• Tel: 858.663.9055
  • SeparatorEmail: info@nsjbio.com
  • Tel: 858.663.9055
  • Email: info@nsjbio.com
Home >> Antibodies >> RBM17 Antibody / RNA-binding motif protein 17 / Splicing factor 45

RBM17 Antibody / RNA-binding motif protein 17 / Splicing factor 45 (FY12699)

  Catalog No Formulation Size Price (USD)  
Image FY12699 Adding 0.2 ml of distilled water will yield a concentration of 500 ug/ml 100 ug 449
Bulk quote request
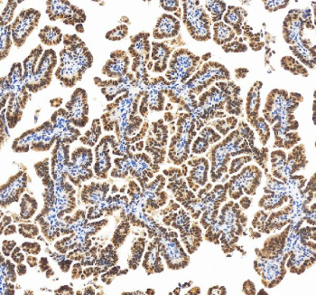
Immunohistochemical staining of RBM17 using anti-RBM17 antibody. RBM17 was detected in a paraffin-embedded section of human ovarian cancer tissue. Heat mediated antigen retrieval was performed in EDTA buffer (pH 8.0, epitope retrieval solution). The tissue section was blocked with 10% goat serum. The tissue section was then incubated with 2 ug/ml rabbit anti-RBM17 antibody overnight at 4oC. Peroxidase Conjugated Goat Anti-rabbit IgG was used as secondary antibody and incubated for 30 minutes at 37oC. The tissue section was developed using an HRP secondary and DAB substrate.
Western blot analysis of RBM17 using anti-RBM17 antibody. Lane 1: human Hela whole cell lysates, Lane 2: human PC-3 whole cell lysates, Lane 3: human MCF-7 whole cell lysates, Lane 4: human Caco-2 whole cell lysates, Lane 5: rat PC-12 whole cell lysates, Lane 6: rat RH35 whole cell lysates, Lane 7: mouse RAW264.7 whole cell lysates, Lane 8: mouse NIH/3T3 whole cell lysates. After electrophoresis, proteins were transferred to a nitrocellulose membrane at 150 mA for 50-90 minutes. Blocked the membrane with 5% non-fat milk/TBS for 1.5 hour at RT. The membrane was incubated with rabbit anti-RBM17 antibody at 0.5 ug/ml overnight at 4oC, then washed with TBS-0.1%Tween 3 times with 5 minutes each and probed with a goat anti-rabbit IgG-HRP secondary antibody at a dilution of 1:5000 for 1.5 hour at RT. The signal was developed using enhanced chemiluminescent. A specific band was detected for RBM17 at approximately 45 kDa. The expected molecular weight of RBM17 is ~45 kDa.
Immunofluorescent staining of RBM17 using anti-RBM17 antibody (green) and anti-Tubulin Alpha antibody (red). RBM17 was detected in immunocytochemical section of Hela cell. Enzyme antigen retrieval was performed using IHC enzyme antigen retrieval reagent for 15 mins. The cells were blocked with 10% goat serum. And then incubated with 5 ug/ml rabbit anti-RBM17 antibody and mouse anti-Tubulin Alpha antibody overnight at 4oC. DyLight 488 Conjugated Goat Anti-Rabbit IgG and Cy3 Conjugated Goat Anti-Mouse IgG were used as secondary antibody at 1:500 dilution and incubated for 30 minutes at 37oC. Visualize using a fluorescence microscope and filter sets appropriate for the label used.
Flow Cytometry analysis of PC-3 cells using anti-RBM17 antibody. Overlay histogram showing PC-3 cells stained with (Blue line). To facilitate intracellular staining, cells were fixed with 4% paraformaldehyde and permeabilized with permeabilization buffer. The cells were blocked with 10% normal goat serum. And then incubated with rabbit anti-RBM17 antibody (1 ug/million cells) for 30 min at 20oC. DyLight 488 conjugated goat anti-rabbit IgG (5-10 ug/million cells) was used as secondary antibody for 30 minutes at 20oC. Isotype control antibody (Green line) was rabbit IgG (1 ug/million cells) used under the same conditions. Unlabelled sample (Red line) was also used as a control.
Availability 1-2 days
Species Reactivity Human, Mouse, Rat
Format Lyophilized
Host Rabbit
Clonality Polyclonal (rabbit origin)
Isotype Rabbit IgG
Purity Immunogen affinity purified
Buffer Each vial contains 4 mg Trehalose, 0.9 mg NaCl, 0.2 mg Na2HPO4.
UniProt Q96I25
Localization Nuclear
Applications Western Blot : 0.25-0.5ug/ml
Immunohistochemistry : 2-5ug/ml
Immunocytochemistry : 5ug/ml
Immunofluorescence : 5ug/ml
Flow Cytometry : 1-3ug/million cells
ELISA : 0.1-0.5ug/ml
Limitations This RBM17 antibody is available for research use only.
Review this product on BioCompare and get a $20 Amazon gift card

