• Tel: 858.663.9055
  • SeparatorEmail: info@nsjbio.com
  • Tel: 858.663.9055
  • Email: info@nsjbio.com
Home >> Antibodies >> RBBP8 Antibody / Retinoblastoma binding protein 8 / CtIP

RBBP8 Antibody / Retinoblastoma binding protein 8 / CtIP (FY12085)

  Catalog No Formulation Size Price (USD)  
Image FY12085 Adding 0.2 ml of distilled water will yield a concentration of 500 ug/ml 100 ug 449
Bulk quote request
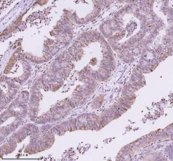
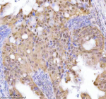
IHC analysis of RBBP8 using anti-RBBP8 antibody. RBBP8 was detected in a paraffin-embedded section of human endometrioid adenocarcinoma tissue. Heat mediated antigen retrieval was performed in EDTA buffer (pH 8.0, epitope retrieval solution). The tissue section was blocked with 10% goat serum. The tissue section was then incubated with 2 ug/ml rabbit anti-RBBP8 antibody overnight at 4oC. Peroxidase Conjugated Goat Anti-rabbit IgG was used as secondary antibody and incubated for 30 minutes at 37oC. The tissue section was developed using an HRP secondary and DAB substrate.
Western blot analysis of RBBP8 using anti-RBBP8 antibody. Lane 1: human Raji whole cell lysates, Lane 2: human whole cell lysates, Lane 3: human Hela whole cell lysates, Lane 4: mouse testis tissue lysates. After electrophoresis, proteins were transferred to a nitrocellulose membrane at 150 mA for 50-90 minutes. Blocked the membrane with 5% non-fat milk/TBS for 1.5 hour at RT. The membrane was incubated with rabbit anti-RBBP8 antibody at 0.5 ug/ml overnight at 4oC, then washed with TBS-0.1%Tween 3 times with 5 minutes each and probed with a goat anti-rabbit IgG-HRP secondary antibody at a dilution of 1:5000 for 1.5 hour at RT. The signal was developed using enhanced chemiluminescent. The expected band size for RBBP8 is at 102 kDa but the protein can be observed at 125-135 kDa as a singlet or doublet, due to phosphorylation.
IHC analysis of RBBP8 using anti-RBBP8 antibody. RBBP8 was detected in a paraffin-embedded section of human mucinous adenoma of ovary tissue. Heat mediated antigen retrieval was performed in EDTA buffer (pH 8.0, epitope retrieval solution). The tissue section was blocked with 10% goat serum. The tissue section was then incubated with 2 ug/ml rabbit anti-RBBP8 antibody overnight at 4oC. Peroxidase Conjugated Goat Anti-rabbit IgG was used as secondary antibody and incubated for 30 minutes at 37oC. The tissue section was developed using an HRP secondary and DAB substrate.
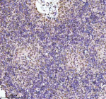
IHC analysis of RBBP8 using anti-RBBP8 antibody. RBBP8 was detected in a paraffin-embedded section of human spleen tissue. Heat mediated antigen retrieval was performed in EDTA buffer (pH 8.0, epitope retrieval solution). The tissue section was blocked with 10% goat serum. The tissue section was then incubated with 2 ug/ml rabbit anti-RBBP8 antibody overnight at 4oC. Peroxidase Conjugated Goat Anti-rabbit IgG was used as secondary antibody and incubated for 30 minutes at 37oC. The tissue section was developed using an HRP secondary and DAB substrate.
IF analysis of RBBP8 using anti-RBBP8 antibody (red) and anti-Beta Tubulin antibody (green). RBBP8 was detected in immunocytochemical section of HELA cell. Enzyme antigen retrieval was performed using IHC enzyme antigen retrieval reagent for 15 mins. The cells were blocked with 10% goat serum. And then incubated with 5 ug/ml rabbit anti-RBBP8 antibody and mouse anti-Beta Tubulin antibody overnight at 4oC. Cy3 Conjugated Goat Anti-Rabbit IgG and FITC Conjugated Goat Anti-Mouse IgG were used as secondary antibody at 1:500 dilution and incubated for 30 minutes at 37oC. Visualize using a fluorescence microscope and filter sets appropriate for the label used.
Flow Cytometry analysis of MCF-7 cells using anti-RBBP8 antibody. Overlay histogram showing MCF-7 cells stained with (Blue line). To facilitate intracellular staining, cells were fixed with 4% paraformaldehyde and permeabilized with permeabilization buffer. The cells were blocked with 10% normal goat serum. And then incubated with rabbit anti-RBBP8 antibody (1 ug/million cells) for 30 min at 20oC. DyLight 488 conjugated goat anti-rabbit IgG (5-10 ug/million cells) was used as secondary antibody for 30 minutes at 20oC. Isotype control antibody (Green line) was rabbit IgG (1 ug/million cells) used under the same conditions. Unlabelled sample (Red line) was also used as a control.
Availability 1-2 days
Species Reactivity Human, Mouse
Format Lyophilized
Host Rabbit
Clonality Polyclonal (rabbit origin)
Isotype Rabbit IgG
Purity Immunogen affinity purified
Buffer Each vial contains 4 mg Trehalose, 0.9 mg NaCl, 0.2 mg Na2HPO4.
UniProt Q99708
Applications Western Blot : 0.25-0.5ug/ml
Immunohistochemistry : 2-5ug/ml
Immunocytochemistry : 5ug/ml
Immunofluorescence : 5ug/ml
Flow Cytometry : 1-3ug/million cells
ELISA : 0.1-0.5ug/ml
Limitations This RBBP8 antibody is available for research use only.
Review this product on BioCompare and get a $20 Amazon gift card

