
Organization*:
Email*:
Phone Number*:
Catalog No.*:
Comments and Specifics(amount, formulation, etc.)*:
Validation code: Captchapackage Image


Can't read the image? click here to refresh.
    *required field

Your bulk quote request has been submitted successfully!

Please contact us if you have any questions.