Description

RBM17 antibody recognizes RNA-binding motif protein 17, also called Splicing factor 45, a splicing factor that participates in alternative mRNA splicing and exon definition. Encoded by the RBM17 gene on chromosome 10q24.32, this protein contains an RNA recognition motif (RRM) that binds pre-mRNA near splice junctions and interacts with other spliceosomal components including U2AF, SF3B, and SRSF proteins. RBM17 contributes to the assembly of the spliceosome and selection of 3' splice sites, influencing transcript diversity across cell types. Through its RNA-binding and protein-interaction domains, RBM17 regulates genes involved in cell cycle progression, DNA repair, and neuronal differentiation.

RBM17 is a core component of the exon junction complex and is involved in both constitutive and alternative splicing. It modulates inclusion of alternative exons in transcripts related to apoptosis, signaling, and cytoskeletal organization. Knockdown of RBM17 leads to widespread splicing defects and altered expression of cell-cycle genes such as cyclin D1 and BCL2. Elevated expression of RBM17 has been documented in cancers including glioma and breast carcinoma, where it contributes to enhanced proliferation and resistance to apoptosis. Because of this, RBM17 is emerging as a potential therapeutic target in oncology.

The RBM17 antibody is used in molecular biology and cancer research to detect expression and subcellular localization of this splicing regulator. Immunofluorescence studies reveal nuclear speckle localization consistent with active splicing sites, while western blotting identifies a ~55 kilodalton band. The antibody is effective in studies investigating RNA processing, transcriptome regulation, and splicing factor dynamics. Its use in chromatin immunoprecipitation combined with RNA sequencing (CLIP-seq) helps identify RBM17-binding targets genome-wide.

Functionally, RBM17 interacts with RNA helicases and spliceosomal scaffolds to ensure precise splicing during rapid transcriptional responses. In neurons, RBM17 supports maturation of transcripts necessary for synapse formation and plasticity. Dysregulation contributes to developmental disorders and neurodegeneration. The RBM17 antibody therefore provides a versatile tool for exploring RNA metabolism and gene expression regulation at both molecular and cellular levels. NSJ Bioreagents offers this antibody validated for high specificity in western blot, immunofluorescence, and immunohistochemistry, supporting studies in splicing control, neurobiology, and cancer progression.

Application Notes

Optimal dilution of the RBM17 antibody should be determined by the researcher.

Immunogen

E.coli-derived human RBM17 recombinant protein (Position: M1-V401) was used as the immunogen for the RBM17 antibody.

Storage

After reconstitution, the RBM17 antibody can be stored for up to one month at 4oC. For long-term, aliquot and store at -20oC. Avoid repeated freezing and thawing.

Cross
Bulk Quote Request Form
Name*:
Organization*:
Email*:
Phone Number*:
Catalog No.*:
Comments and Specifics(amount, formulation, etc.)*:
Validation code: Captchapackage Image


Can't read the image? click here to refresh.
    *required field

Your bulk quote request has been submitted successfully!

Please contact us if you have any questions.