Description

RBBP8 antibody detects Retinoblastoma binding protein 8, encoded by the RBBP8 gene. Retinoblastoma binding protein 8, also known as CtIP, is a nuclear protein involved in DNA double-strand break repair, cell cycle regulation, and transcriptional control. RBBP8 antibody provides researchers with a powerful reagent for studying homologous recombination, genome stability, and cancer biology.

Retinoblastoma binding protein 8 interacts with the retinoblastoma protein and BRCA1, coordinating DNA repair and checkpoint activation. Research using RBBP8 antibody has shown that it promotes DNA end resection at double-strand breaks, a critical step in homologous recombination repair. This function ensures error-free repair and preservation of genomic integrity. Loss of RBBP8 activity shifts repair toward error-prone pathways, increasing mutagenesis and genomic instability.

Studies with RBBP8 antibody have revealed that CtIP plays a dual role in both DNA repair and cell cycle control. It regulates the G1-S transition and contributes to transcriptional regulation of genes involved in proliferation. Its integration of DNA repair and cell cycle progression highlights its importance as a multifunctional nuclear factor.

Dysregulation of Retinoblastoma binding protein 8 has been associated with cancer predisposition, particularly breast and ovarian cancers. Research using RBBP8 antibody has shown that germline mutations impair BRCA1-mediated repair, leading to increased sensitivity to DNA damage and genomic instability. Reduced expression is also observed in sporadic cancers, where it contributes to defective repair and therapeutic resistance.

Beyond cancer, research using RBBP8 antibody has highlighted roles in viral infection and immune regulation. CtIP interacts with viral proteins to modulate host DNA repair machinery, influencing replication and immune responses. These findings expand the biological significance of RBBP8 beyond DNA repair.

RBBP8 antibody is widely applied in immunoprecipitation, chromatin immunoprecipitation, and western blotting. Immunoprecipitation identifies interacting complexes with BRCA1 and retinoblastoma protein, chromatin immunoprecipitation reveals recruitment to DNA repair sites, and western blotting quantifies expression across tissues. These applications make RBBP8 antibody indispensable for DNA repair research.

By supplying validated RBBP8 antibody reagents, NSJ Bioreagents supports studies into DNA repair, cancer biology, and genome maintenance. Detection of Retinoblastoma binding protein 8 provides researchers with insight into how nuclear proteins safeguard genetic information.

Application Notes

Optimal dilution of the RBBP8 antibody should be determined by the researcher.

Immunogen

E.coli-derived human RBBP8 recombinant protein (Position: R307-K702) was used as the immunogen for the RBBP8 antibody.

Storage

After reconstitution, the RBBP8 antibody can be stored for up to one month at 4oC. For long-term, aliquot and store at -20oC. Avoid repeated freezing and thawing.

Cross
Bulk Quote Request Form
Name*:
Organization*:
Email*:
Phone Number*:
Catalog No.*:
Comments and Specifics(amount, formulation, etc.)*:
Validation code: Captchapackage Image


Can't read the image? click here to refresh.
    *required field

Your bulk quote request has been submitted successfully!

Please contact us if you have any questions.